Phosphorylated synthetic peptide around Serine 966 of human SMC1A (NP_006297. 2).
Host
Rabbit
Clonality
Polyclonal
Isotype
IgG
Conjugate
Unconjugated
Purification
Antigen affinity purification.
Concentration
1 mg/ml
Product Form
Liquid
Formulation
Supplied in Tris-Citrate/Phosphate Buffer, pH 7-8, with 0.09% Sodium Azide.
Storage
Shipped at 4°C. Upon delivery aliquot and store at -20°C. Avoid freeze/thaw cycles.
General Notes
This antibody was affinity purified using the immunising peptide immobilized on solid support. Immunoglobulin concentration was determined by extinction coefficient: absorbance at 280 nm of 1. 4 equals 1.0 mg of IgG.
Synonyms
DXS423E, KIAA0178, SB1.8, SMC protein 1A, SMC-1-alpha, SMC-1A, SMC1, SMC1L1, Structural maintenance of chromosomes protein 1A
Samples: Neocarzinostatin treated asynchronous HeLa cells. Antibody: Anti-SMC1A (phospho Ser966) Antibody (A295220) was used at a dilution of 1:5,000 (0.2 µg/ml). Detection: Red fluorescent Anti-rabbit IgG-DyLight® 594 conjugated used at a dilution of 1:100.
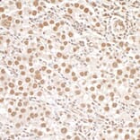
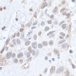
Sample: FFPE section of human breast carcinoma. Antibody: Anti-SMC1A (phospho Ser966) Antibody (A295220) was used at a dilution of 1:1,000 (1 µg/ml). Detection: DAB.
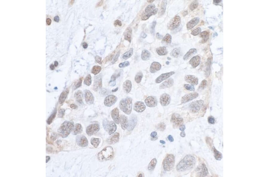
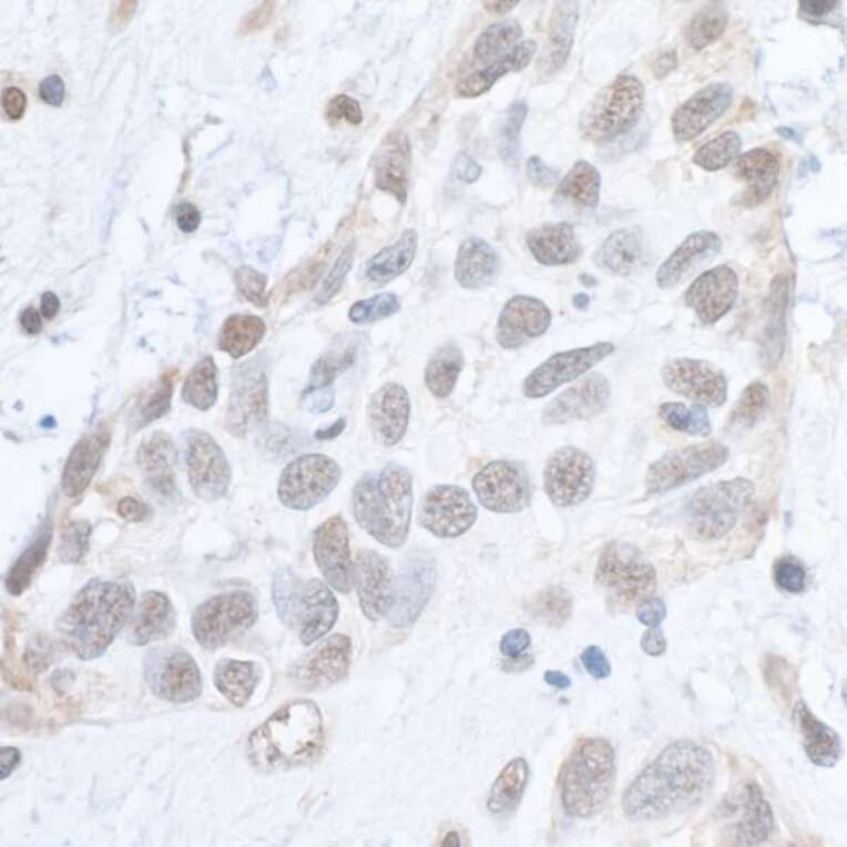
Sample: FFPE section of human testicular seminoma. Antibody: Anti-SMC1A (phospho Ser966) Antibody (A295220) was used at a dilution of 1:1,000 (1 µg/ml). Detection: DAB.
Samples: Whole cell lysate (1.0 mg per IP reaction; 20% of IP loaded) from Jurkat cells treated with 100 µM etoposide (+) or mock treated (-). Antibodies: Anti-SMC1A (phospho Ser966) Antibody (A295220) was used for IP at 3 µl per reaction. Phospho SMC1A (Ser966) was also immunoprecipitated using A295225. For blotting immunoprecipitated Phospho SMC1 (Ser966), Anti-SMC1A (phospho Ser966) Antibody (A295220) was used at 1 µg/ml. Detection: Chemiluminescence with an exposure time of 3 minutes. For detection of total SMC1A, A295225 was used.
Western Blot - Anti-SMC1A (phospho Ser966) Antibody (A295220)
Samples: Whole cell lysate (50 µg) from Jurkat cells treated with 100 µM etoposide (+) or mock treated (-). Antibodies: Anti-SMC1A (phospho Ser966) Antibody (A295220) was used at 0.1 µg/ml. Detection: Chemiluminescence with an exposure time of 3 minutes. For detection of total SMC1A, Anti-SMC1A Antibody (A295225) antibody was used.