ISO 9001:2015 Certified
Live Customer Support
4.5/5 on Trustpilot
100% Quality Guarantee

Recombinant Anti-YB1 Antibody [rYBX1/2430] - BSA and Azide free (A252715)

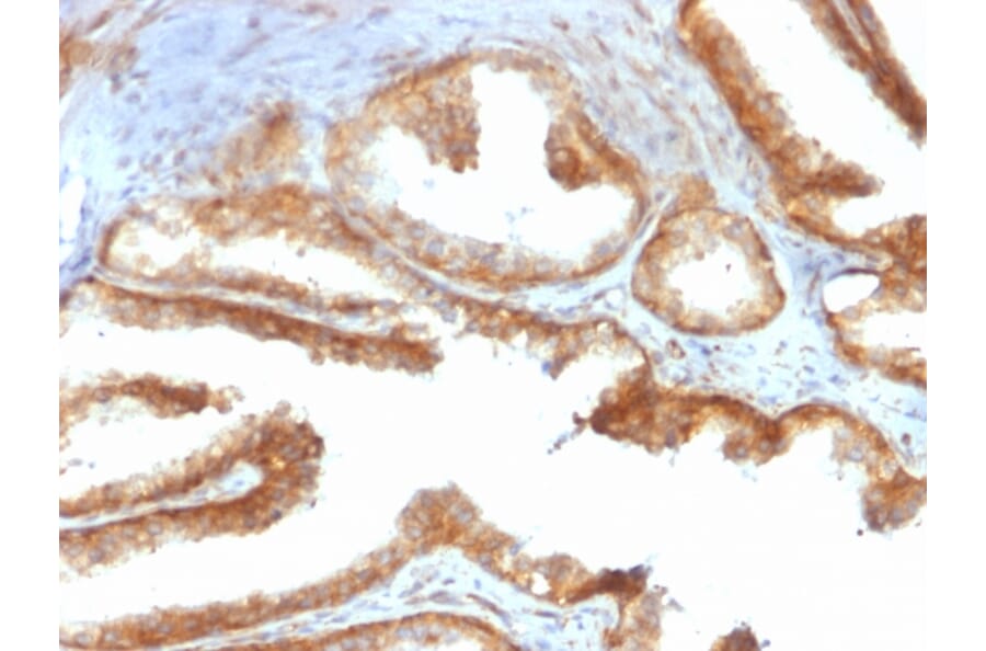
Recombinant mouse monoclonal [rYBX1/2430] antibody to YB1 for IHC-P.

Alternative Formats and ConjugatesAlternative Formats

Shipping Information

$40
Dispatched from St. Louis, MO.
Lead Time: 5-8 business days.
Name
Anti-YB1 Antibody [rYBX1/2430] - BSA and Azide free
Description
Recombinant mouse monoclonal [rYBX1/2430] antibody to YB1.
Specificity
The specificity of this monoclonal antibody to its intended target was validated by HuProtTM Array, containing more than 19,000 full-length human proteins. Y-box binding protein-1 (YBX1) is the prototypic member of the cold shock protein family that fulfills numerous cellular functions. In the nucleus, YBX1 protein orchestrates transcription of proliferation-related genes, whereas in the cytoplasm it associates with mRNA and directs translation. In human tumor entities, such as breast, lung and prostate cancer, cellular YBX1 expression indicates poor clinical outcome, suggesting that YBX1 is an attractive marker to predict patients prognosis.
Applications
IHC-P
Dilutions
IHC-P: 1-2 µg/ml
Reactivity
Human
Immunogen
Recombinant full-length human YBX1 protein.
Host
Mouse
Clonality
Monoclonal
Clone ID
rYBX1/2430
Isotype
IgG1
Light Chains
kappa
Conjugate

Unconjugated

Purification
Protein A/G chromatography.
Concentration
1 mg/ml
Molecular Weight
36 kDa
Product Form
Liquid
Formulation
Supplied in 10mM Phosphate Buffered Saline; without Sodium Azide and carrier free.
Storage
Shipped at 4°C. Upon delivery aliquot and store at -20°C. Avoid freeze / thaw cycles.
General Notes
This monoclonal antibody is also available in a different formulation with BSA and Sodium Azide - Anti-YB1 Antibody [rYBX1/2430] (A249535).
Synonyms
CBF-A, CCAAT-binding transcription factor I subunit A, DBPB, DNA-binding protein B, EFI-A, Enhancer factor I subunit A, NSEP1, Nuclease-sensitive element-binding protein 1, Y-box transcription factor, Y-box-binding protein 1, YB-1, YBX1
Disclaimer
This product is for research use only. It is not intended for diagnostic or therapeutic use.
Publishing research using Recombinant Anti-YB1 Antibody [rYBX1/2430] - BSA and Azide free (A252715)? Please let us know so that we can list the citation on this page.

Alternative products to Anti-YB1 Antibody [rYBX1/2430] - BSA and Azide free (A252715)

Proteins predicted to interact with YB1

Predicted protein interactions based upon String database. Revelancy score correlates with probability of interaction.
99.8% Relevancy Score
99.8% Relevancy Score
99.4% Relevancy Score
99.3% Relevancy Score
98.9% Relevancy Score
98.5% Relevancy Score
97.8% Relevancy Score
97.5% Relevancy Score
94.7% Relevancy Score