ISO 9001:2015 Certified
Live Customer Support
4.5/5 on Trustpilot
100% Quality Guarantee

Anti-BrdU Antibody [BU20a] - BSA and Azide free (A254138)

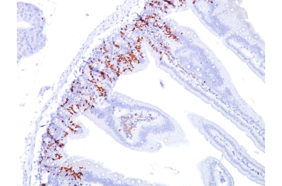
Mouse monoclonal [BU20a] antibody to BrdU for Flow Cytometry, IF and IHC-P.

Alternative Formats and ConjugatesAlternative Formats

Shipping Information

$40
Dispatched from St. Louis, MO.
Lead Time: 5-8 business days.
Name
Anti-BrdU Antibody [BU20a] - BSA and Azide free
Description
Mouse monoclonal [BU20a] antibody to BrdU.
Specificity
This antibody reacts with Bromodeoxyuridine in single stranded DNA (produced by partial denaturation of double stranded DNA), BrdU coupled to a protein carrier, as well as free BrdU. This antibody is helpful in detecting S-phase cells, providing useful information on the aggressiveness of tumors.
Applications
Flow Cytometry, IF, IHC-P
Dilutions
Flow Cytometry: 1-2 µg/million cells, IF: 1-2 µg/ml, IHC-P: 1-2 µg/ml
Immunogen
Bromodeoxyuridine conjugated to KLH.
Host
Mouse
Clonality
Monoclonal
Clone ID
BU20a
Isotype
IgG1
Light Chains
kappa
Conjugate

Unconjugated

Purification
Protein A/G chromatography.
Concentration
1 mg/ml
Product Form
Liquid
Formulation
Supplied in 10mM Phosphate Buffered Saline; without Sodium Azide and carrier free.
Storage
Shipped at 4°C. Upon delivery aliquot and store at -20°C. Avoid freeze / thaw cycles.
General Notes
This monoclonal antibody is also available in a different formulation with BSA and Sodium Azide - Anti-BrdU Antibody [BU20a] (A250958).
Disclaimer
This product is for research use only. It is not intended for diagnostic or therapeutic use.
Publishing research using Anti-BrdU Antibody [BU20a] - BSA and Azide free (A254138)? Please let us know so that we can list the citation on this page.

Most popular Anti-BrdU Antibodies

Alternative products to Anti-BrdU Antibody [BU20a] - BSA and Azide free (A254138)