Western Blot - Anti-STAT3 (phospho Ser727) Antibody (A91363)
Western blot analysis of extracts of HeLa cells, using Anti-STAT3 (phospho Ser727) Antibody (A91363) at 1:1,000 dilution. HeLa cells were treated by UV at room temperature for 15-30 minutes. HeLa cells were treated by PMA/TPA (200 nM) at 37°C for 15 minutes after serum-starvation overnight. The secondary antibody was Goat Anti-Rabbit IgG H&L Antibody (HRP) at 1:10,000 dilution. Lysates/proteins were present at 25µg per lane. The blocking buffer used was 3% non-fat dry milk in TBST. Detection was with a ECL Basic Kit. Exposure time: 1s.
Western Blot - Anti-STAT3 (phospho Ser727) Antibody (A91363)
Western blot analysis of extracts of various cell lines, using Anti-STAT3 (phospho Ser727) Antibody (A91363) at 1:1,000 dilution. HepG2 cells and C6 cells were treated by PMA/TPA (200 nM) at 37°C for 30 minutes after serum-starvation overnight. HepG2 cells were treated by CIP(20uL/400ul) at 37°C for 1 hour. The secondary antibody was Goat Anti-Rabbit IgG H&L Antibody (HRP) at 1:10,000 dilution. Lysates/proteins were present at 25µg per lane. The blocking buffer used was 3% non-fat dry milk in TBST. Detection was with a ECL Basic Kit. Exposure time: 1s.
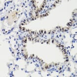
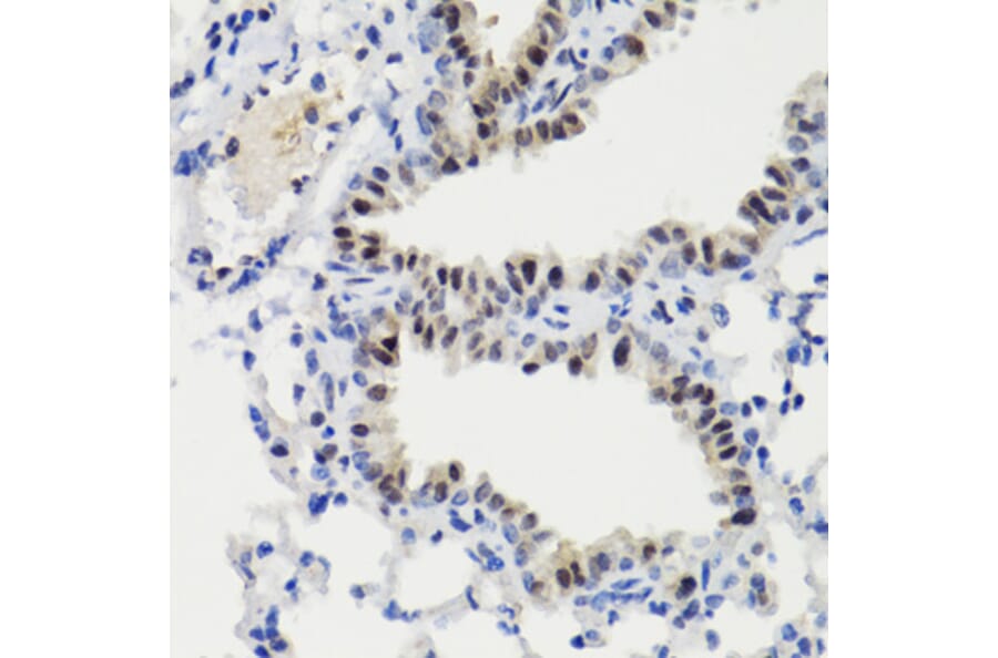
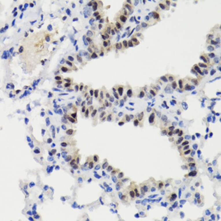
Immunohistochemistry analysis of paraffin-embedded rat lung using Anti-STAT3 (phospho Ser727) Antibody (A91363) at a dilution of 1:100 (40x lens). Perform microwave antigen retrieval with 10 mM Tris/EDTA buffer pH 9.0 before commencing with IHC staining protocol.
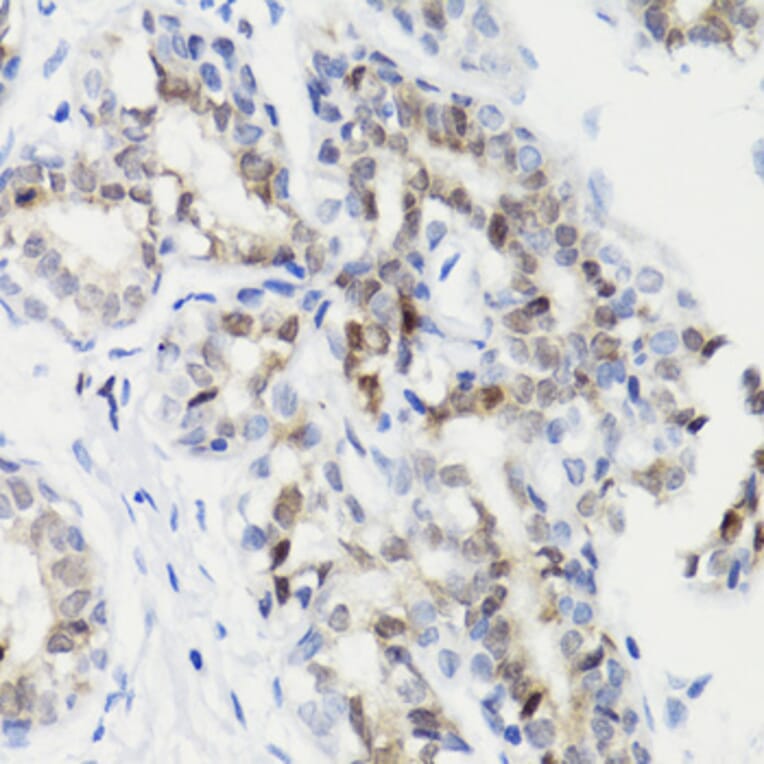
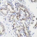
Immunohistochemistry analysis of paraffin-embedded human breast cancer tissue using Anti-STAT3 (phospho Ser727) Antibody (A91363) at a dilution of 1:100 (40x lens). Perform microwave antigen retrieval with 10 mM Tris/EDTA buffer pH 9.0 before commencing with IHC staining protocol.
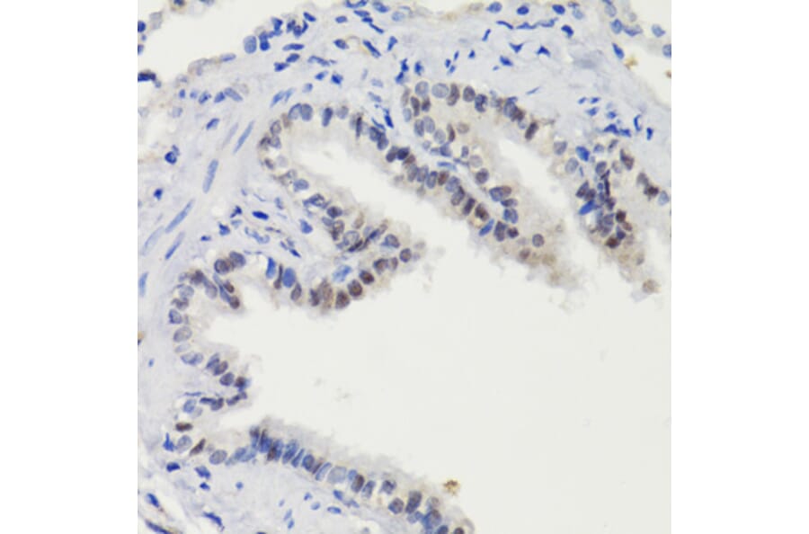
Immunohistochemistry analysis of paraffin-embedded mouse lung using Anti-STAT3 (phospho Ser727) Antibody (A91363) at a dilution of 1:100 (40x lens). Perform microwave antigen retrieval with 10 mM Tris/EDTA buffer pH 9.0 before commencing with IHC staining protocol.
Western Blot - Anti-STAT3 (phospho Ser727) Antibody (A91363)
Immunoprecipitation analysis of 200µg extracts of HeLa cells using 3µg of Anti-STAT3 (phospho Ser727) Antibody (A91363). This Western blot was performed on the immunoprecipitate using Anti-STAT3 (phospho Ser727) Antibody (A91363) at a dilution of 1:1000. HeLa cells were treated by PMA/TPA (200 nM) at 37°C for 15 minutes after serum-starvation overnight.