Western blot analysis of various lysates, using Anti-STAT3 Antibody (A13365) at 1:2,500 dilution. The secondary antibody was Goat Anti-Rabbit IgG H&L Antibody (HRP) at 1:10,000 dilution. Lysates/proteins were present at 25µg per lane. The blocking buffer used was 3% non-fat dry milk in TBST. Detection was with a ECL Basic Kit. Exposure time: 60s.
Immunohistochemistry analysis of paraffin-embedded mouse brain using Anti-STAT3 Antibody (A13365) at a dilution of 1:200 (40x lens). Perform high pressure antigen retrieval with 10 mM citrate buffer pH 6.0 before commencing with IHC staining protocol.
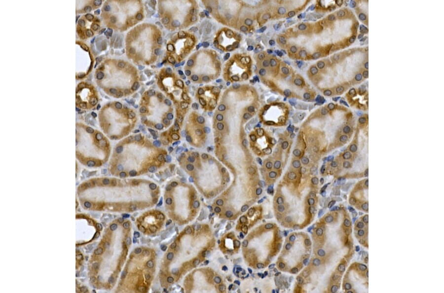
Immunohistochemistry analysis of paraffin-embedded mouse kidney using Anti-STAT3 Antibody (A13365) at a dilution of 1:200 (40x lens). Perform high pressure antigen retrieval with 10 mM citrate buffer pH 6.0 before commencing with IHC staining protocol.
Immunohistochemistry analysis of paraffin-embedded rat heart using Anti-STAT3 Antibody (A13365) at a dilution of 1:200 (40x lens). Perform high pressure antigen retrieval with 10 mM citrate buffer pH 6.0 before commencing with IHC staining protocol.
Immunohistochemistry analysis of paraffin-embedded rat kidney using Anti-STAT3 Antibody (A13365) at a dilution of 1:200 (40x lens). Perform high pressure antigen retrieval with 10 mM citrate buffer pH 6.0 before commencing with IHC staining protocol.
Immunofluorescence analysis of NIH/3T3 cells using Anti-STAT3 Antibody (A13365) at a dilution of 1:100 (40x lens). DAPI was used to stain the cell nuclei (blue).
Immunofluorescence analysis of PC-12 cells using Anti-STAT3 Antibody (A13365) at a dilution of 1:100 (40x lens). DAPI was used to stain the cell nuclei (blue).
Immunofluorescence analysis of U2OS cells using Anti-STAT3 Antibody (A13365) at a dilution of 1:100 (40x lens). DAPI was used to stain the cell nuclei (blue).
Immunofluorescence analysis of NIH/3T3 cells using Anti-STAT3 Antibody (A13365) at a dilution of 1:200 (40x lens). DAPI was used to stain the cell nuclei (blue).
Immunofluorescence analysis of PC-12 cells using Anti-STAT3 Antibody (A13365) at a dilution of 1:200 (40x lens). DAPI was used to stain the cell nuclei (blue).
Immunofluorescence analysis of U2OS cells using Anti-STAT3 Antibody (A13365) at a dilution of 1:200 (40x lens). DAPI was used to stain the cell nuclei (blue).