ISO 9001:2015 Certified
Live Customer Support
4.5/5 on Trustpilot
100% Quality Guarantee

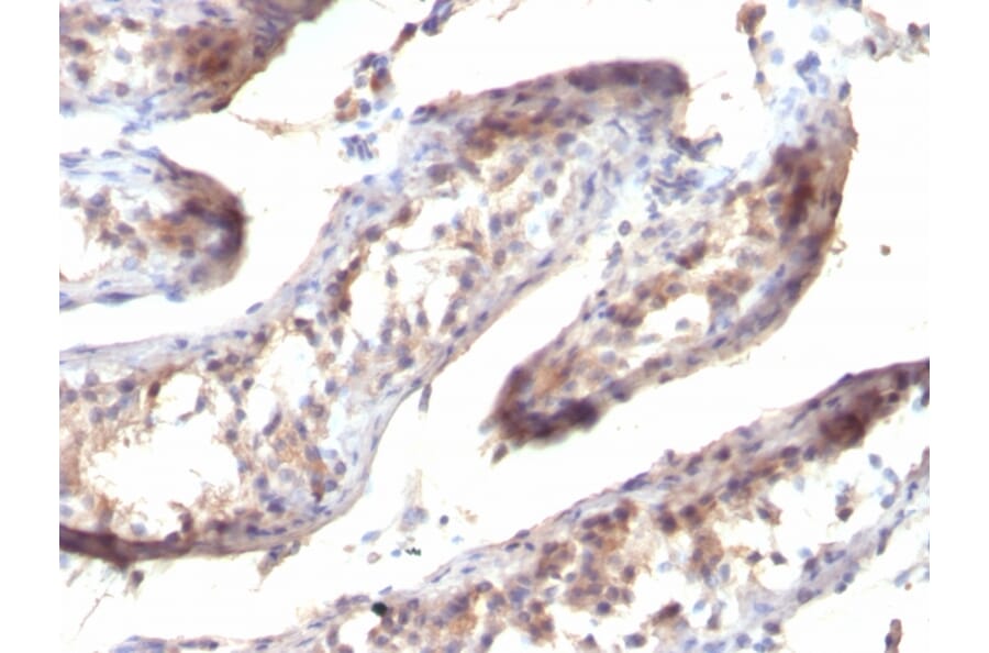
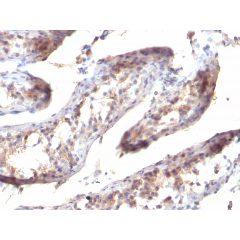
Anti-TGF alpha Antibody [SPM357] (A250115)

Mouse monoclonal [SPM357] antibody to TGF alpha for Flow Cytometry and IF.

Alternative Formats and ConjugatesAlternative Formats

Shipping Information

$40
Dispatched from St. Louis, MO.
Lead Time: 5-8 business days.
Name
Anti-TGF alpha Antibody [SPM357]
Description
Mouse monoclonal [SPM357] antibody to TGF alpha.
Specificity
This antibody reacts with the C-terminus of TGF alpha and shows no cross-reaction with EGF and the neuropeptide synenkephalin. The staining with Ab-1 is completely blocked by the peptide used for raising this antibody. TGF (aa50) is a growth factor with 33% homology to EGF, binds to EGFR, activates tyrosine phosphorylation of the receptor, and stimulates cell proliferation. It plays a role in tumor initiation by inducing the reversible transformed phenotype.
Applications
Flow Cytometry, IF
Dilutions
Flow Cytometry: 1-2 µg/million cells, IF: 1-2 µg/ml
Reactivity
Human, Bovine, Rat, Mouse
Immunogen
Synthetic peptide corresponding to 17 amino acids from the C terminal of rat TGF alpha.
Host
Mouse
Clonality
Monoclonal
Clone ID
SPM357
Isotype
IgG1
Light Chains
kappa
Conjugate

Unconjugated

Purification
Protein A/G chromatography.
Concentration
200 µg/ml
Molecular Weight
~6 kDa
Product Form
Liquid
Formulation
Supplied in 10mM Phosphate Buffered Saline with 0.05% BSA and 0.05% Sodium Azide.
Storage
Shipped at 4°C. Upon delivery aliquot and store at -20°C. Avoid freeze / thaw cycles.
General Notes
This monoclonal antibody is also available in a different formulation without BSA and Sodium Azide - Anti-TGF alpha Antibody [SPM357] - BSA and Azide free (A253295).
Synonyms
Protransforming growth factor alpha, TGFA
Disclaimer
This product is for research use only. It is not intended for diagnostic or therapeutic use.
Publishing research using Anti-TGF alpha Antibody [SPM357] (A250115)? Please let us know so that we can list the citation on this page.

Alternative products to Anti-TGF alpha Antibody [SPM357] (A250115)

Proteins predicted to interact with TGF alpha

Predicted protein interactions based upon String database. Revelancy score correlates with probability of interaction.
99.9% Relevancy Score
99.8% Relevancy Score
99.8% Relevancy Score
99.8% Relevancy Score
98.9% Relevancy Score
98% Relevancy Score
96% Relevancy Score
95.6% Relevancy Score
94.7% Relevancy Score