Primary Antibodies
Secondary Antibodies
Proteins & Peptides
ELISA Kits
About Us
Contact Us
Sign In/Register
0
ISO 9001:2015 Certified
Live Customer Support
4.5/5 on Trustpilot
100% Quality Guarantee
Home
Primary Antibodies
NeuN Antibodies
Anti-RBFOX3 Antibody (A37257)
Anti-RBFOX3 Antibody (A37257)
Overview
Specifications
Images
Enlarge Image
Enlarge Image
$430
Product Datasheet
Rabbit polyclonal antibody to RBFOX3 for WB and IHC.
100% Guarantee
Price Match Guarantee
Product Size:
100µl
Quantity:
1
2
3
4
5
6
7
8
9
10
Add To Cart
Request a Quotation
Custom or Bulk Request
Shipping Information
Freight/Packing Charges:
$40
Dispatched from St. Louis, MO.
Lead Time: 6-9 business days.
Tags:
Neuronal Marker
Pan Neuronal Marker
Specifications
Name
Anti-RBFOX3 Antibody
Description
Rabbit polyclonal antibody to RBFOX3
Specificity
The antibody detects endogenous levels of total RBFOX3 protein.
Applications
WB
,
IHC
Reactivity
Human, Mouse
Immunogen
Synthetic peptide corresponding to a region derived from internal residues of human RNA binding protein, fox-1 homolog (C. elegans) 3
Host
Rabbit
Clonality
Polyclonal
Conjugate
Unconjugated
Purification
Antigen affinity purification.
Concentration
1.1 mg/mL
Formulation
Supplied in PBS, pH 7.3, containing 0.05% sodium azide and 50% glycerol.
Storage
Shipped at 4°C. Upon delivery aliquot and store at -20°C. Avoid freeze/thaw cycles.
Synonyms
Fox-1 homolog C, NeuN antigen, Neuronal nuclei antigen, RNA binding protein fox-1 homolog 3
Suitable Secondaries
Goat Anti-Rabbit IgG H&L Antibody (AP) (A294874)
Goat Anti-Rabbit IgG H&L Antibody (Biotin) (A294795)
Goat Anti-Rabbit IgG H&L Antibody (FITC) (A294887)
Goat Anti-Rabbit IgG H&L Antibody (HRP) (A294888)
See all Anti-Rabbit IgG Secondaries →
Disclaimer
This product is for research use only. It is not intended for diagnostic or therapeutic use.
Scientific Validation Data
Validation Data
(2)
Enlarge Image
Anti-RBFOX3 Antibody (A37257)
Gel: 10% SDS-PAGE Lysate: 40ug Jurkat cell Primary antibody: 1/550 dilution Secondary antibody dilution: 1/8000 Exposure time: 30 seconds
Enlarge Image
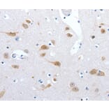
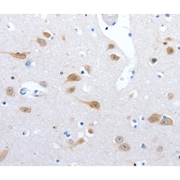
Immunohistochemistry - Anti-RBFOX3 Antibody (A37257)
Immunohistochemical analysis of paraffin-embedded Human brain tissue using #36998 at dilution 1/25.
Publishing research using Anti-RBFOX3 Antibody (A37257)? Please
let us know
so that we can list the citation on this page.
Most popular Anti-RBFOX3 Antibodies
(8)
A85405
2 Citations
Anti-NeuN Antibody [1B7]
Mouse monoclonal [1B7] antibody to NeuN for WB, ICC/IF and IHC.
(8)
A85403
Anti-NeuN Antibody
Rabbit polyclonal antibody to NeuN for WB, ICC/IF and IHC.
(3)
A104330
1 Citation
Anti-NeuN Antibody
Chicken polyclonal antibody to NeuN for WB, ICC/IF and IHC.
(8)
A85405
2 Citations
Anti-NeuN Antibody [1B7]
Mouse monoclonal [1B7] antibody to NeuN for WB, ICC/IF and IHC.
(8)
A85403
Anti-NeuN Antibody
Rabbit polyclonal antibody to NeuN for WB, ICC/IF and IHC.
(3)
A104330
1 Citation
Anti-NeuN Antibody
Chicken polyclonal antibody to NeuN for WB, ICC/IF and IHC.
Alternative products to Anti-RBFOX3 Antibody (A37257)
(4)
A270544
3 Citations
Anti-NeuN Antibody
Goat polyclonal antibody to NeuN for WB, ICC/IF and IHC.
(5)
A306978
Anti-NeuN Antibody [ARC0202]
Rabbit monoclonal [ARC0202] antibody to NeuN for WB, IHC and ICC/IF.
(4)
A12719
Anti-NeuN Antibody
Rabbit polyclonal antibody to NeuN for WB, IHC and ICC/IF.
(3)
A38401
Anti-NeuN Antibody
Rabbit polyclonal antibody to NeuN for WB and IHC.
(3)
A277965
Anti-NeuN Antibody [NeuN/288R]
Recombinant rabbit monoclonal [NeuN/288R] antibody to NeuN for IHC-P.
(3)
A278554
Anti-NeuN Antibody [NeuN/6694R] - BSA and Azide free
Recombinant rabbit monoclonal [NeuN/6694R] antibody to NeuN for IHC-P.
(3)
A278553
Anti-NeuN Antibody [NeuN/288R] - BSA and Azide free
Recombinant rabbit monoclonal [NeuN/288R] antibody to NeuN for IHC-P.
(2)
A277967
Anti-NeuN Antibody [NeuN/7071R]
Recombinant rabbit monoclonal [NeuN/7071R] antibody to NeuN for IHC-P.
(3)
A277966
Anti-NeuN Antibody [NeuN/6694R]
Recombinant rabbit monoclonal [NeuN/6694R] antibody to NeuN for IHC-P.
(2)
A121385
Anti-NeuN Antibody [RM312]
Recombinant rabbit monoclonal [RM312] antibody to NeuN for WB and IHC.
A347383
Anti-NeuN Antibody [25GB5665]
Recombinant rabbit monoclonal [25GB5665] antibody to NeuN for WB.
(2)
A278555
Anti-NeuN Antibody [NeuN/7071R] - BSA and Azide free
Recombinant rabbit monoclonal [NeuN/7071R] antibody to NeuN for IHC-P.
(4)
A270544
3 Citations
Anti-NeuN Antibody
Goat polyclonal antibody to NeuN for WB, ICC/IF and IHC.
(5)
A306978
Anti-NeuN Antibody [ARC0202]
Rabbit monoclonal [ARC0202] antibody to NeuN for WB, IHC and ICC/IF.
(4)
A12719
Anti-NeuN Antibody
Rabbit polyclonal antibody to NeuN for WB, IHC and ICC/IF.
(3)
A38401
Anti-NeuN Antibody
Rabbit polyclonal antibody to NeuN for WB and IHC.
(3)
A277965
Anti-NeuN Antibody [NeuN/288R]
Recombinant rabbit monoclonal [NeuN/288R] antibody to NeuN for IHC-P.
(3)
A278554
Anti-NeuN Antibody [NeuN/6694R] - BSA and Azide free
Recombinant rabbit monoclonal [NeuN/6694R] antibody to NeuN for IHC-P.
(3)
A278553
Anti-NeuN Antibody [NeuN/288R] - BSA and Azide free
Recombinant rabbit monoclonal [NeuN/288R] antibody to NeuN for IHC-P.
(2)
A277967
Anti-NeuN Antibody [NeuN/7071R]
Recombinant rabbit monoclonal [NeuN/7071R] antibody to NeuN for IHC-P.
(3)
A277966
Anti-NeuN Antibody [NeuN/6694R]
Recombinant rabbit monoclonal [NeuN/6694R] antibody to NeuN for IHC-P.
(2)
A121385
Anti-NeuN Antibody [RM312]
Recombinant rabbit monoclonal [RM312] antibody to NeuN for WB and IHC.
A347383
Anti-NeuN Antibody [25GB5665]
Recombinant rabbit monoclonal [25GB5665] antibody to NeuN for WB.
(2)
A278555
Anti-NeuN Antibody [NeuN/7071R] - BSA and Azide free
Recombinant rabbit monoclonal [NeuN/7071R] antibody to NeuN for IHC-P.
See all RBFOX3 Antibodies
Proteins predicted to interact with NeuN
Predicted protein interactions based upon String database. Revelancy score correlates with probability of interaction.
Nestin Antibodies
93.2% Relevancy Score
GFAP Antibodies
93.1% Relevancy Score
Iba1 Antibodies
90.9% Relevancy Score
Doublecortin Antibodies
88.8% Relevancy Score
Olig2 Antibodies
82.8% Relevancy Score
MAP2 Antibodies
81.3% Relevancy Score
Calbindin Antibodies
80.5% Relevancy Score
Parvalbumin Antibodies
80.1% Relevancy Score
Synaptophysin Antibodies
80.1% Relevancy Score
Top