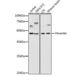
Western Blot - Anti-Vimentin Antibody [ARC0086] (A305554)
Western blot analysis of extracts of various cell lines, using Anti-Vimentin Antibody [ARC0086] (A305554) at 1:1,000 dilution. The secondary antibody was Goat Anti-Rabbit IgG H&L Antibody (HRP) at 1:10,000 dilution. Lysates/proteins were present at 25µg per lane. The blocking buffer used was 3% non-fat dry milk in TBST. Detection was with a ECL Basic Kit. Exposure time: 1s.
Western Blot - Anti-Vimentin Antibody [ARC0086] (A305554)
Western blot analysis of extracts from wild type (WT) and Vimentin knockout (KO) 293T cells, using Anti-Vimentin Antibody [ARC0086] (A305554) at 1:1,000 dilution. The secondary antibody was Goat Anti-Rabbit IgG H&L Antibody (HRP) at 1:10,000 dilution. Lysates/proteins were present at 25µg per lane. The blocking buffer used was 3% non-fat dry milk in TBST. Detection was with a ECL Basic Kit. Exposure time: 1s.
Immunohistochemistry analysis of paraffin-embedded human liver using Anti-Vimentin Antibody [ARC0086] (A305554) at a dilution of 1:50(40x lens). Perform microwave antigen retrieval with 10 mM PBS buffer pH 7.2 before commencing with IHC staining protocol.
Immunohistochemistry analysis of paraffin-embedded human colon carcinoma tissue using Anti-Vimentin Antibody [ARC0086] (A305554) at a dilution of 1:50(40x lens). Perform microwave antigen retrieval with 10 mM PBS buffer pH 7.2 before commencing with IHC staining protocol.
Immunohistochemistry analysis of paraffin-embedded human kidney using Anti-Vimentin Antibody [ARC0086] (A305554) at a dilution of 1:50(40x lens). Perform microwave antigen retrieval with 10 mM PBS buffer pH 7.2 before commencing with IHC staining protocol.
Confocal immunofluorescence analysis of U-2 OS cells using Anti-KRR1 Antibody at a dilution of 1:100 (40x lens) (red) and Anti-Vimentin Antibody [ARC0086] (A305554) for cytoskeleton staining (green). DAPI was used to stain the cell nuclei (blue).
Confocal imaging of HeLa cells using Anti-Vimentin Antibody [ARC0086] (A305554), at a dilution of 1:100 (green), and Anti-Aurora B Antibody, at a dilution of 1:800 (red). DAPI was used for nuclear staining (Blue). Objective: 60x.
Western Blot - Anti-Vimentin Antibody [ARC0086] (A305554)
Immunoprecipitation analysis of 300µg extracts of Jurkat cells using 3µg of Anti-Vimentin Antibody [ARC0086] (A305554). This Western blot was performed on the immunoprecipitate using Anti-Vimentin Antibody [ARC0086] (A305554) at a dilution of 1:1000.