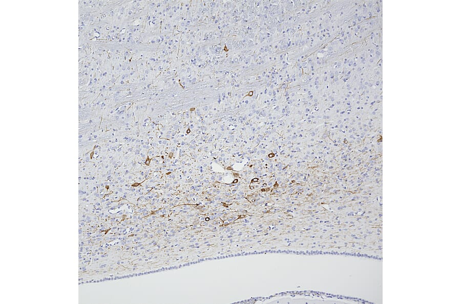
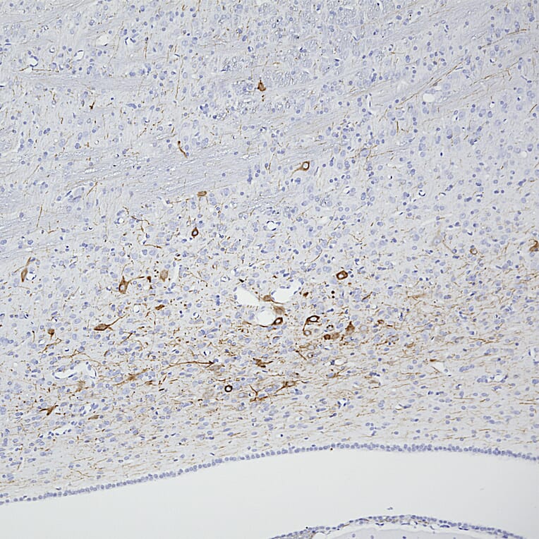
Immunohistochemistry analysis of a 4% PFA fixed paraffin embedded rat brain stem section with Anti-Peripherin Antibody [7C5] (A85432) at a dilution of 1:1,000. Anti-Peripherin Antibody [7C5] (A85432) labels the cytoplasm of a specific subset of neurons within the brain stem expected to have projections towards the periphery. This antibody performs well in testing with 4% PFA fixed tissues but was not tested for immunohistochemistry on NBF fixed paraffin sections. Anti-Peripherin Antibody [7C5] (A85432) is the recommended clone for immunostaining rat tissue. It does not cross react with the human protein.
Mixed neuron/glia cultures from newborn rat brain stained with Anti-Peripherin Antibody (green) and Anti-NF-L Antibody (A85451 | red). A class of large neurons, like the one in the middle of this image, contain peripherin, while the majority of neurons and their processes contain NF-L and not peripherin. Interestingly, the peripherin positive cells often contain a cytoplasmic inclusion next to the nucleus which stains for both peripherin and NF-L, and so appears golden in this kind of image. The blue channel reveals the localization of DNA. Note this antibody is specific for rodent peripherin and does not bind human peripherin.
Immunofluorescent analysis of mixed fibroblast and rat pheochromocytoma PC12 cell culture stained with Anti-Peripherin Antibody [7C5] (A85432), at a dilution of 1:500, in red, and co-stained with Anti-Vimentin Antibody (A85421), at a dilution of 1:10,000, in green. The nuclear DNA is visualised in blue using Hoechst staining. The Anti-Peripherin Antibody [7C5] (A85432) reveals cytoplasmic filamentous staining in the small PC12 cells, while the Anti-Vimentin Antibody (A85421) stains intermediate filaments in the surrounding fibroblastic cells which do not express peripherin.
Western Blot - Anti-Peripherin Antibody [7C5] (A85432)
Western blot analysis of tissue and cell lysates using Anti-Peripherin Antibody [7C5] (A85432), at a dilution of 1:1,000, in green. The lanes contain samples of: [Lane 1] Protein standards, [Lane 2] rat spinal cord, [Lane 3] rat sciatic nerve, [Lane 4] mouse spinal cord, [Lane 5] pig spinal cord, [Lane 6] cow spinal cord, [Lane 7] SH-SY5Y cells, and [Lane 8] PC12 cells. The band at approximately 57 kDa corresponds to the peripherin protein. This is detected only in rat and mouse lysates, since the antibody is rodent specific.
Publishing research using Anti-Peripherin Antibody [7C5] (A85432)? Please let us know so that we can list the citation on this page.