ISO 9001:2015 Certified
Live Customer Support
4.5/5 on Trustpilot
100% Quality Guarantee

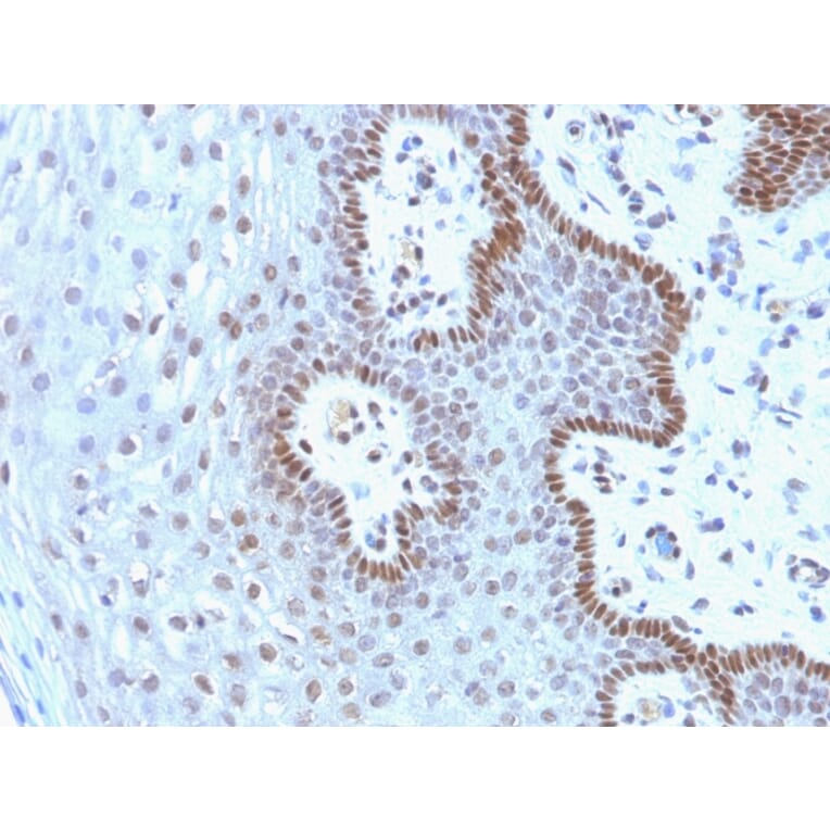
Anti-c-Myc Antibody [9E10.3] - BSA and Azide free (A252631)

Mouse monoclonal [9E10.3] antibody to c-Myc for Flow Cytometry, IF and IHC-P.

Alternative Formats and ConjugatesAlternative Formats

Shipping Information

$40
Dispatched from St. Louis, MO.
Lead Time: 5-8 business days.
Name
Anti-c-Myc Antibody [9E10.3] - BSA and Azide free
Description
Mouse monoclonal [9E10.3] antibody to c-Myc.
Specificity
The epitope of this antibody spans between amino acids 410-419 (EQKLISEEDL) of human c-Myc protein. This antibody shows no cross-reaction with v-Myc.
Applications
Flow Cytometry, IF, IHC-P
Dilutions
Flow Cytometry: 1-2 µg/million cells, IF: 1-2 µg/ml, IHC-P: 1-2 µg/ml
Reactivity
Human
Cross Reactivity
This antibody does not cross react with Mouse, Rat, or Chicken.
Immunogen
Synthetic peptide corresponding to amino acids 408-439 of human c-Myc, coupled to KLH.
Sequence
AEEQKLISEEDLLRKRREQLKHKLEQLRNSCA
Host
Mouse
Clonality
Monoclonal
Clone ID
9E10.3
Isotype
IgG1
Conjugate

Unconjugated

Purification
Protein A/G chromatography.
Concentration
1 mg/ml
Molecular Weight
62-64 kDa
Product Form
Liquid
Formulation
Supplied in 10mM Phosphate Buffered Saline; without Sodium Azide and carrier free.
Storage
Shipped at 4°C. Upon delivery aliquot and store at -20°C. Avoid freeze / thaw cycles.
General Notes
This monoclonal antibody is also available in a different formulation with BSA and Sodium Azide - Anti-c-Myc Antibody [9E10.3] (A249451).
Synonyms
BHLHE39, Class E basic helix-loop-helix protein 39, MYC, Myc proto-oncogene protein, Proto-oncogene c-Myc, Transcription factor p64
Disclaimer
This product is for research use only. It is not intended for diagnostic or therapeutic use.
Publishing research using Anti-c-Myc Antibody [9E10.3] - BSA and Azide free (A252631)? Please let us know so that we can list the citation on this page.

Most popular Anti-c-Myc Antibodies

Alternative products to Anti-c-Myc Antibody [9E10.3] - BSA and Azide free (A252631)

Proteins predicted to interact with c-Myc

Predicted protein interactions based upon String database. Revelancy score correlates with probability of interaction.
99.9% Relevancy Score
99.9% Relevancy Score
99.9% Relevancy Score
99.9% Relevancy Score
99.9% Relevancy Score
99.9% Relevancy Score
99.8% Relevancy Score
99.8% Relevancy Score
99.7% Relevancy Score