ISO 9001:2015 Certified
Live Customer Support
4.5/5 on Trustpilot
100% Quality Guarantee

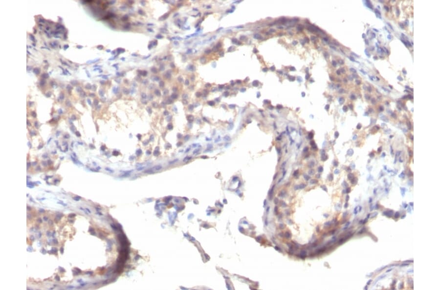
Anti-TGF alpha Antibody [TGFA/1119] - BSA and Azide free (A253299)

Mouse monoclonal [TGFA/1119] antibody to TGF alpha for IHC-P.

Alternative Formats and ConjugatesAlternative Formats

Shipping Information

$40
Dispatched from St. Louis, MO.
Lead Time: 5-8 business days.
Name
Anti-TGF alpha Antibody [TGFA/1119] - BSA and Azide free
Description
Mouse monoclonal [TGFA/1119] antibody to TGF alpha.
Specificity
This antibody reacts with the C-terminus of TGF alpha and shows no cross-reaction with EGF and the neuropeptide synenkephalin. TGF (aa50) is a growth factor with 33% homology to EGF, binds to EGFR, activates tyrosine phosphorylation of the receptor, and stimulates cell proliferation. It plays a role in tumor initiation by inducing the reversible transformed phenotype.
Applications
IHC-P
Dilutions
IHC-P: 2-4 µg/ml
Reactivity
Human
Immunogen
Recombinant full-length human TGF alpha protein.
Host
Mouse
Clonality
Monoclonal
Clone ID
TGFA/1119
Isotype
IgG1
Light Chains
kappa
Conjugate

Unconjugated

Purification
Protein A/G chromatography.
Concentration
1 mg/ml
Molecular Weight
~6 kDa
Product Form
Liquid
Formulation
Supplied in 10mM Phosphate Buffered Saline; without Sodium Azide and carrier free.
Storage
Shipped at 4°C. Upon delivery aliquot and store at -20°C. Avoid freeze / thaw cycles.
General Notes
This monoclonal antibody is also available in a different formulation with BSA and Sodium Azide - Anti-TGF alpha Antibody [TGFA/1119] (A250119).
Synonyms
Protransforming growth factor alpha, TGFA
Disclaimer
This product is for research use only. It is not intended for diagnostic or therapeutic use.
Publishing research using Anti-TGF alpha Antibody [TGFA/1119] - BSA and Azide free (A253299)? Please let us know so that we can list the citation on this page.

Alternative products to Anti-TGF alpha Antibody [TGFA/1119] - BSA and Azide free (A253299)

Proteins predicted to interact with TGF alpha

Predicted protein interactions based upon String database. Revelancy score correlates with probability of interaction.
99.9% Relevancy Score
99.8% Relevancy Score
99.8% Relevancy Score
99.8% Relevancy Score
98.9% Relevancy Score
98% Relevancy Score
96% Relevancy Score
95.6% Relevancy Score
94.7% Relevancy Score