Western Blot - Anti-RPS6 (phospho Ser240 + Ser244) Antibody (A11015)
Western blot analysis of extracts of various cell lines, using Anti-RPS6 (phospho Ser240 + Ser244) Antibody (A11015) at 1:1,000 dilution or RPS6 antibody (A6058). HeLa cells were treated by 10% FBS at 37°C for 30 minutes after serum-starvation overnight. NIH/3T3 cells were treated by 10% FBS at 37°C for 30 minutes after serum-starvation overnight. The secondary antibody was Goat Anti-Rabbit IgG H&L Antibody (HRP) at 1:10,000 dilution. Lysates/proteins were present at 25µg per lane. The blocking buffer used was 3% BSA. Detection was with a ECL Basic Kit. Exposure time: 1s.
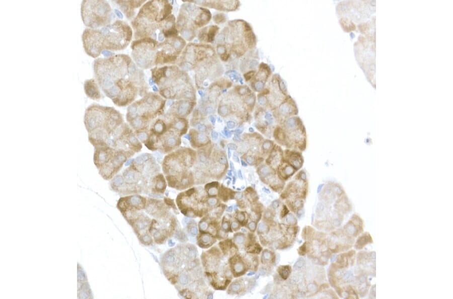
Immunohistochemistry analysis of paraffin-embedded mouse pancreas using Anti-RPS6 (phospho Ser240 + Ser244) Antibody (A11015) at a dilution of 1:50 (40x lens). Perform high pressure antigen retrieval with 10 mM citrate buffer pH 6.0 before commencing with IHC staining protocol.
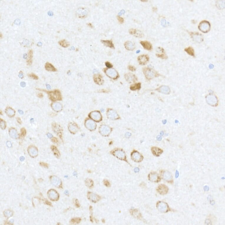
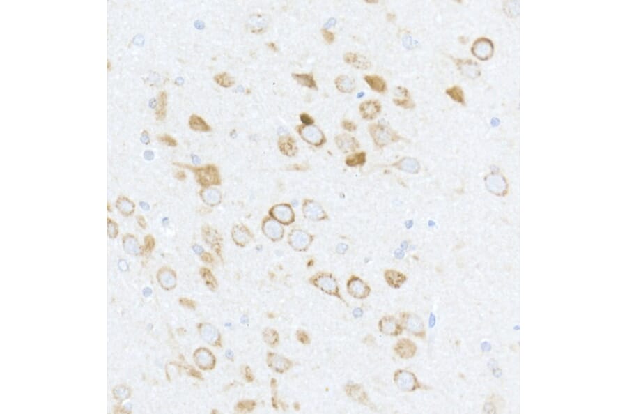
Immunohistochemistry analysis of paraffin-embedded rat brain using Anti-RPS6 (phospho Ser240 + Ser244) Antibody (A11015) at a dilution of 1:50 (40x lens). Perform high pressure antigen retrieval with 10 mM citrate buffer pH 6.0 before commencing with IHC staining protocol.
Western Blot - Anti-RPS6 (phospho Ser240 + Ser244) Antibody (A11015)
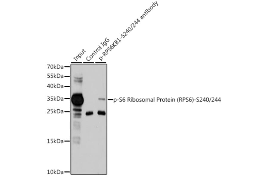
Immunoprecipitation analysis of 200µg extracts of 293T cells using 3µg of Anti-RPS6 (phospho Ser240 + Ser244) Antibody (A11015). This Western blot was performed on the immunoprecipitate using Anti-RPS6 (phospho Ser240 + Ser244) Antibody (A11015) at a dilution of 1:1000. 293T cells were treated by PMA/TPA (200 nM) at 37°C for 30 minutes after serum-starvation overnight.
Publishing research using Anti-RPS6 (phospho Ser240 + Ser244) Antibody (A11015)? Please let us know so that we can list the citation on this page.
Alternative products to Anti-RPS6 (phospho Ser240 + Ser244) Antibody (A11015)