ISO 9001:2015 Certified
Live Customer Support
4.5/5 on Trustpilot
100% Quality Guarantee

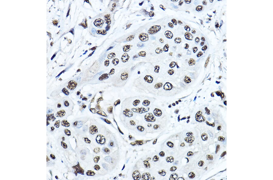
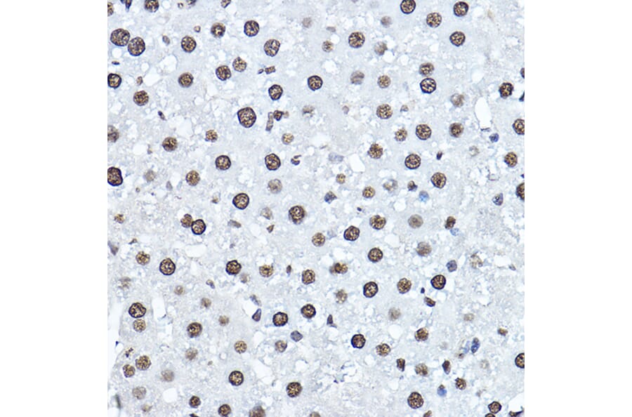
Anti-Twist Antibody (A14821)

This product is discontinued

Anti-Twist Antibody (A14821) has been discontinued and is no longer available.

View all Twist Antibodies.

Name
Anti-Twist Antibody
Description
Rabbit polyclonal antibody to Twist.
Applications
IHC
Dilutions
IHC: 1:50-1:200
Reactivity
Human, Mouse, Rat
Immunogen
A synthetic peptide corresponding to a sequence within amino acids 50-150 of human Twist (NP_000465.1).
Sequence
AGPGGAAGGGVGGGDEPGSPAQGKRGKKSAGCGGGGGAGGGGGSSSGGGSPQSYEELQTQRVMANVRERQRTQSLNEAFAALRKIIPTLPSDKLSKIQTLK
Host
Rabbit
Clonality
Polyclonal
Isotype
IgG
Conjugate

Unconjugated

Purification
Affinity purification.
Molecular Weight
30 kDa
Product Form
Liquid
Formulation
Supplied in Phosphate Buffered Saline, pH 7.3, with 50% Glycerol and 0.01% Thiomersal.
Storage
Shipped at 4°C. Upon delivery aliquot and store at -20°C. Avoid freeze / thaw cycles.
Synonyms
BHLHA38, Class A basic helix-loop-helix protein 38, H-twist, Twist-related protein 1
Disclaimer
This product is for research use only. It is not intended for diagnostic or therapeutic use.

Alternative products to Anti-Twist Antibody (A14821)

Proteins predicted to interact with TWIST1

Predicted protein interactions based upon String database. Revelancy score correlates with probability of interaction.
97.2% Relevancy Score
96.7% Relevancy Score
96% Relevancy Score
95.9% Relevancy Score
95.2% Relevancy Score
93.9% Relevancy Score
93.2% Relevancy Score
90.1% Relevancy Score
90.1% Relevancy Score