Immunofluorescent analysis of human neuroblastoma cell line SH-SY5Y (A) and rat pheochromocytoma cell line PC12 (B), stained with Anti-Peripherin Antibody, at a dilution of 1:500, in red, and Anti-Vimentin Antibody (A85421 | 1:10,000, in green. The blue is DAPI staining of nuclear DNA. Peripherin, one of the Class III family of intermediate filament (IF) subunit proteins is revealed by Anti-Peripherin Antibody in the perinuclear region in some SH-SY5Y cells and in all PC12 cells. Vimentin, a protein also in the Class III IF family, is detected in a subpopulation of SH-SY5Y cells which are negative for peripherin. PC12 cells express peripherin but not vimentin.
A neuron in a rat cortical neuron culture which stains strongly for peripherin with Anti-Peripherin Antibody (red). A minority of cells in such cultures are strongly peripherin positive. In some cases they also stain for other neurofilament subunits, but this particular cell shows very little staining for NF-L using Anti-NF-L Antibody (A85451 | green). Blue is the DNA stain DAPI.
Western Blot - Anti-Peripherin Antibody [8G2] (A85433)
Western blot analysis of tissue and cell lysates probed with Anti-Peripherin Antibody, at a dilution of 1:500, in green,: [Lane 1] protein standard (red), [Lane 2] mouse spinal cord, [Lane 3] rat spinal cord, [Lane 4] cow spinal cord, [Lane 5] SH-SY5Y cells, and [Lane 6] PC12 cells. Band at ~57 kDa corresponds to the peripherin protein. Bands at 50 and 25 kDa, detected in the mouse spinal cord lysate are heavy and light chains of IgG.
Western Blot - Anti-Peripherin Antibody [8G2] (A85433)
Lane 1 shows Coomassie blue stain of a cytoskeletal extract of rat spinal cord. H, M and L indicate the positions of the three major neurofilament subunits, while G corresponds to glial fibrillary acidic protein (GFAP). Immunoblotting of Anti-Peripherin Antibody on this material is shown in Lane 2. Lane 3 shows staining with Anti-Peripherin Antibody (A85430). Peripherin runs at ~57 kDa and so is a little larger than GFAP and vimentin which run at ~50 kDa (Lane 4 shows blotting with Anti-Vimentin Antibody).
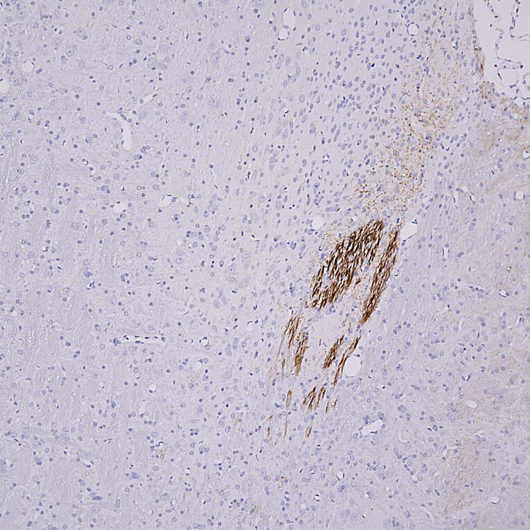
Immunohistochemistry analysis of a 4% PFA fixed paraffin embedded rat brain stem section with Anti-Peripherin Antibody [8G2] (A85433) at a dilution of 1:1,000 detected with DAB (brown) using the Vector Labs ImmPRESS method and reagents with citra buffer retrieval. Counterstained with Hematoxylin (blue). In the central nervous system, peripherin labels the cytoplasm of a specific subset of neurons within the brain stem expected to have projections towards the periphery. Note: this antibody performs well in testing with both 4% PFA and standard NBF fixed rat and human tissues.