ISO 9001:2015 Certified
Live Customer Support
4.5/5 on Trustpilot
100% Quality Guarantee

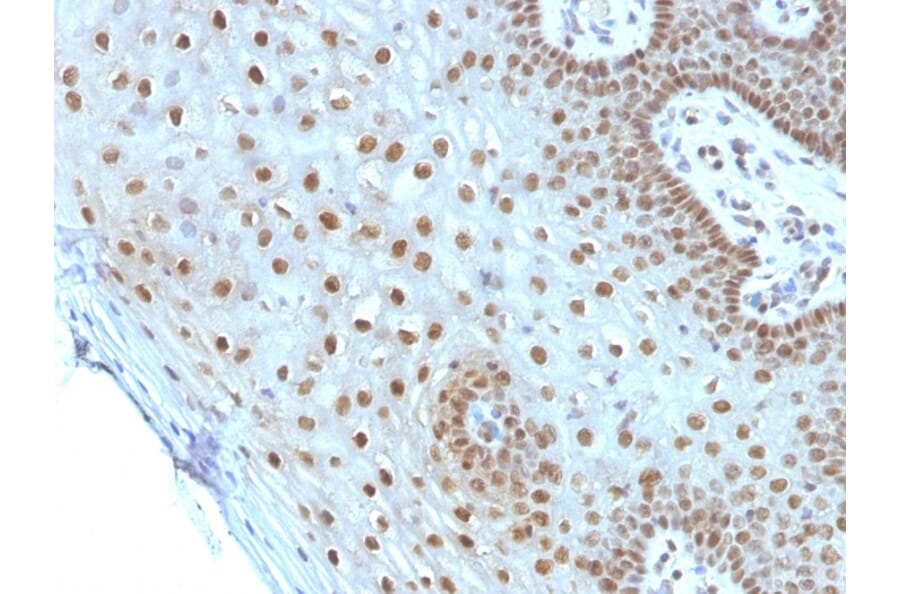
Anti-c-Myc Antibody [MYC275] - BSA and Azide free (A252630)

Mouse monoclonal [MYC275] antibody to c-Myc for Flow Cytometry, IF and IHC-P.

Alternative Formats and ConjugatesAlternative Formats

Shipping Information

$40
Dispatched from St. Louis, MO.
Lead Time: 5-8 business days.
Name
Anti-c-Myc Antibody [MYC275] - BSA and Azide free
Description
Mouse monoclonal [MYC275] antibody to c-Myc.
Specificity
The c-Myc protein is a transcription factor, which is encoded by the c-Myc gene on human chromosome 8q24. c-Myc is commonly activated in a variety of tumor cells and plays an important role in cellular proliferation, differentiation, apoptosis and cell cycle progression. The phosphorylation of c-Myc has been investigated and previous studies have suggested a functional association between phosphorylation at Thr58/Ser62 by glycogen synthase kinase 3, cyclin dependent kinase, ERK2 and C-Jun N terminal Kinase (JNK) in cell proliferation and cell cycle regulation. Studies also have shown that c-Myc is essential for tumor cell development in vasculogenesis and angiogenesis that distribute blood throughout the cells, and which brought extensive attention in the development of new therapeutic approach for cancer treatment.
Applications
Flow Cytometry, IF, IHC-P
Dilutions
Flow Cytometry: 1-2 µg/million cells, IF: 1-2 µg/ml, IHC-P: 1-2 µg/ml
Reactivity
Human
Immunogen
Recombinant human c-Myc protein.
Host
Mouse
Clonality
Monoclonal
Clone ID
MYC275
Isotype
IgG1
Light Chains
kappa
Conjugate

Unconjugated

Purification
Protein A/G chromatography.
Concentration
1 mg/ml
Molecular Weight
62-64 kDa
Product Form
Liquid
Formulation
Supplied in 10mM Phosphate Buffered Saline; without Sodium Azide and carrier free.
Storage
Shipped at 4°C. Upon delivery aliquot and store at -20°C. Avoid freeze / thaw cycles.
General Notes
This monoclonal antibody is also available in a different formulation with BSA and Sodium Azide - Anti-c-Myc Antibody [MYC275] (A249450).
Synonyms
BHLHE39, Class E basic helix-loop-helix protein 39, MYC, Myc proto-oncogene protein, Proto-oncogene c-Myc, Transcription factor p64
Disclaimer
This product is for research use only. It is not intended for diagnostic or therapeutic use.
Publishing research using Anti-c-Myc Antibody [MYC275] - BSA and Azide free (A252630)? Please let us know so that we can list the citation on this page.

Most popular Anti-c-Myc Antibodies

Alternative products to Anti-c-Myc Antibody [MYC275] - BSA and Azide free (A252630)

Proteins predicted to interact with c-Myc

Predicted protein interactions based upon String database. Revelancy score correlates with probability of interaction.
99.9% Relevancy Score
99.9% Relevancy Score
99.9% Relevancy Score
99.9% Relevancy Score
99.9% Relevancy Score
99.9% Relevancy Score
99.8% Relevancy Score
99.8% Relevancy Score
99.7% Relevancy Score