Unconjugated
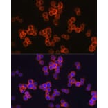
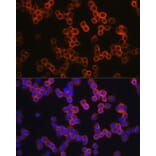
Sepsis is an exaggerated immune response resulting from systemic inflammation, which can damage tissues and organs. Acute kidney injury has been detected in at least one-third of patients with sepsis. Sepsis-associated acute kidney injury increases the risk of a secondary infection. Rapid diagnosis and appropriate initiation of antibiotics can significantly reduce mortality and morbidity. However, microorganisms are known to develop resistance to antibiotics. Estimations indicate that the annual casualties caused by microbial resistance will surpass cancer fatalities by 2050. The prevalence of bacterial infections and their growing antibiotic resistance has brought immediate attention to the search for novel treatments. Plant-derived supplements contain numerous bioactive components with therapeutic potential against a variety of conditions, including infections. Punica granatum peel is rich in phenolic compounds. The purpose of this study was to determine the anti-inflammatory and anti-bacterial properties of P. granatum peel extract (PGPE) on lipopolysaccharide (LPS)-induced acute kidney injury. Experimental groups were Control, LPS (10 mg/kg LPS, intraperitoneally), PGPE100, and PGPE300 (100 and 300 mg/mL PGPE via oral gavage, respectively, for 7 days). According to biochemical results, serum blood urea nitrogen (BUN), creatinine (Cr) and C-reactive protein (CRP), kidney tissue thiobarbituric acid reactive substances (TBARS), and reduced glutathione (GSH) levels significantly decreased in the PGPE groups compared to the LPS group. Histopathological and immunohistochemical findings revealed that toll-like receptor 4 (TLR4) level and nuclear factor kappa B (NF-?B) expression increased in the LPS group compared to the Control group. In addition, the anti-Gram-negative activity showed a dose-dependent effect on Acinetobacter baumannii, Escherichia coli, and Pseudomonas aeruginosa with the agar well diffusion method and the minimal inhibitory concentration (MIC). The MIC value was remarkable, especially on A. baumannii. We conclude that PGPE has the potential to generate desirable anti-bacterial and anti-inflammatory effects on LPS-induced acute kidney injury in rats.