Western Blot - Anti-SMC1A (phospho Ser957) Antibody [ARC1606] (A306127)
Western blot analysis of extracts of 293T cells, using Anti-SMC1A (phospho Ser957) Antibody [ARC1606] (A306127) at 1:1,000 dilution. 293T cells were treated by UV at room temperature for 15-30 minutes. The secondary antibody was Goat Anti-Rabbit IgG H&L Antibody (HRP) at 1:10,000 dilution. Lysates/proteins were present at 25µg per lane. The blocking buffer used was 3% BSA. Detection was with a ECL Basic Kit. Exposure time: 1s.
Western Blot - Anti-SMC1A (phospho Ser957) Antibody [ARC1606] (A306127)
Western blot analysis of extracts of NIH/3T3 cells, using Anti-SMC1A (phospho Ser957) Antibody [ARC1606] (A306127) at 1:1,000 dilution. NIH/3T3 cells were treated by UV at room temperature for 15-30 minutes. The secondary antibody was Goat Anti-Rabbit IgG H&L Antibody (HRP) at 1:10,000 dilution. Lysates/proteins were present at 25µg per lane. The blocking buffer used was 3% BSA. Detection was with a ECL Enhanced Kit (RM00021). Exposure time: 3min.
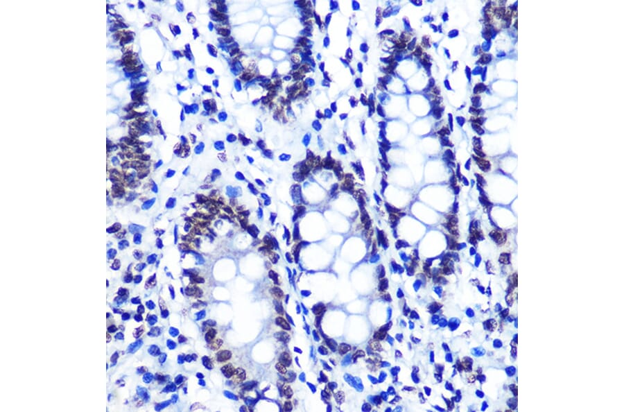
Immunohistochemistry analysis of paraffin-embedded human colon tissue using Anti-SMC1A (phospho Ser957) Antibody [ARC1606] (A306127) at a dilution of 1:100 (40x lens). Perform microwave antigen retrieval with 10 mM Tris/EDTA buffer pH 9.0 before commencing with IHC staining protocol.
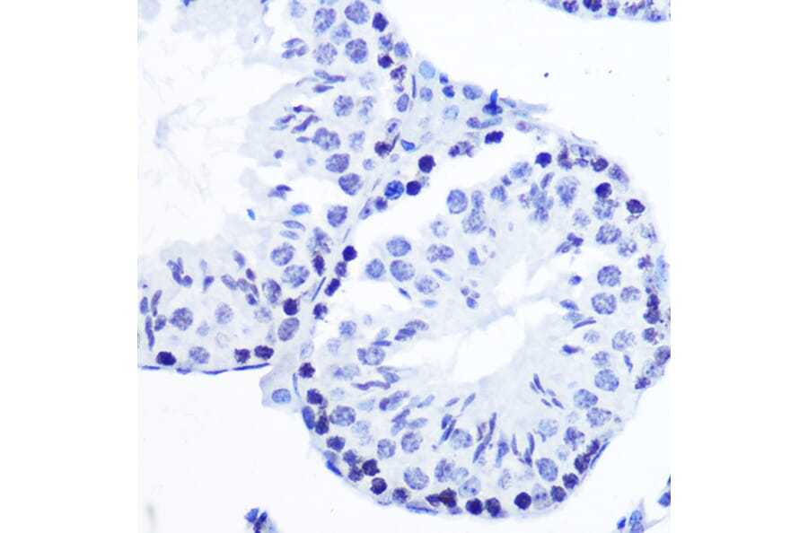
Immunohistochemistry analysis of paraffin-embedded mouse testis using Anti-SMC1A (phospho Ser957) Antibody [ARC1606] (A306127) at a dilution of 1:100 (40x lens). Perform microwave antigen retrieval with 10 mM Tris/EDTA buffer pH 9.0 before commencing with IHC staining protocol.
Immunohistochemistry analysis of paraffin-embedded rat brain using Anti-SMC1A (phospho Ser957) Antibody [ARC1606] (A306127) at a dilution of 1:100 (40x lens). Perform microwave antigen retrieval with 10 mM Tris/EDTA buffer pH 9.0 before commencing with IHC staining protocol.