ISO 9001:2015 Certified
Live Customer Support
4.5/5 on Trustpilot
100% Quality Guarantee

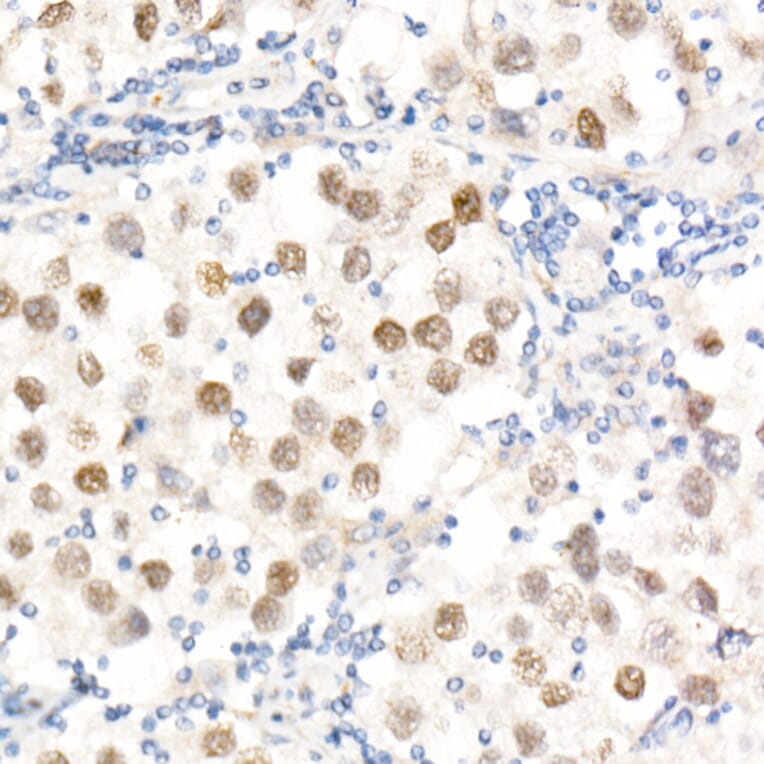
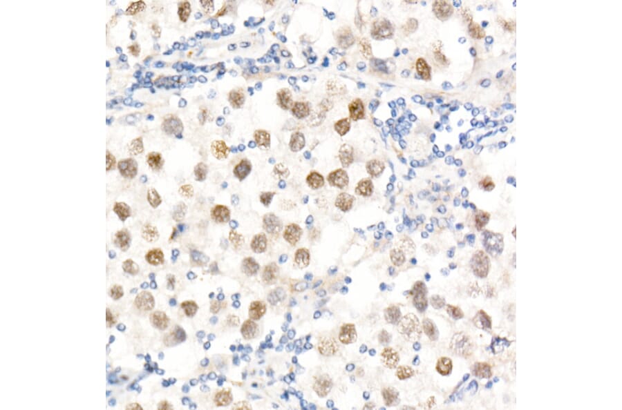
Anti-Nanog Antibody (A9165)

Rabbit polyclonal antibody to Nanog for WB and IHC.

Shipping Information

$40
Dispatched from St. Louis, MO.
Lead Time: 7-10 business days.
Name
Anti-Nanog Antibody
Description
Rabbit polyclonal antibody to Nanog.
Applications
WB, IHC
Dilutions
WB: 1:1,000-1:2,000, IHC: 1:50-1:200
Reactivity
Human, Mouse, Rat
Immunogen
Recombinant fusion protein containing a sequence corresponding to amino acids 1-105 of human Nanog (NP_079141.2).
Sequence
MSVDPACPQSLPCFEASDCKESSPMPVICGPEENYPSLQMSSAEMPHTETVSPLPSSMDLLIQDSPDSSTSPKGKQPTSAEKSVAKKEDKVPVKKQKTRTVFSST
Host
Rabbit
Clonality
Polyclonal
Isotype
IgG
Conjugate

Unconjugated

Purification
Affinity purification.
Concentration
Lot Specific
Molecular Weight
48 kDa
Product Form
Liquid
Formulation
Supplied in Phosphate Buffered Saline, pH 7.3, with 50% Glycerol and 0.01% Thiomersal.
Storage
Shipped at 4°C. Upon delivery aliquot and store at -20°C. Avoid freeze/thaw cycles.
Synonyms
hNanog, Homeobox protein NANOG, Homeobox transcription factor Nanog
Disclaimer
This product is for research use only. It is not intended for diagnostic or therapeutic use.
Publishing research using Anti-Nanog Antibody (A9165)? Please let us know so that we can list the citation on this page.

Alternative products to Anti-Nanog Antibody (A9165)

Proteins predicted to interact with Nanog

Predicted protein interactions based upon String database. Revelancy score correlates with probability of interaction.
99.9% Relevancy Score
99.9% Relevancy Score
99.9% Relevancy Score
99.5% Relevancy Score
99.4% Relevancy Score
99.3% Relevancy Score
98.7% Relevancy Score
98% Relevancy Score
98% Relevancy Score