Primary Antibodies
Secondary Antibodies
Proteins & Peptides
ELISA Kits
About Us
Contact Us
Sign In/Register
0
ISO 9001:2015 Certified
Live Customer Support
4.5/5 on Trustpilot
100% Quality Guarantee
Home
Primary Antibodies
PER2 Antibodies
Anti-PER2 Antibody (A46959)
Anti-PER2 Antibody (A46959)
Overview
Specifications
Images
Enlarge Image
Enlarge Image
$430
Product Datasheet
Rabbit polyclonal antibody to PER2 for IHC.
100% Guarantee
Price Match Guarantee
Product Size:
100µl
Quantity:
1
2
3
4
5
6
7
8
9
10
Add To Cart
Request a Quotation
Custom or Bulk Request
Shipping Information
Freight/Packing Charges:
$40
Dispatched from St. Louis, MO.
Lead Time: 6-9 business days.
Specifications
Name
Anti-PER2 Antibody
Description
Rabbit polyclonal antibody to PER2
Specificity
The antibody detects endogenous levels of total PER2 protein.
Applications
IHC
Reactivity
Human
Immunogen
Synthetic peptide corresponding to a region derived from internal residues of human period circadian clock 2
Host
Rabbit
Clonality
Polyclonal
Conjugate
Unconjugated
Purification
Antigen affinity purification.
Concentration
2.9 mg/mL
Formulation
Supplied in PBS, pH 7.3, containing 0.05% sodium azide and 50% glycerol.
Storage
Shipped at 4°C. Upon delivery aliquot and store at -20°C. Avoid freeze/thaw cycles.
Synonyms
Circadian clock protein PERIOD 2, hPER2, KIAA0347, Period circadian protein homolog 2
Suitable Secondaries
Goat Anti-Rabbit IgG H&L Antibody (AP) (A294874)
Goat Anti-Rabbit IgG H&L Antibody (Biotin) (A294795)
Goat Anti-Rabbit IgG H&L Antibody (FITC) (A294887)
Goat Anti-Rabbit IgG H&L Antibody (HRP) (A294888)
See all Anti-Rabbit IgG Secondaries →
Disclaimer
This product is for research use only. It is not intended for diagnostic or therapeutic use.
Scientific Validation Data
Validation Data
(2)
Enlarge Image
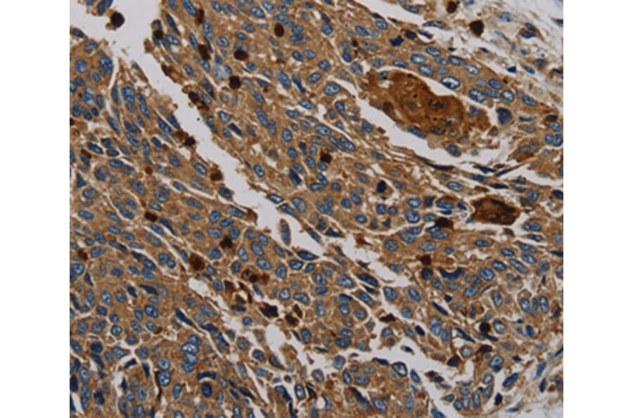
Immunohistochemistry - Anti-PER2 Antibody (A46959)
Immunohistochemical analysis of paraffin-embedded Human thyroid cancer tissue using #37814 at dilution 1/50.
Enlarge Image
Immunohistochemistry - Anti-PER2 Antibody (A46959)
Immunohistochemical analysis of paraffin-embedded Human lung cancer tissue using #37814 at dilution 1/50.
Publishing research using Anti-PER2 Antibody (A46959)? Please
let us know
so that we can list the citation on this page.
Alternative products to Anti-PER2 Antibody (A46959)
(6)
A88334
1 Citation
Anti-PER2 Antibody
Rabbit polyclonal antibody to PER2 for WB, IHC, IP and ChIP.
(4)
A307556
Anti-PER2 Antibody [ARC1134]
Rabbit monoclonal [ARC1134] antibody to PER2 for WB, ICC/IF, IP and ChIP.
(3)
A95942
Anti-Period Circadian Protein 2 (phospho Ser662) Antibody
Rabbit polyclonal antibody to Period Circadian Protein 2 (phospho Ser662) for WB, IHC, IF and ELISA.
(2)
A94369
Anti-Period Circadian Protein 2 Antibody
Rabbit polyclonal antibody to Period Circadian Protein 2 for IHC, IF and ELISA.
A50311
Anti-Per2 (Phospho-Ser662) Antibody
Rabbit polyclonal antibody to Per2 (Phospho-Ser662) for ELISA, WB and IHC.
A347736
Anti-PER2 Antibody [24GB1515]
Recombinant rabbit monoclonal [24GB1515] antibody to PER2 for WB, Flow Cytometry and ICC/IF.
A326273
Anti-PER2 Antibody
Goat polyclonal antibody to PER2 for ELISA and IHC.
(6)
A88334
1 Citation
Anti-PER2 Antibody
Rabbit polyclonal antibody to PER2 for WB, IHC, IP and ChIP.
(4)
A307556
Anti-PER2 Antibody [ARC1134]
Rabbit monoclonal [ARC1134] antibody to PER2 for WB, ICC/IF, IP and ChIP.
(3)
A95942
Anti-Period Circadian Protein 2 (phospho Ser662) Antibody
Rabbit polyclonal antibody to Period Circadian Protein 2 (phospho Ser662) for WB, IHC, IF and ELISA.
(2)
A94369
Anti-Period Circadian Protein 2 Antibody
Rabbit polyclonal antibody to Period Circadian Protein 2 for IHC, IF and ELISA.
A50311
Anti-Per2 (Phospho-Ser662) Antibody
Rabbit polyclonal antibody to Per2 (Phospho-Ser662) for ELISA, WB and IHC.
A347736
Anti-PER2 Antibody [24GB1515]
Recombinant rabbit monoclonal [24GB1515] antibody to PER2 for WB, Flow Cytometry and ICC/IF.
A326273
Anti-PER2 Antibody
Goat polyclonal antibody to PER2 for ELISA and IHC.
See all PER2 Antibodies
Proteins predicted to interact with PER2
Predicted protein interactions based upon String database. Revelancy score correlates with probability of interaction.
SHARP1 Antibodies
99.9% Relevancy Score
Casein Kinase 1 epsilon Antibodies
99.9% Relevancy Score
CRY1 Antibodies
99.9% Relevancy Score
CRY2 Antibodies
99.9% Relevancy Score
PER3 Antibodies
99.8% Relevancy Score
NR1D1 Antibodies
99.8% Relevancy Score
PER1 Antibodies
99.7% Relevancy Score
BMAL1 Antibodies
99.7% Relevancy Score
Casein Kinase 1 delta Antibodies
99.6% Relevancy Score
Top