ISO 9001:2015 Certified
Live Customer Support
4.5/5 on Trustpilot
100% Quality Guarantee

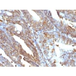
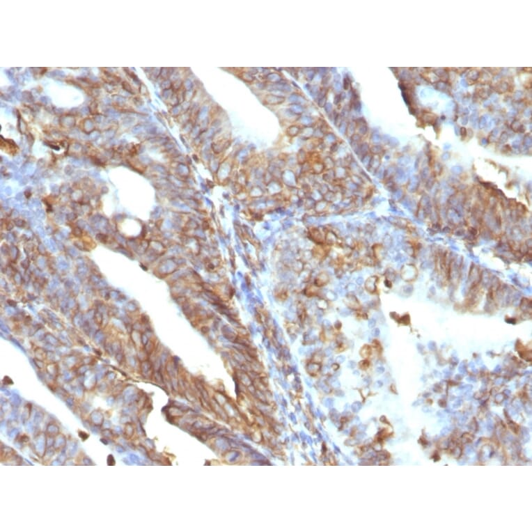
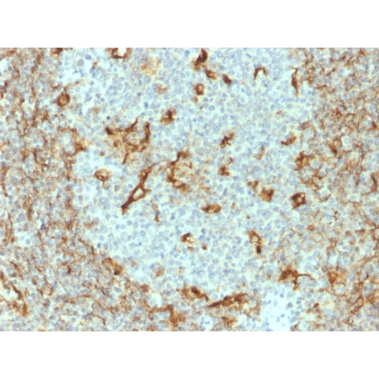
Anti-Vimentin Antibody [V9] - BSA and Azide free (A253490)

Mouse monoclonal [V9] antibody to Vimentin for Flow Cytometry, IF, WB and IHC-P.

Alternative Formats and ConjugatesAlternative Formats

Shipping Information

$40
Dispatched from St. Louis, MO.
Lead Time: 5-8 business days.
Name
Anti-Vimentin Antibody [V9] - BSA and Azide free
Description
Mouse monoclonal [V9] antibody to Vimentin.
Specificity
This antibody reacts with a 58kDa protein identified as vimentin. It shows no cross-reaction with other closely related intermediate filament proteins (IFP however, when used in panels with other antibodies, it is useful for the sub-classification of a given tumor. Expression of vimentin, when used in conjunction with anti-keratin, is helpful when distinguishing melanomas from undifferentiated carcinomas and large cell lymphomas. All melanomas and Schwannomas react strongly with anti-vimentin. It labels a variety of mesenchymal cells, including melanocytes, lymphocytes, endothelial cells, and fibroblasts. Non-reactivity of anti-vimentin is often considered more useful than its positive reactivity, since there are a few tumors that do not contain vimentin, e.g. hepatoma and seminoma. Anti-vimentin is also useful as a tissue process control reagent.
Applications
Flow Cytometry, IF, WB, IHC-P
Dilutions
Flow Cytometry: 1-2 µg/million cells, IF: 1-2 µg/ml, WB: 1-2 µg/ml, IHC-P: 1-2 µg/ml
Reactivity
Human, Rat, Horse, Chicken, Bovine, Feline, Canine, Porcine
Cross Reactivity
This antibody does not cross react with Mouse.
Immunogen
Porcine lens.
Host
Mouse
Clonality
Monoclonal
Clone ID
V9
Isotype
IgG1
Light Chains
kappa
Conjugate

Unconjugated

Purification
Protein A/G chromatography.
Concentration
1 mg/ml
Molecular Weight
57-60 kDa
Product Form
Liquid
Formulation
Supplied in 10mM Phosphate Buffered Saline; without Sodium Azide and carrier free.
Storage
Shipped at 4°C. Upon delivery aliquot and store at -20°C. Avoid freeze / thaw cycles.
General Notes
This monoclonal antibody is also available in a different formulation with BSA and Sodium Azide - Anti-Vimentin Antibody [V9] (A250310).
Synonyms
VIM
Disclaimer
This product is for research use only. It is not intended for diagnostic or therapeutic use.
Publishing research using Anti-Vimentin Antibody [V9] - BSA and Azide free (A253490)? Please let us know so that we can list the citation on this page.

Most popular Anti-Vimentin Antibodies

Alternative products to Anti-Vimentin Antibody [V9] - BSA and Azide free (A253490)

Proteins predicted to interact with Vimentin

Predicted protein interactions based upon String database. Revelancy score correlates with probability of interaction.
95.7% Relevancy Score
93.4% Relevancy Score
93.2% Relevancy Score
92.7% Relevancy Score
92.3% Relevancy Score
91.6% Relevancy Score
90.8% Relevancy Score
90% Relevancy Score
89.9% Relevancy Score