Unconjugated
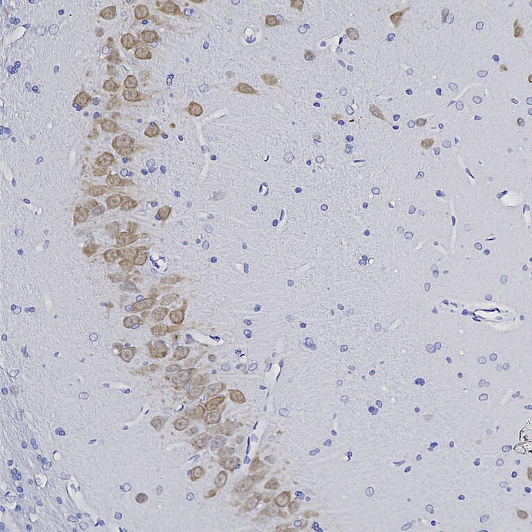
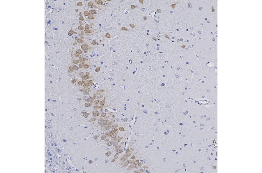
Parkinson's disease (PD) is a chronic neurodegenerative disorder that affects the motor system. Increasing evidence indicates that lysosomal dysfunction is pivotal in the pathogenesis of PD, typically characterized by dysregulation of sphingolipids in lysosomes. ATP-binding cassette subfamily A member 5 (ABCA5) is a lysosomal transporter that mediates the removal of excess sphingomyelin from lysosomes. We therefore investigated whether the expression levels of ABCA5 are associated with sphingomyelin levels and a-synuclein pathology in PD. Firstly, we undertook a comprehensive assessment of the six sphingolipid classes that are part of the lysosomal salvage pathway in the disease-affected amygdala and disease-unaffected visual cortex using liquid chromatography-mass spectrometry. We found that sphingomyelin levels were significantly increased in PD compared to controls and correlated with disease duration only in the amygdala, whereas, the five other sphingolipid classes were slightly altered or unaltered. Concomitantly, the expression of ABCA5 was upregulated in the PD amygdala compared to controls and correlated strongly with sphingomyelin levels. Using neuronal cells, we further verified that the expression of ABCA5 was dependent on cellular levels of sphingomyelin. Interestingly, sphingomyelin levels were strongly associated with a-synuclein in the amygdala and were related to a-synuclein expression. Finally, we revealed that sphingomyelin levels were also increased in PD plasma compared to controls, and that five identical sphingomyelin species were increased in both the brain and the plasma. When put together, these results suggest that in regions accumulating a-synuclein in PD, ABCA5 is upregulated to reduce lysosomal sphingomyelin levels potentially as a protective measure. This process may provide new targets for therapeutic intervention and biomarker development for PD.
Brain inflammation and apoptosis contribute to neuronal damage and loss following ischaemic stroke, leading to cognitive and functional disability. It is well-documented that the human gene-2 (H2)-relaxin hormone exhibits pleiotropic properties via its cognate receptor, Relaxin Family Peptide Receptor 1 (RXFP1), including anti-inflammatory and anti-apoptotic effects, thus making it a potential therapeutic for stroke. Hence, the current study investigated whether post-stroke H2-relaxin administration could improve functional and histological outcomes. 8-12-week-old male C57BL/6 mice were subjected to sham operation or photothrombotic stroke and intravenously-administered with either saline (vehicle) or 0.02, 0.2 or 2 mg/kg doses of recombinant H2-relaxin at 6, 24 and 48 h post-stroke. Motor function was assessed using the hanging wire and cylinder test pre-surgery, and at 24 and 72 h post-stroke. Brains were removed after 72 h and infarct volume was assessed via thionin staining, and RXFP1 expression, leukocyte infiltration and apoptosis were determined by immunofluorescence. RXFP1 was identified on neurons, astrocytes and macrophages, and increased post-stroke. Whilst H2-relaxin did not alter infarct volume, it did cause a dose-dependent improvement in motor function at 24 and 72 h post-stroke. Moreover, 2 mg/kg H2-relaxin significantly decreased the number of apoptotic cells as well as macrophages and neutrophils within the ischaemic hemisphere, but did not alter T or B cells numbers. The anti-inflammatory and anti-apoptotic effects of H2-relaxin when administered at 6 h post-cerebral ischaemia may provide a novel therapeutic option for patients following ischaemic stroke.