Immunofluorescent analysis of mixed fibroblast and PC12 pheochromocytoma cell culture stained with Anti-Peripherin Antibody (A85435) at a dilution of 1:5,000 (green) and costained with Anti-Vimentin Antibody (A85420) at a dilution of 1:2,000, (red). Nuclei were stained with DAPI (blue). Anti-Peripherin Antibody (A85435) reveals cytoplasmic filamentous staining in the small PC12 cells, while vimentin antibody stains intermediate filaments in the surrounding fibroblastic cells which do not express peripherin.
Rat mixed neuron/glial cultures stained with Anti-Peripherin Antibody (green) and Anti-Alpha-Internexin Antibody (A85441 | red). These cultures contain mostly neurons which are rich in a-internexin, and a subgroup which have a large amount of peripherin also, such as the prominent cell in the middle of the micrograph. Since this cell expresses large amounts of both peripherin and a-internexin, the green and red signals superimpose to produce a golden yellow cell. The blue signal is a DNA stain and reveals the nuclei of neurons and non-neuronal cells.
Western blot analysis of spinal cord tissue lysates and cell lysates using Anti-Peripherin Antibody (A85435), at a dilution of 1:10,000, in green. The lanes contain samples of: [Lane 1] Protein standards, in red, [Lane 2] rat spinal cord, [Lane 3] mouse spinal cord, [Lane 4] pig spinal cord, [Lane 5] cow spinal cord, [Lane 6] SH-SY5Y cells, and [Lane 7] PC12 cells. The band at approximately 57 kDa corresponds to the peripherin protein.
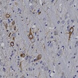
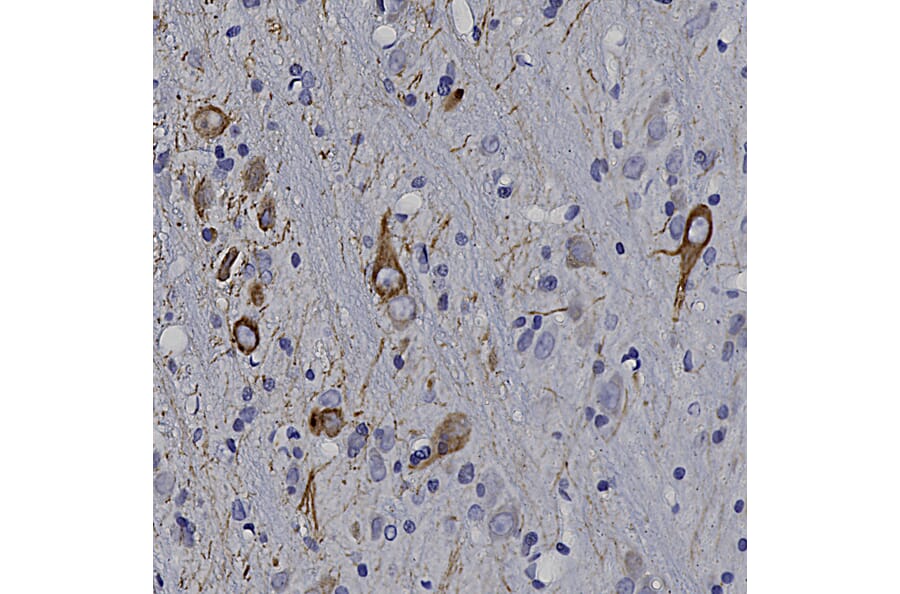
Immunohistochemistry analysis of a formalin fixed paraffin embedded rat brain stem section with Anti-Peripherin Antibody (A85435) at a dilution of 1:20,000 detected in DAB (brown) following the ABC method. Counterstained with Hematoxylin (blue). In the central nervous system, peripherin antibody primarily labels neurons which have projections into the peripheral nervous system.
These are Coomassie Brilliant Blue stained whole protein extracts of adult rat cortex (Lane 1), brain stem (Lane 2), cerebellum (Lane 3), and spinal cord (Lane 4) separated on 8% SDS-PAGE. The major neurofilament subunits are indicated by “NF-L”, “NF-M” and ”NF-H”, spectrin/fodrin by “S/F” and Microtubule associated protein 2 by “MAP2”. Right Panel is a western blot of similar preparations in the reverse orientation, where Lane 1 is spinal cord, Lane 2 is brain stem, Lane three is cerebellum and Lane 4 is cortex. This blot is from a 6% SDS-PAGE and processed for immunoblotting with Anti-Peripherin Antibody, at a dilution of 1:10,000). A clear band running at 57kDa apparent size is seen in the spinal cord and brain stem lanes, but not in the other regions, in which peripherin is a very minor component. The position of this band on the Coomassie stained preparation is a little higher on the 8% gel and is indicated by “Peri” in the left panel.
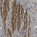
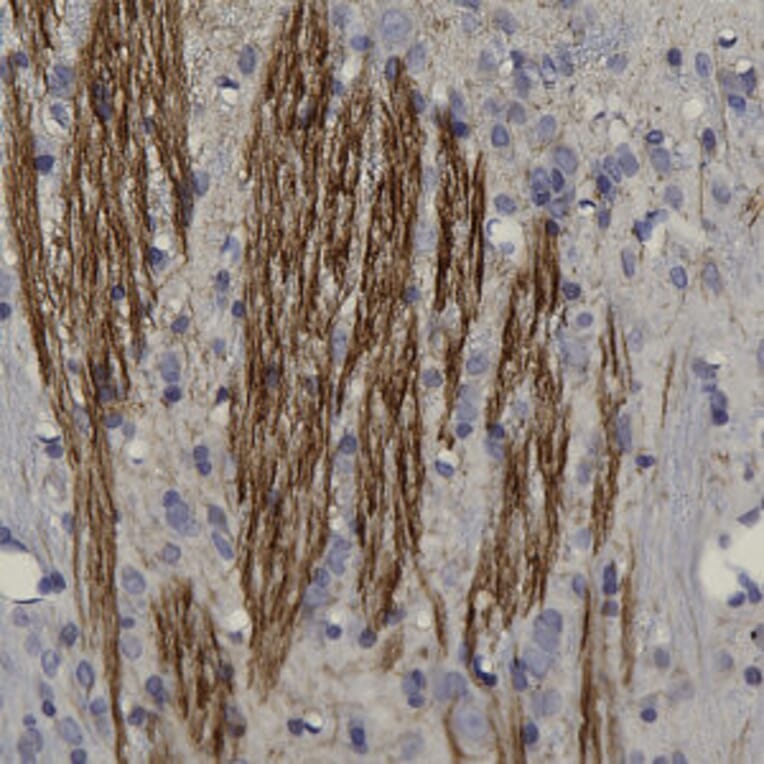
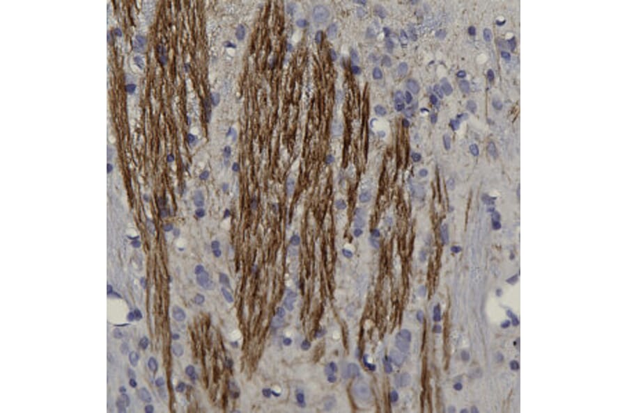
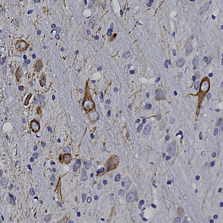
Immunohistochemistry analysis of a formalin fixed paraffin embedded rat brain stem section with Anti-Peripherin Antibody (A85435) at a dilution of 1:20,000 detected in DAB (brown) following the ABC method. Counterstained with Hematoxylin (blue). In the central nervous system, peripherin antibody labels axonal bundles which project into the peripheral nervous system.