ISO 9001:2015 Certified
Live Customer Support
4.5/5 on Trustpilot
100% Quality Guarantee

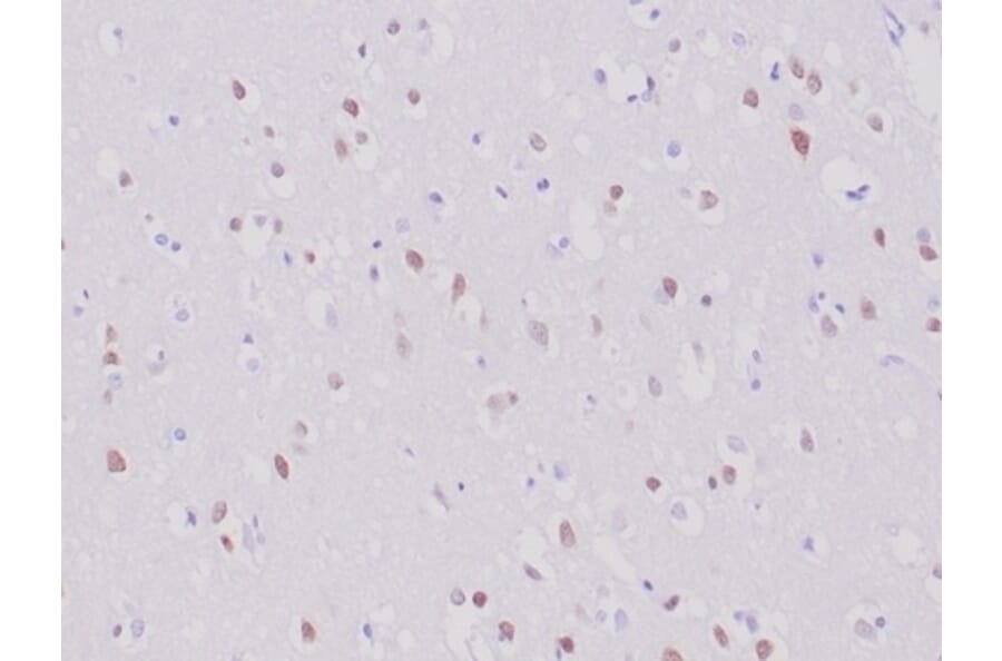
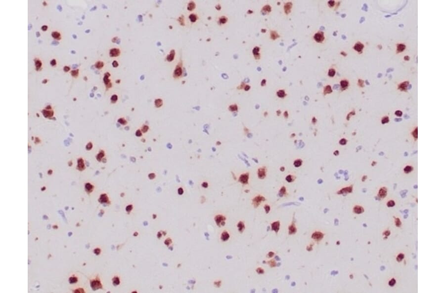
Recombinant Anti-NeuN Antibody [NeuN/6694R] - BSA and Azide free (A278554)

Recombinant rabbit monoclonal [NeuN/6694R] antibody to NeuN for IHC-P.

Alternative Formats and ConjugatesAlternative Formats

Shipping Information

$40
Dispatched from St. Louis, MO.
Lead Time: 5-8 business days.
Name
Anti-NeuN Antibody [NeuN/6694R] - BSA and Azide free
Description
Recombinant rabbit monoclonal [NeuN/6694R] antibody to NeuN.
Specificity
NeuN antibody specifically recognizes the DNA-binding, neuron-specific protein NeuN, which is present in most CNS and PNS neuronal cell types of all vertebrates tested. NeuN protein distributions are apparently restricted to neuronal nuclei and some proximal neuronal processes in both fetal and adult brain although, some neurons fail to be recognized by NeuN at all ages: INL retinal cells, Cajal-Retzius cells, Purkinje cells, inferior olivary and dentate nucleus neurons, and sympathetic ganglion cells are examples. Immunohistochemically detectable NeuN protein first appears at developmental timepoints that correspond with the withdrawal of the neuron from the cell cycle and/or with the initiation of terminal differentiation of the neuro. Immunoreactivity appears around E9.5 in the mouse neural tube and is extensive throughout the developing nervous system by E12.5. Strong nuclear staining suggests a nuclear regulatory protein function; however, no evidence currently exists as to whether the NeuN protein antigen has a function in the distal cytoplasm or whether it is merely synthesized there before being transported back into the nucleus. No difference between protein isolated from purified nuclei and whole brain extract on immunoblots has been found.
Applications
IHC-P
Dilutions
IHC-P: 1-2 µg/ml
Reactivity
Human
Immunogen
Synthetic peptide, within amino acids 30-60, of human NeuN protein. The exact sequence is proprietary.
Host
Rabbit
Clonality
Monoclonal
Clone ID
NeuN/6694R
Isotype
IgG
Light Chains
kappa
Conjugate

Unconjugated

Purification
Protein A/G chromatography.
Concentration
1 mg/ml
Molecular Weight
38 kDa
Product Form
Liquid
Formulation
Supplied in 10mM Phosphate Buffered Saline; without Sodium Azide and carrier free.
Storage
Shipped at 4°C. Upon delivery aliquot and store at -20°C. Avoid freeze / thaw cycles.
General Notes
This monoclonal antibody is also available in a different formulation with BSA and Sodium Azide - Anti-NeuN Antibody [NeuN/6694R] (A277966).
Synonyms
Fox-1 homolog C, NeuN antigen, Neuronal nuclei antigen, RBFOX3, RNA binding protein fox-1 homolog 3
Disclaimer
This product is for research use only. It is not intended for diagnostic or therapeutic use.
Publishing research using Recombinant Anti-NeuN Antibody [NeuN/6694R] - BSA and Azide free (A278554)? Please let us know so that we can list the citation on this page.

Most popular Anti-NeuN Antibodies

Alternative products to Anti-NeuN Antibody [NeuN/6694R] - BSA and Azide free (A278554)

Proteins predicted to interact with NeuN

Predicted protein interactions based upon String database. Revelancy score correlates with probability of interaction.
93.2% Relevancy Score
93.1% Relevancy Score
90.9% Relevancy Score
89.2% Relevancy Score
88.8% Relevancy Score
82.8% Relevancy Score
81.3% Relevancy Score
80.5% Relevancy Score
80.1% Relevancy Score