Immunofluorescence analysis of HeLa cells co-stained with Anti-Vimentin Antibody, at a dilution of 1:5,000, in green, and Anti-Actin Antibody (A85388 | 1:500, in red. Blue is DAPI staining of nuclear DNA. The Anti-Vimentin Antibody stains the 10nm or intermediate filament network of the cytoskeleton. The Anti-Actin Antibody labels the submembranous actin-rich cytoskeleton, stress fibers, and bundles of actin associated with cell adhesion sites.
Western blot analysis of whole cell lysates using Anti-Vimentin Antibody, at a dilution of 1:5000, in green,: [Lane 1] protein standard (red), [Lane 2] HeLa, [Lane 3] SH-SY5Y, [Lane 4] HEK293, [Lane 5] NIH 3T3 cells. Strong band corresponds to vimentin protein with apparent SDS-PAGE molecular weight of 54 kDa.
Immunofluorescent analysis of mixed fibroblast and PC12 pheochromocytoma cell culture stained with Anti-Peripherin Antibody (A85435) at a dilution of 1:5,000 (green) and costained with Anti-Vimentin Antibody (A85420) at a dilution of 1:2,000, (red). Nuclei were stained with DAPI (blue). Anti-Peripherin Antibody (A85435) reveals cytoplasmic filamentous staining in the small PC12 cells, while vimentin antibody stains intermediate filaments in the surrounding fibroblastic cells which do not express peripherin.
Immunofluorescent analysis of HEK293 cells transfected with pCI-Neo-Mod vector including DNA encoding the Cas-Phi protein, stained with Anti-CRISPR-Cas12j Antibody [5F95] (A270595), at a dilution of 1:2,000, in red, and co-stained with Anti-Vimentin Antibody (A85420), at a dilution of 1:2,000, in green. The blue is Hoechst staining of nuclear DNA. Anti-CRISPR-Cas12j Antibody [5F95] (A270595) reveals expression of the Cas-phi protein only in transfected cells, while Anti-Vimentin Antibody (A85420) stains the cytoskeletal intermediate filament network in all cells.
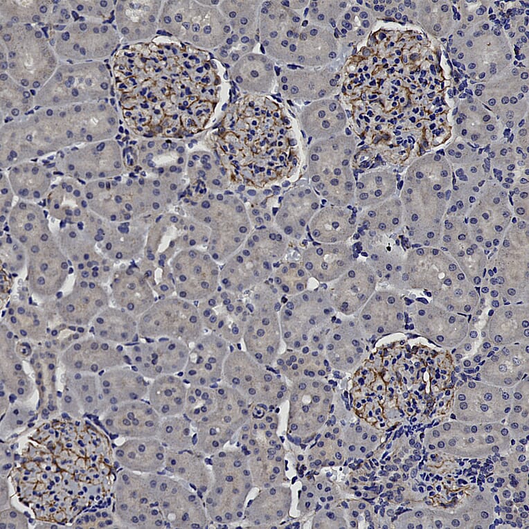
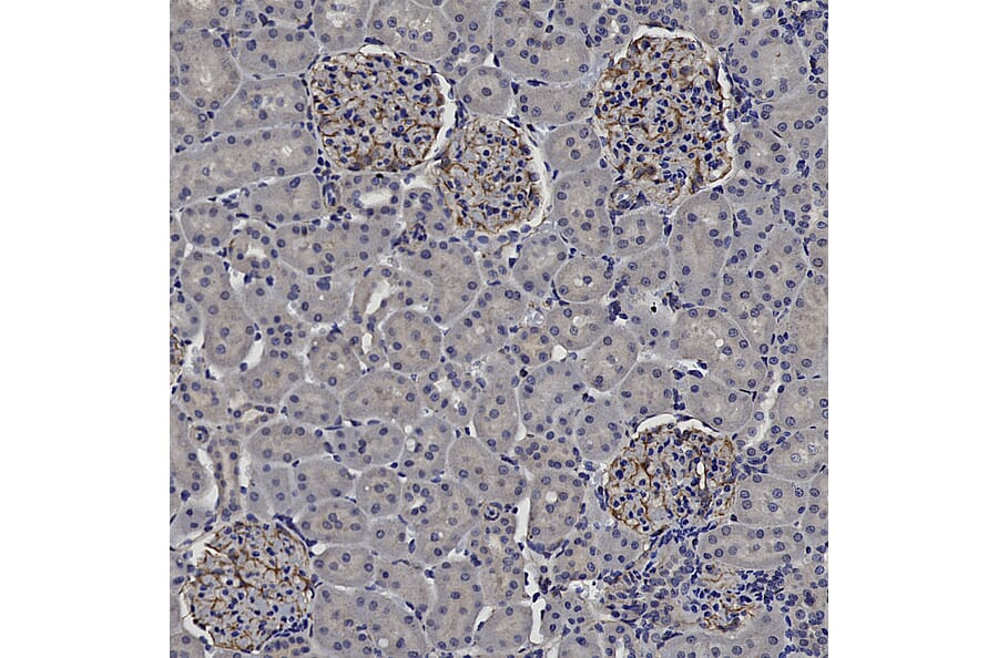
Immunohistochemistry analysis of a 4% PFA fixed paraffin embedded mouse kidney section with Anti-Vimentin Antibody (A85420) at a dilution of 1:1,000 detected with DAB (brown) using the Vector Labs ImmPRESS method and reagents with Borg buffer retrieval. Counterstained with Hematoxylin (blue). Anti-Vimentin Antibody (A85420) specifically labels the interstitium in glomerular podocytes. Note: this antibody performs well in testing with both 4% PFA and standard NBF fixed tissues with high pH, EDTA based retrieval.