Anti-YB1 Antibody [YBX1/2430] - BSA and Azide free
Description
Mouse monoclonal [YBX1/2430] antibody to YB1.
Specificity
The specificity of this monoclonal antibody to its intended target was validated by HuProtTM Array, containing more than 19,000 full-length human proteins. Y-box binding protein-1 (YBX1) is the prototypic member of the cold shock protein family that fulfills numerous cellular functions. In the nucleus, YBX1 protein orchestrates transcription of proliferation-related genes, whereas in the cytoplasm it associates with mRNA and directs translation. In human tumor entities, such as breast, lung and prostate cancer, cellular YBX1 expression indicates poor clinical outcome, suggesting that YBX1 is an attractive marker to predict patients' prognosis.
Applications
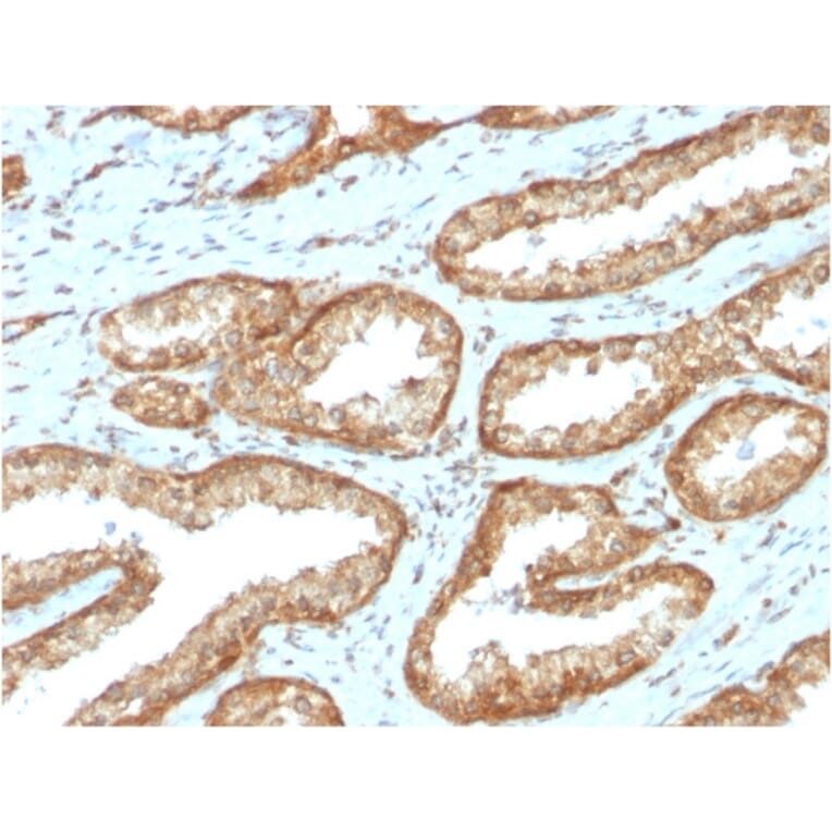
IHC-P
Dilutions
IHC-P: 1-2 µg/ml
Reactivity
Human
Immunogen
Recombinant full-length human YBX1 protein.
Host
Mouse
Clonality
Monoclonal
Clone ID
YBX1/2430
Isotype
IgG2b
Light Chains
kappa
Conjugate
Unconjugated
Purification
Protein A/G chromatography.
Concentration
1 mg/ml
Molecular Weight
36 kDa
Product Form
Liquid
Formulation
Supplied in 10mM Phosphate Buffered Saline; without Sodium Azide and carrier free.
Storage
Shipped at 4°C. Upon delivery aliquot and store at -20°C. Avoid freeze / thaw cycles.
CBF-A, CCAAT-binding transcription factor I subunit A, DBPB, DNA-binding protein B, EFI-A, Enhancer factor I subunit A, NSEP1, Nuclease-sensitive element-binding protein 1, Y-box transcription factor, Y-box-binding protein 1, YB-1, YBX1
SDS-PAGE analysis of Anti-YB1 Antibody [YBX1/2430] under non-reduced and reduced conditions; showing intact IgG and intact heavy and light chains, respectively. SDS-PAGE analysis confirms the integrity and purity of the antibody.
Anti-YB1 Antibody [YBX1/2430] - BSA and Azide free (A252714)
Analysis of protein array containing more than 19,000 full-length human proteins using Anti-YB1 Antibody [YBX1/2430]. Z-Score and S- Score: The Z-score represents the strength of a signal that a monoclonal antibody (MAb) (in combination with a fluorescently-tagged anti-IgG secondary antibody) produces when binding to a particular protein on the HuProtTM array. Z-scores are described in units of standard deviations (SD's) above the mean value of all signals generated on that array. If targets on HuProtTM are arranged in descending order of the Z-score, the S-score is the difference (also in units of SD's) between the Z-score. S-score therefore represents the relative target specificity of a MAb to its intended target; a MAb is considered to be specific to its intended target, if the MAb has an S-score of at least 2.5. For example, if a MAb binds to protein X with a Z-score of 43 and to protein Y with a Z-score of 14, then the S-score for the binding of that MAb to protein X is equal to 29.
Publishing research using Anti-YB1 Antibody [YBX1/2430] - BSA and Azide free (A252714)? Please let us know so that we can list the citation on this page.
Alternative products to Anti-YB1 Antibody [YBX1/2430] - BSA and Azide free (A252714)