ISO 9001:2015 Certified
Live Customer Support
4.5/5 on Trustpilot
100% Quality Guarantee

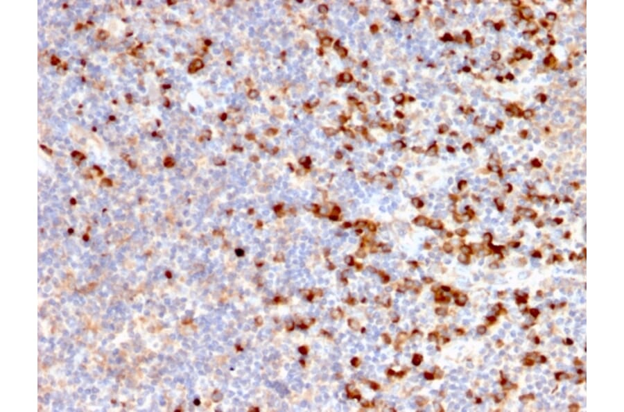
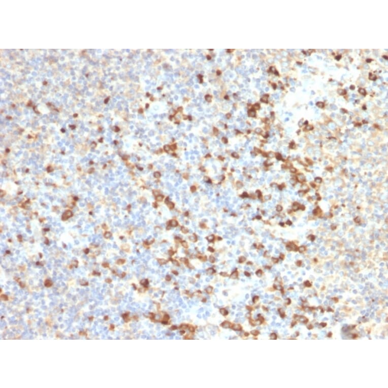
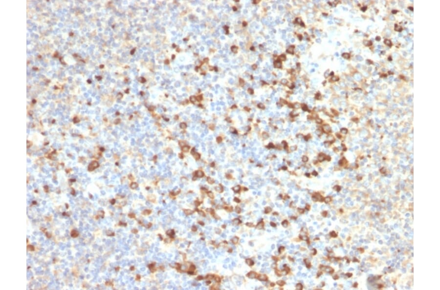
Anti-TIM3 Antibody [TIM3/2399] - BSA and Azide free (A253601)

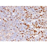
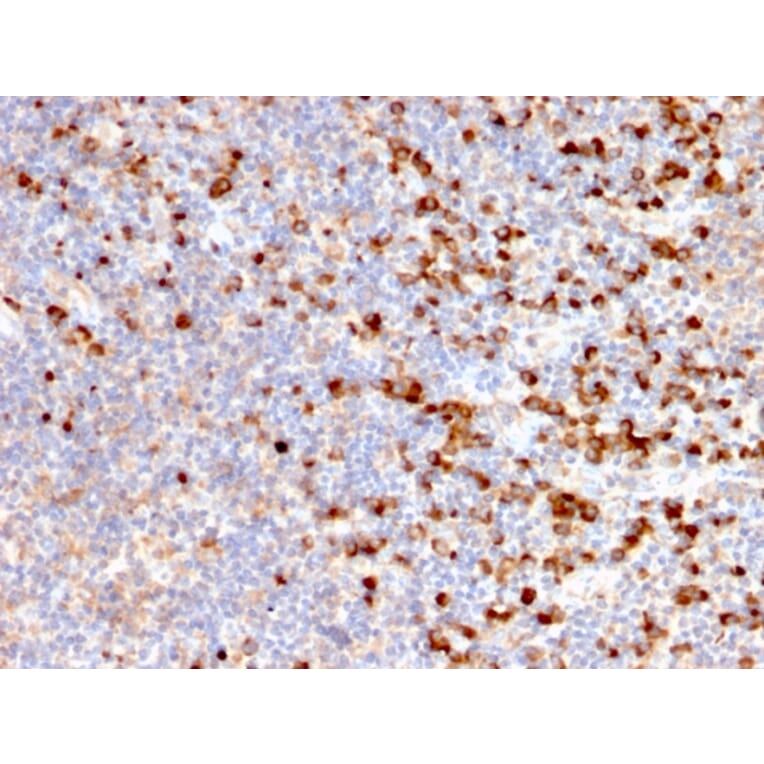
Mouse monoclonal [TIM3/2399] antibody to TIM3 for IHC-P.

Alternative Formats and ConjugatesAlternative Formats

Shipping Information

$40
Dispatched from St. Louis, MO.
Lead Time: 5-8 business days.
Name
Anti-TIM3 Antibody [TIM3/2399] - BSA and Azide free
Description
Mouse monoclonal [TIM3/2399] antibody to TIM3.
Specificity
TIMs are type I transmembrane glycoproteins with one Ig-like V-type domain and a Ser/Thr-rich mucin stalk. TIM-3 is expressed on the surface of effector T cel tonsil, lymph node or spleen. ls (CD4+Th1 and CD8+Tc1) but not on helper T cells (CD4+Th2 and CD8+Tc2). In chronic inflammation, autoimmune disorders, and some cancers, TIM-3 is upregulated on several other hematopoietic cell types. The Ig domain of TIM-3 interacts with a ligand on resting but not activated Th1 and Th2 cells. The glycosylated Ig domain of TIM-3 binds cell-associated galectin-9. This induces TIM-3 Tyr phosphorylation and pro-apoptotic signaling. TIM-3 functions as a negative regulator of Th1 cell activity. Its blockade results in increased IFN-gamma production, Th1 cell proliferation and cytotoxicity, regulatory T cell development, and increases in macrophage and neutrophil infiltration into sites of inflammation.
Applications
IHC-P
Dilutions
IHC-P: 1-2 µg/ml
Reactivity
Human
Immunogen
Recombinant fragment, around amino acids 22-202, of human TIM3 protein. The exact sequence is proprietary.
Host
Mouse
Clonality
Monoclonal
Clone ID
TIM3/2399
Isotype
IgG1
Light Chains
kappa
Conjugate

Unconjugated

Purification
Protein A/G chromatography.
Concentration
1 mg/ml
Molecular Weight
60 kDa
Product Form
Liquid
Formulation
Supplied in 10mM Phosphate Buffered Saline; without Sodium Azide and carrier free.
Storage
Shipped at 4°C. Upon delivery aliquot and store at -20°C. Avoid freeze / thaw cycles.
General Notes
This monoclonal antibody is also available in a different formulation with BSA and Sodium Azide - Anti-TIM3 Antibody [TIM3/2399] (A250421).
Synonyms
CD366, HAVcr-2, HAVCR2, Hepatitis A virus cellular receptor 2, T-cell immunoglobulin and mucin domain-containing protein 3, T-cell immunoglobulin mucin receptor 3, T-cell membrane protein 3, TIM-3, TIMD-3, TIMD3
Disclaimer
This product is for research use only. It is not intended for diagnostic or therapeutic use.
Publishing research using Anti-TIM3 Antibody [TIM3/2399] - BSA and Azide free (A253601)? Please let us know so that we can list the citation on this page.

Alternative products to Anti-TIM3 Antibody [TIM3/2399] - BSA and Azide free (A253601)

Proteins predicted to interact with TIM 3

Predicted protein interactions based upon String database. Revelancy score correlates with probability of interaction.
99.9% Relevancy Score
99.8% Relevancy Score
99.5% Relevancy Score
99.1% Relevancy Score
98.8% Relevancy Score
97.2% Relevancy Score
97.1% Relevancy Score
94.1% Relevancy Score
93.5% Relevancy Score