Supplied in Phosphate Buffered Saline, pH 7.3, with 50% Glycerol, 0.05% BSA, and 0.02% Sodium Azide.
Storage
Shipped at 4°C. Upon delivery aliquot and store at -20°C. Avoid freeze/thaw cycles.
Synonyms
CBF-A, CCAAT-binding transcription factor I subunit A, DBPB, DNA-binding protein B, EFI-A, Enhancer factor I subunit A, NSEP1, Nuclease-sensitive element-binding protein 1, Y-box transcription factor, Y-box-binding protein 1, YB-1, YBX1
Western Blot - Anti-YB1 Antibody [ARC0797] (A305945)
Western blot analysis of extracts of HeLa cells, using Anti-YB1 Antibody [ARC0797] (A305945) at 1:1,000 dilution. The secondary antibody was Goat Anti-Rabbit IgG H&L Antibody (HRP) at 1:10,000 dilution. Lysates/proteins were present at 25µg per lane. The blocking buffer used was 3% non-fat dry milk in TBST. Detection was with a ECL Basic Kit. Exposure time: 1s.
Western Blot - Anti-YB1 Antibody [ARC0797] (A305945)
Western blot analysis of extracts of various cell lines, using Anti-YB1 Antibody [ARC0797] (A305945) at 1:1,000 dilution. The secondary antibody was Goat Anti-Rabbit IgG H&L Antibody (HRP) at 1:10,000 dilution. Lysates/proteins were present at 25µg per lane. The blocking buffer used was 3% non-fat dry milk in TBST. Detection was with a ECL Basic Kit. Exposure time: 10s.
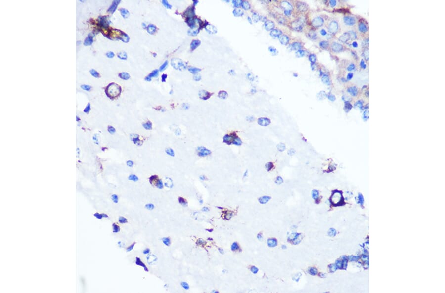
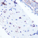
Immunohistochemistry analysis of paraffin-embedded rat brain using Anti-YB1 Antibody [ARC0797] (A305945) at a dilution of 1:100 (40x lens). Perform microwave antigen retrieval with 10 mM PBS buffer pH 7.2 before commencing with IHC staining protocol.
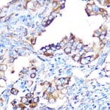
Immunohistochemistry analysis of paraffin-embedded human oophoroma using Anti-YB1 Antibody [ARC0797] (A305945) at a dilution of 1:100 (40x lens). Perform microwave antigen retrieval with 10 mM PBS buffer pH 7.2 before commencing with IHC staining protocol.
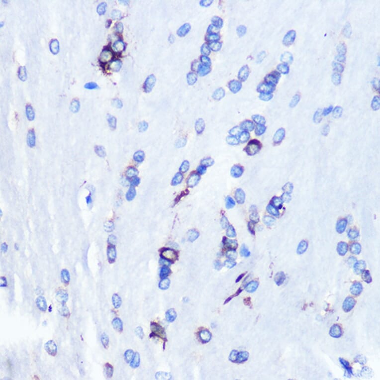
Immunohistochemistry analysis of paraffin-embedded mouse brain using Anti-YB1 Antibody [ARC0797] (A305945) at a dilution of 1:100 (40x lens). Perform microwave antigen retrieval with 10 mM PBS buffer pH 7.2 before commencing with IHC staining protocol.
Immunofluorescence analysis of C6 cells using Anti-YB1 Antibody [ARC0797] (A305945) at a dilution of 1:100 (40x lens). DAPI was used to stain the cell nuclei (blue).
Immunofluorescence analysis of NIH-3T3 cells using Anti-YB1 Antibody [ARC0797] (A305945) at a dilution of 1:100 (40x lens). DAPI was used to stain the cell nuclei (blue).
Immunofluorescence analysis of U-2 OS cells using Anti-YB1 Antibody [ARC0797] (A305945) at a dilution of 1:100 (40x lens). DAPI was used to stain the cell nuclei (blue).
Western Blot - Anti-YB1 Antibody [ARC0797] (A305945)
Immunoprecipitation analysis of 300µg extracts of HeLa cells using 3µg of Anti-YB1 Antibody [ARC0797] (A305945). This Western blot was performed on the immunoprecipitate using Anti-YB1 Antibody [ARC0797] (A305945) at a dilution of 1:1000.
Chromatin immunoprecipitation (ChIP) analysis of extracts of MCF7 cells, using Anti-YB1 Antibody [ARC0797] (A305945) and Rabbit IgG. The amount of immunoprecipitated DNA was checked by quantitative PCR. Histogram was constructed by the ratios of the immunoprecipitated DNA to the input.