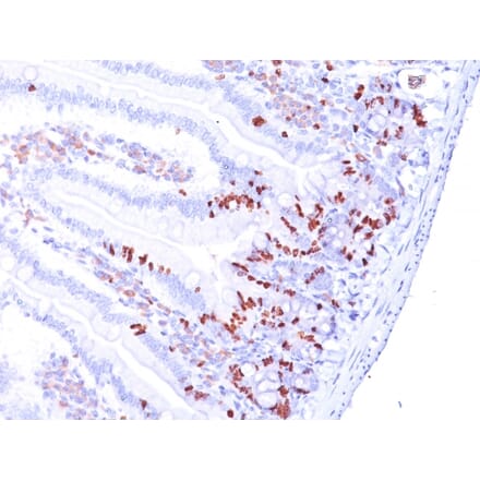
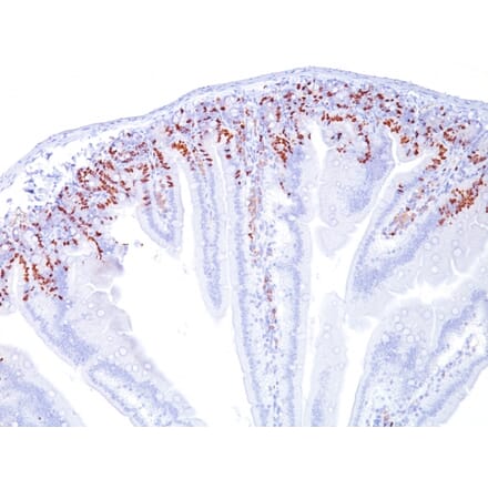
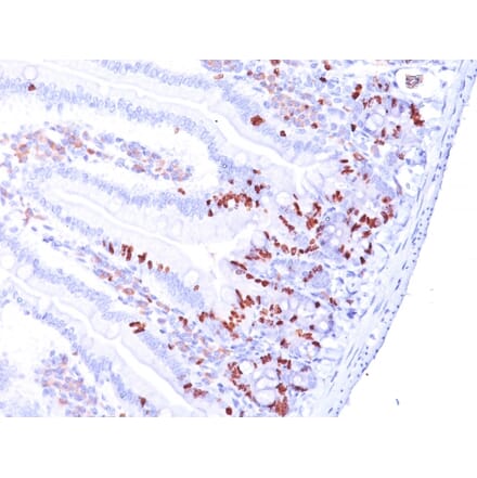
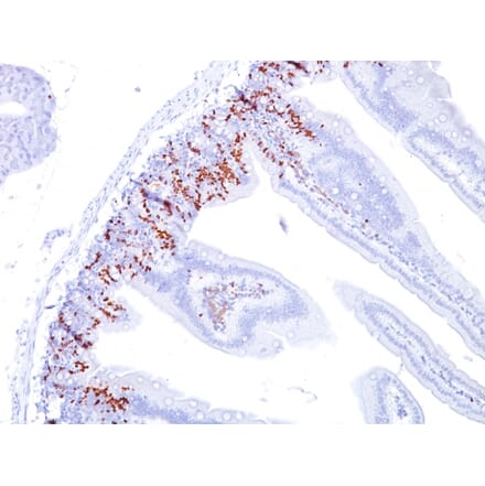
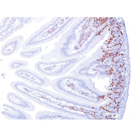
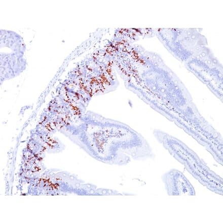
Proliferation describes the growth and division of cells as they expand in a population. The proliferative cell cycle consists of two gap phases (G1 and G2) separated by a replicative synthesis (S) phase during which the genome is duplicated in preparation for cell division by mitosis (M-phase). During G1, the cell enters a concentrated period of protein expression, building its metabolic capacity for DNA replication. In S-phase, DNA replication is initiated allowing the multi-protein replisome complex to unwind and copy the parental DNA duplex. As cells exit S-phase and enter G2 the synthesis of late-replicating regions will be completed before further preparation for cell division. Once key checkpoints have been satisfied, cells are then committed to mitosis, itself a tightly orchestrated process, separating identical chromatid pairs into two daughter cells. Regulated proliferation is critical for tissue growth, repair and development; however, uncontrolled proliferation has pathological consequences. For example, evasion of signalling checkpoints at G1/S and G2/M transitions or in mitotic metaphase through the spindle assembly checkpoint (SAC) leads to the accumulation and inheritance of mutations. Such de-regulated cell division is a key hallmark of cancer. Regulating the proliferative capacity of cells is fundamental to tissue homeostasis. Normal cell turnover relies on increased proliferation to replace old and damaged cells. Upon differentiation, many cell types enter a non-proliferative, quiescent gap 0 phase (G0); therefore, these must be stimulated to re-enter the cell cycle at G1 following external signalling cues. Notably, certain terminally differentiated cells enter a senescent G0 phase where the ability to proliferate is lost completely. These cells must be replaced through differentiation of precursor stem cells. Analysing the proportion and rate of proliferation within a cell population offers powerful insights into replicative dynamics, DNA repair and checkpoint signalling. Further, proliferative indexing of cancerous tissues allows clinicians to effectively grade tumours, improve prognosis accuracy, and better track disease progression in response to therapies. Proliferation markers define a group of antigens indicative of replicating and dividing cells. The most common example is the nuclear protein Ki67. Expressed in all stages of the cell cycle, detection of Ki67 distinguishes proliferating cells from those in G0. Other markers include PCNA and MCM2, components of the core replisome assembled in G1/S-phase. MCM2 acts as a subunit of the CMG replicative helicase responsible for unwinding parental DNA during replication elongation while PCNA acts as a DNA clamp, enhancing the processivity of replication. Further, to identify cells which are actively replicating DNA, researchers may assess nucleotide incorporation through the detection of thymidine analogues (BrdU and EdU) taken in by cells in culture. We offer a range of proliferation marker antibodies, including Ki67 antibodies, PCNA antibodies, BrdU antibodies, and MCM2 antibodies, which have been validated across multiple applications, and cover various host species, isotypes, and conjugates. Whether probing cell cycle progression with immunofluorescence and flow cytometry, or generating prognostic profiles through IHC and ICC, this portfolio can be navigated to find the best antibody for your research.
Anti-BrdU Antibody [MoBu-1] (A85813) | |
10µg - 100µg/$210 – $385 | |
| Description: | Mouse monoclonal [MoBu-1] antibody to BrdU. |
| Applications: | IHC-P, Flow Cytometry, ICC |
| Isotype: | IgG1 |
| Conjugate: | Unconjugated |
Anti-BrdU Antibody [Bu20a] (A86223) | |
10µg - 100µg/$210 – $385 | |
| Description: | Mouse monoclonal [Bu20a] antibody to BrdU. |
| Applications: | Flow Cytometry, IHC-P, IHC-Fr |
| Isotype: | IgG1 |
| Conjugate: | Unconjugated |
Anti-BrdU Antibody [IIB5] (A115514) | |
100µg/$615 | |
| Description: | Mouse monoclonal [IIB5] antbody to BrdU. |
| Applications: | Flow Cytometry, ICC, IHC-Fr, IHC-P |
| Reactivity: | Species Independent |
| Conjugate: | Unconjugated |
Anti-BrdU Antibody (A283414) | |
50µg/$460 | |
| Description: | Rabbit polyclonal antibody to BrdU. |
| Applications: | IHC-P, IF, Flow Cytometry, ICC |
| Reactivity: | Species Independent |
| Conjugate: | Unconjugated |
Anti-BrdU Antibody [Bu20a] (A279885) | |
20µg - 200µg/$195 – $525 | |
| Description: | Mouse monoclonal [Bu20a] antibody to BrdU. |
| Applications: | IHC-P, Flow Cytometry, IHC-Fr, IF, ICC |
| Reactivity: | Species Independent |
| Conjugate: | Unconjugated |
Anti-BrdU Antibody [MoBu-1] (A250978) | |
100µg/$580 | |
| Description: | Mouse monoclonal [MoBu-1] antibody to BrdU. |
| Applications: | Flow Cytometry, IF, IHC-P |
| Isotype: | IgG1 |
| Conjugate: | Unconjugated |
Anti-BrdU Antibody [MoBu-1] - BSA and Azide free (A254158) | |
100µg/$580 | |
| Description: | Mouse monoclonal [MoBu-1] antibody to BrdU. |
| Applications: | Flow Cytometry, IF, IHC-P |
| Isotype: | IgG1 |
| Conjugate: | Unconjugated |
Anti-BrdU Antibody [BRD.3] (A250986) | |
100µg/$580 | |
| Description: | Mouse monoclonal [BRD.3] antibody to BrdU. |
| Applications: | Flow Cytometry, IF, IHC-P |
| Isotype: | IgG1 |
| Conjugate: | Unconjugated |
Anti-BrdU Antibody [BRD.3] - BSA and Azide free (A254166) | |
100µg/$580 | |
| Description: | Mouse monoclonal [BRD.3] antibody to BrdU. |
| Applications: | Flow Cytometry, IF, IHC-P |
| Isotype: | IgG1 |
| Conjugate: | Unconjugated |
Anti-BrdU Antibody [85-2C8] (A250994) | |
100µg/$580 | |
| Description: | Mouse monoclonal [85-2C8] antibody to BrdU. |
| Applications: | Flow Cytometry, IF, IHC-P |
| Isotype: | IgG1 |
| Conjugate: | Unconjugated |
Anti-BrdU Antibody [85-2C8] - BSA and Azide free (A254173) | |
100µg/$580 | |
| Description: | Mouse monoclonal [85-2C8] antibody to BrdU. |
| Applications: | Flow Cytometry, IF, IHC-P |
| Isotype: | IgG1 |
| Conjugate: | Unconjugated |
Anti-BrdU Antibody [BRD469] (A250878) | |
100µg/$580 | |
| Description: | Mouse monoclonal [BRD469] antibody to BrdU. |
| Applications: | IHC-P |
| Isotype: | IgG1 |
| Conjugate: | Unconjugated |
Anti-BrdU Antibody [BRD469] - BSA and Azide free (A254058) | |
100µg/$580 | |
| Description: | Mouse monoclonal [BRD469] antibody to BrdU. |
| Applications: | IHC-P |
| Isotype: | IgG1 |
| Conjugate: | Unconjugated |
Anti-BrdU Antibody [SPM166] (A250906) | |
100µg/$580 | |
| Description: | Mouse monoclonal [SPM166] antibody to BrdU. |
| Applications: | Flow Cytometry, IF, IHC-P |
| Isotype: | IgG1 |
| Conjugate: | Unconjugated |
Anti-BrdU Antibody [SPM166] - BSA and Azide free (A254086) | |
100µg/$580 | |
| Description: | Mouse monoclonal [SPM166] antibody to BrdU. |
| Applications: | Flow Cytometry, IF, IHC-P |
| Isotype: | IgG1 |
| Conjugate: | Unconjugated |
Anti-BrdU Antibody [SPM537] (A250945) | |
100µg/$580 | |
| Description: | Mouse monoclonal [SPM537] antibody to BrdU. |
| Applications: | Flow Cytometry, IF, IHC-P |
| Isotype: | IgG1 |
| Conjugate: | Unconjugated |
Anti-BrdU Antibody [SPM537] - BSA and Azide free (A254125) | |
100µg/$580 | |
| Description: | Mouse monoclonal [SPM537] antibody to BrdU. |
| Applications: | Flow Cytometry, IF, IHC-P |
| Isotype: | IgG1 |
| Conjugate: | Unconjugated |
Anti-BrdU Antibody [BU20a] (A250958) | |
100µg/$580 | |
| Description: | Mouse monoclonal [BU20a] antibody to BrdU. |
| Applications: | Flow Cytometry, IF, IHC-P |
| Isotype: | IgG1 |
| Conjugate: | Unconjugated |
Anti-BrdU Antibody [BU20a] - BSA and Azide free (A254138) | |
100µg/$580 | |
| Description: | Mouse monoclonal [BU20a] antibody to BrdU. |
| Applications: | Flow Cytometry, IF, IHC-P |
| Isotype: | IgG1 |
| Conjugate: | Unconjugated |
Anti-BrdU Antibody (A32562) | |
50µl - 100µl/$460 – $675 | |
| Description: | Mouse monoclonal antibody to BrdU |
| Applications: | IHC, IF, FC |
| Conjugate: | Unconjugated |
Anti-BrdU Antibody [BRD2888R] (A251004) | |
100µg/$580 | |
| Description: | Recombinant rabbit monoclonal [BRD2888R] antibody to BrdU. |
| Applications: | IHC-P |
| Isotype: | IgG |
| Conjugate: | Unconjugated |
Anti-BrdU Antibody [BRD2888R] - BSA and Azide free (A254183) | |
100µg/$580 | |
| Description: | Recombinant rabbit monoclonal [BRD2888R] antibody to BrdU. |
| Applications: | IHC-P |
| Isotype: | IgG |
| Conjugate: | Unconjugated |
Anti-BrdU Antibody [BRD469] (CF® 488) (A251180) | |
100T/$580 | |
| Description: | Mouse monoclonal [BRD469] antibody to BrdU (CF® 488). |
| Applications: | Flow Cytometry, IF |
| Isotype: | IgG1 |
| Conjugate: | CF® 488 |
Anti-BrdU Antibody [OTI2B5] (A321464) | |
100µl/$600 | |
| Description: | Mouse monoclonal [OTI2B5] antibody to BrdU. |
| Applications: | Flow Cytometry, IF, IHC |
| Isotype: | IgG1 |
| Conjugate: | Unconjugated |
Anti-BrdU Antibody [OTI2B5] - BSA and Azide free (A321465) | |
100µg/$785 | |
| Description: | Mouse monoclonal [OTI2B5] antibody to BrdU. |
| Applications: | Flow Cytometry, IF, IHC |
| Isotype: | IgG1 |
| Conjugate: | Unconjugated |
Anti-BrdU Antibody [BRD494] (A250930) | |
100µg/$580 | |
| Description: | Mouse monoclonal [BRD494] antibody to BrdU. |
| Applications: | IHC-P |
| Isotype: | IgG1 |
| Conjugate: | Unconjugated |
Anti-BrdU Antibody [BRD494] - BSA and Azide free (A254110) | |
100µg/$580 | |
| Description: | Mouse monoclonal [BRD494] antibody to BrdU. |
| Applications: | IHC-P |
| Isotype: | IgG1 |
| Conjugate: | Unconjugated |
Anti-BrdU Antibody [BRD469 + BRD494 + BRD.3] (A250997) | |
100µg/$580 | |
| Description: | Mouse monoclonal [BRD469 + BRD494 + BRD.3] antibody to BrdU. |
| Applications: | IHC-P |
| Isotype: | IgG1, kappa + IgG1, kappa + IgG1, kappa |
| Conjugate: | Unconjugated |
Anti-BrdU Antibody [BRD469 + BRD494 + BRD.3] - BSA and Azide free (A254176) | |
100µg/$580 | |
| Description: | Mouse monoclonal [BRD469 + BRD494 + BRD.3] antibody to BrdU. |
| Applications: | IHC-P |
| Isotype: | IgG1, kappa + IgG1, kappa + IgG1, kappa |
| Conjugate: | Unconjugated |
Anti-BrdU Antibody [YR-BrdU] (A58171) | |
500µg - 1mg/$455 – $665 | |
| Description: | Mouse monoclonal [YR-BrdU] antibody to BrdU. |
| Applications: | IHC, Flow Cytometry |
| Isotype: | IgG1 |
| Conjugate: | Unconjugated |
Anti-BrdU Antibody [rBRD469] (A251001) | |
100µg/$580 | |
| Description: | Recombinant mouse monoclonal [rBRD469] antibody to BrdU. |
| Applications: | IHC-P |
| Isotype: | IgG1 |
| Conjugate: | Unconjugated |
Anti-BrdU Antibody [rBRD469] - BSA and Azide free (A254180) | |
100µg/$580 | |
| Description: | Recombinant mouse monoclonal [rBRD469] antibody to BrdU. |
| Applications: | IHC-P |
| Isotype: | IgG1 |
| Conjugate: | Unconjugated |
Anti-BrdU Antibody [Bu20a] (PE) (A86221) | |
100T/$470 | |
| Description: | Mouse monoclonal [Bu20a] antibody to BrdU (PE). |
| Applications: | Flow Cytometry |
| Isotype: | IgG1 |
| Conjugate: | PE |
Anti-BrdU Antibody [BRDU/3902R] (A251007) | |
100µg/$580 | |
| Description: | Recombinant rabbit monoclonal [BRDU/3902R] antibody to BrdU. |
| Applications: | IHC-P |
| Isotype: | IgG |
| Conjugate: | Unconjugated |
Anti-BrdU Antibody [BRDU/3902R] - BSA and Azide free (A254186) | |
100µg/$580 | |
| Description: | Recombinant rabbit monoclonal [BRDU/3902R] antibody to BrdU. |
| Applications: | IHC-P |
| Isotype: | IgG |
| Conjugate: | Unconjugated |
Anti-BrdU Antibody [BRD/1539R] (A251026) | |
100µg/$580 | |
| Description: | Recombinant rabbit monoclonal [BRD/1539R] antibody to BrdU. |
| Applications: | ELISA |
| Isotype: | IgG |
| Conjugate: | Unconjugated |
Anti-BrdU Antibody [BRD/1539R] - BSA and Azide free (A254205) | |
100µg/$580 | |
| Description: | Recombinant rabbit monoclonal [BRD/1539R] antibody to BrdU. |
| Applications: | ELISA |
| Isotype: | IgG |
| Conjugate: | Unconjugated |
Anti-BrdU Antibody [rBRD.3] (A250846) | |
100µg/$580 | |
| Description: | Recombinant mouse monoclonal [rBRD.3] antibody to BrdU. |
| Applications: | IHC-P |
| Isotype: | IgG1 |
| Conjugate: | Unconjugated |
Anti-BrdU Antibody [rBRD.3] - BSA and Azide free (A254026) | |
100µg/$580 | |
| Description: | Recombinant mouse monoclonal [rBRD.3] antibody to BrdU. |
| Applications: | IHC-P |
| Isotype: | IgG1 |
| Conjugate: | Unconjugated |
Anti-BrdU Antibody [rBRD494] (A250860) | |
100µg/$580 | |
| Description: | Recombinant mouse monoclonal [rBRD494] antibody to BrdU. |
| Applications: | IHC-P |
| Isotype: | IgG1 |
| Conjugate: | Unconjugated |
Anti-BrdU Antibody [rBRD494] - BSA and Azide free (A254040) | |
100µg/$580 | |
| Description: | Recombinant mouse monoclonal [rBRD494] antibody to BrdU. |
| Applications: | IHC-P |
| Isotype: | IgG1 |
| Conjugate: | Unconjugated |
Anti-BrdU Antibody [OTI4F2] (A321467) | |
100µl/$600 | |
| Description: | Rat monoclonal [OTI4F2] antibody to BrdU. |
| Applications: | IHC |
| Reactivity: | Human |
| Conjugate: | Unconjugated |
Anti-BrdU Antibody [OTI4F2] - BSA and Azide free (A321466) | |
100µg/$785 | |
| Description: | Rat monoclonal [OTI4F2] antibody to BrdU. |
| Applications: | IHC |
| Reactivity: | Human |
| Conjugate: | Unconjugated |
Showing 1-43 of 43 products