ISO 9001:2015 Certified
Live Customer Support
4.5/5 on Trustpilot
100% Quality Guarantee

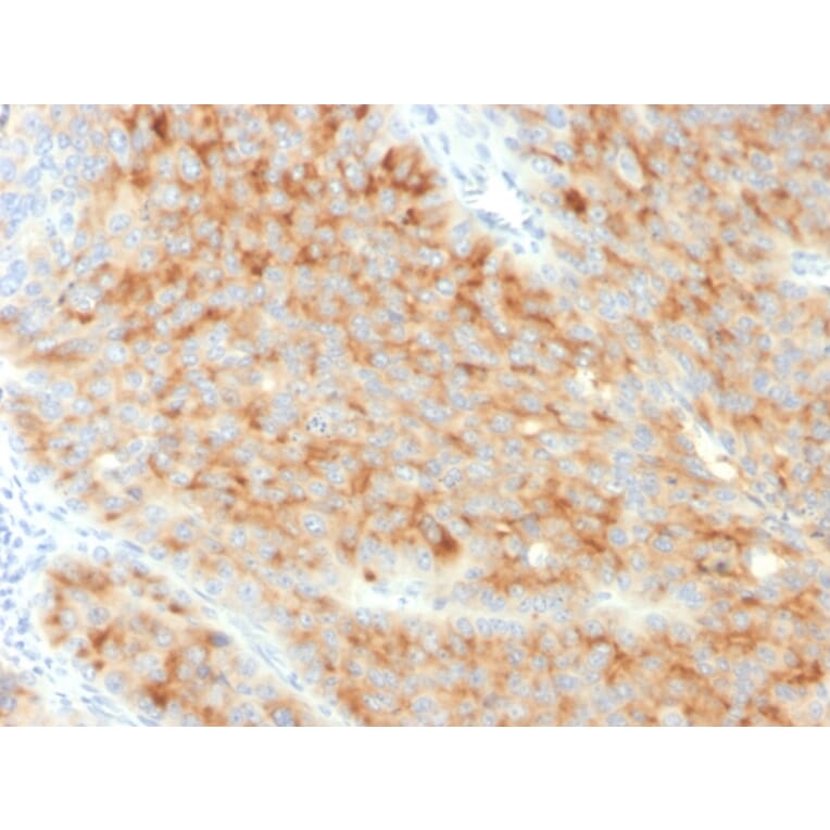
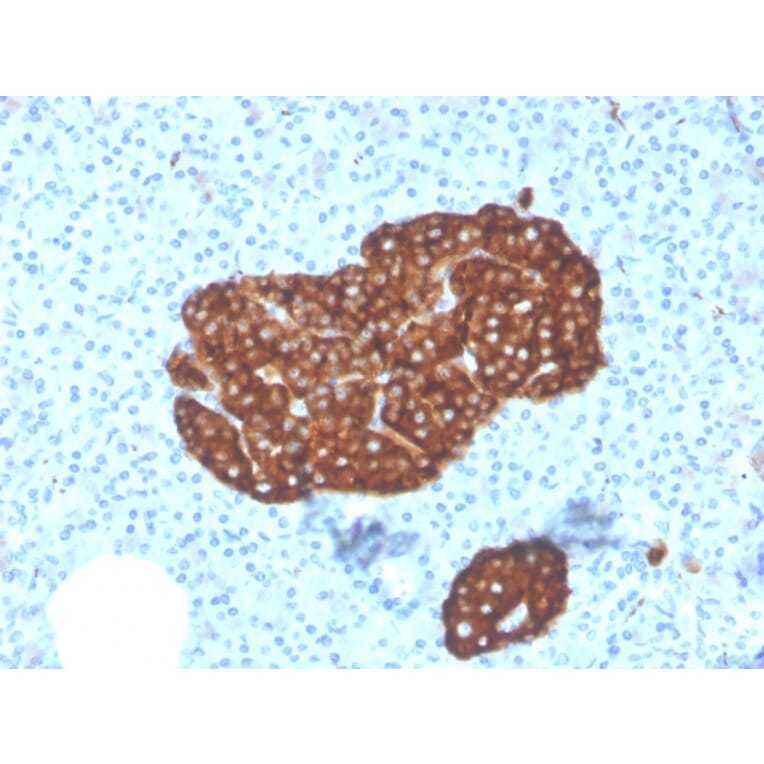
Anti-Synaptophysin Antibody [SYP/3551] - BSA and Azide free (A253251)

Mouse monoclonal [SYP/3551] antibody to Synaptophysin for IHC-P.

Alternative Formats and ConjugatesAlternative Formats

Shipping Information

$40
Dispatched from St. Louis, MO.
Lead Time: 5-8 business days.
Name
Anti-Synaptophysin Antibody [SYP/3551] - BSA and Azide free
Description
Mouse monoclonal [SYP/3551] antibody to Synaptophysin.
Specificity
This antibody recognizes a protein of 38kDa that is identified as synaptophysin. It is an N-glycosylated integral membrane protein found in neurons and endocrine cells. Synaptophysin contains four transmembrane domains and may function as a gap junction-like channel. This antibody identifies normal neuroendocrine cells and neuroendocrine neoplasms. Diffuse, finely granular, cytoplasmic staining is observed, which probably correlates with the distribution of the antigen within neurosecretory vesicles. Synaptophysin is an independent, broad-range marker of neural and neuroendocrine differentiation.
Applications
IHC-P
Dilutions
IHC-P: 1-2 µg/ml
Reactivity
Human
Immunogen
Recombinant fragment, around amino acids 224-313, of human Synaptophysin protein. The exact sequence is proprietary.
Host
Mouse
Clonality
Monoclonal
Clone ID
SYP/3551
Isotype
IgG1
Light Chains
kappa
Conjugate

Unconjugated

Purification
Protein A/G chromatography.
Concentration
1 mg/ml
Molecular Weight
38 kDa
Product Form
Liquid
Formulation
Supplied in 10mM Phosphate Buffered Saline; without Sodium Azide and carrier free.
Storage
Shipped at 4°C. Upon delivery aliquot and store at -20°C. Avoid freeze / thaw cycles.
General Notes
This monoclonal antibody is also available in a different formulation with BSA and Sodium Azide - Anti-Synaptophysin Antibody [SYP/3551] (A250071).
Synonyms
Major synaptic vesicle protein p38, SYP
Disclaimer
This product is for research use only. It is not intended for diagnostic or therapeutic use.
Publishing research using Anti-Synaptophysin Antibody [SYP/3551] - BSA and Azide free (A253251)? Please let us know so that we can list the citation on this page.

Alternative products to Anti-Synaptophysin Antibody [SYP/3551] - BSA and Azide free (A253251)

Proteins predicted to interact with Synaptophysin

Predicted protein interactions based upon String database. Revelancy score correlates with probability of interaction.
99.9% Relevancy Score
98.6% Relevancy Score
98.4% Relevancy Score
98% Relevancy Score
97.7% Relevancy Score
94.2% Relevancy Score
93.2% Relevancy Score
91.8% Relevancy Score
91.4% Relevancy Score