Western Blot - Anti-Synaptophysin Antibody (A15183)
Western blot analysis of extracts of various cell lines, using Anti-Synaptophysin Antibody (A15183) at 1:1,000 dilution. The secondary antibody was Goat Anti-Rabbit IgG H&L Antibody (HRP) at 1:10,000 dilution. Lysates/proteins were present at 25µg per lane. The blocking buffer used was 3% non-fat dry milk in TBST. Detection was with a ECL Basic Kit. Exposure time: 1s.
Immunohistochemistry analysis of paraffin-embedded human brain tissue using Anti-Synaptophysin Antibody (A15183) at a dilution of 1:200 (40x lens). Perform high pressure antigen retrieval with 10 mM citrate buffer pH 6.0 before commencing with IHC staining protocol.
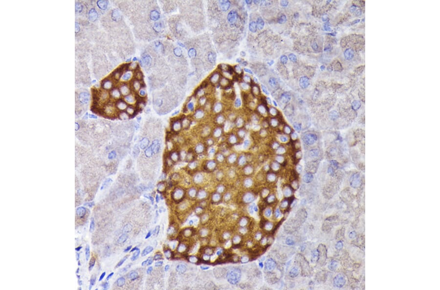
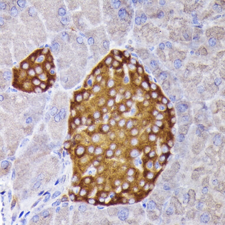
Immunohistochemistry analysis of paraffin-embedded mouse pancreatic islet using Anti-Synaptophysin Antibody (A15183) at a dilution of 1:200 (40x lens). Perform high pressure antigen retrieval with 10 mM citrate buffer pH 6.0 before commencing with IHC staining protocol.
Immunohistochemistry analysis of paraffin-embedded rat brain using Anti-Synaptophysin Antibody (A15183) at a dilution of 1:200 (40x lens). Perform high pressure antigen retrieval with 10 mM citrate buffer pH 6.0 before commencing with IHC staining protocol.
Immunofluorescence analysis of C6 cells using Anti-Synaptophysin Antibody (A15183) at a dilution of 1:100 (40x lens). DAPI was used to stain the cell nuclei (blue).
Immunofluorescence analysis of mouse retina using Anti-Synaptophysin Antibody (A15183) at a dilution of 1:100 (40x lens). DAPI was used to stain the cell nuclei (blue).
Western Blot - Anti-Synaptophysin Antibody (A15183)
Immunoprecipitation analysis of 600µg extracts of mouse brain cells using 3µg of Anti-Synaptophysin Antibody (A15183). This Western blot was performed on the immunoprecipitate using Anti-Synaptophysin Antibody (A15183) at a dilution of 1:1000.