Western blot analysis of human HeLa showing detection of ~75-80kDa TLR4 protein using Anti-TLR4 Antibody (A304918) at 1:1,000 for 1 hour at room temperature. Lane 1: Molecular Weight Ladder. Lane 2: human HeLa. Load: 10 µg. Block: 5% Skim Milk in 1X TBST. The secondary antibody used was Goat Anti-Rabbit IgG: HRP at 1:4,000 for 1 hour at room temperature. Predicted/Observed Size: ~75-80kDa. Other Band(s): ~60kDa (observed degradation bands (PMID: 16885150).
Western blot analysis of mouse brain showing detection of ~75-80kDa TLR4 protein using Anti-TLR4 Antibody (A304918) at 1:1,000 for 1 hour at room temperature. Lane 1: Molecular Weight Ladder. Lane 2: mouse Brain. Load: 15 µg. Block: 5% Skim Milk in 1X TBST. The secondary antibody used was Goat Anti-Rabbit IgG: HRP at 1:4,000 for 1 hour at room temperature. Predicted/Observed Size: ~75-80kDa. Other Band(s): ~130kDa (TLR4+MD-2).
Flow cytometry analysis of human monocytic Leukemia cells (THP-1), fixed in 2% Formaldehyde for 10 min at room temperature, using Anti-TLR4 Antibody (A304918) at 2 µg/106 cells for 60 minutes at 37°C. The secondary antibody used was Goat Anti-Rabbit Dylight 488 at 1:200 for 40 min at 37°C
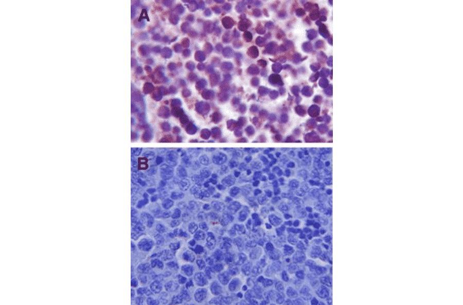
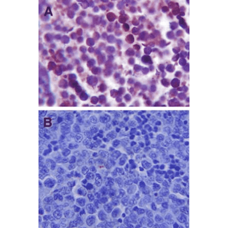
Immunohistochemistry analysis of mouse colon colitis, fixed in formalin. The Primary Antibody used was Anti-TLR4 Antibody (A304918) at 1:100,000 for 12 hours at 4°C. The secondary antibody used was Biotin Goat Anti-Rabbit at 1:2000 for 1 hour at room temperature. Counterstain: Methyl Green at 200uL for 2 min at room temperature. Localization: Inflammatory cells.
Recombinant humanized monoclonal antibody to TLR4 for use as a research grade Paridiprubart biosimil for ELISA, Flow Cytometry, Functional Studies and in vivo Research.
Recombinant humanized monoclonal antibody to TLR4 for use as a research grade Paridiprubart biosimil for ELISA, Flow Cytometry, Functional Studies and in vivo Research.