ISO 9001:2015 Certified
Live Customer Support
4.5/5 on Trustpilot
100% Quality Guarantee

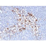
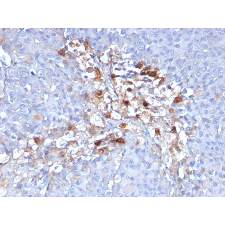
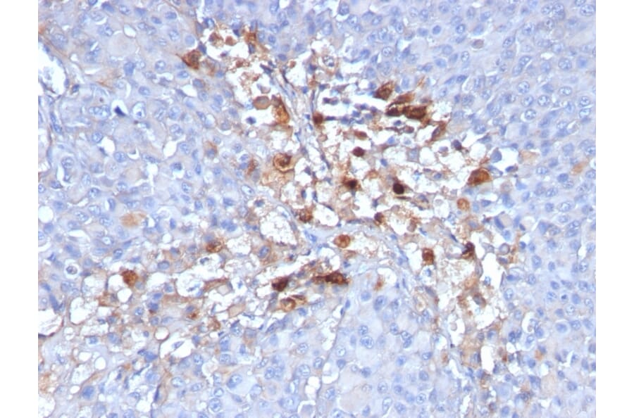
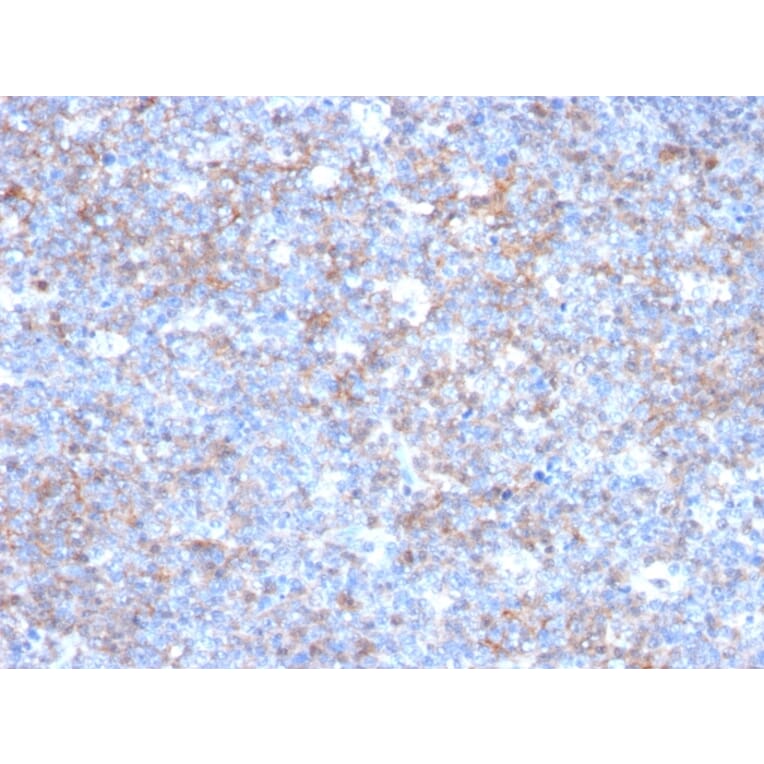
Anti-CD146 Antibody [C146/634] - BSA and Azide free (A252472)

Mouse monoclonal [C146/634] antibody to CD146 for Flow Cytometry, IF and IHC-P.

Alternative Formats and ConjugatesAlternative Formats

Shipping Information

$40
Dispatched from St. Louis, MO.
Lead Time: 5-8 business days.
Name
Anti-CD146 Antibody [C146/634] - BSA and Azide free
Description
Mouse monoclonal [C146/634] antibody to CD146.
Specificity
The human CD146 gene maps to chromosome 11q23 and encodes a trans-membrane glycoprotein, also designated MCAM, MUC 18, that belongs to the immunoglobulin superfamily and functions as a Ca2+-independent cell adhesion molecule. CD146 expression is restricted to advanced primary and metastatic melanomas and to cell lines of the neuroectodermal lineage, but not normal melanocytes. CD146 is found on 80% of advanced primary human melanomas and correlates well with development of metastatic disease.
Applications
Flow Cytometry, IF, IHC-P
Dilutions
Flow Cytometry: 1-2 µg/million cells, IF: 1-2 µg/ml, IHC-P: 1-2 µg/ml
Reactivity
Human
Immunogen
Recombinant human CD146 protein.
Host
Mouse
Clonality
Monoclonal
Clone ID
C146/634
Isotype
IgG1
Light Chains
kappa
Conjugate

Unconjugated

Purification
Protein A/G chromatography.
Concentration
1 mg/ml
Molecular Weight
130 kDa
Product Form
Liquid
Formulation
Supplied in 10mM Phosphate Buffered Saline; without Sodium Azide and carrier free.
Storage
Shipped at 4°C. Upon delivery aliquot and store at -20°C. Avoid freeze / thaw cycles.
General Notes
This monoclonal antibody is also available in a different formulation with BSA and Sodium Azide - Anti-CD146 Antibody [C146/634] (A249292).
Synonyms
Cell surface glycoprotein MUC18, Cell surface glycoprotein P1H12, MCAM, Melanoma cell adhesion molecule, Melanoma-associated antigen A32, Melanoma-associated antigen MUC18, MUC18, S-endo 1 endothelial-associated antigen
Disclaimer
This product is for research use only. It is not intended for diagnostic or therapeutic use.
Publishing research using Anti-CD146 Antibody [C146/634] - BSA and Azide free (A252472)? Please let us know so that we can list the citation on this page.

Alternative products to Anti-CD146 Antibody [C146/634] - BSA and Azide free (A252472)

Proteins predicted to interact with CD146

Predicted protein interactions based upon String database. Revelancy score correlates with probability of interaction.
96.1% Relevancy Score
94.1% Relevancy Score
88.9% Relevancy Score
85.2% Relevancy Score
83.4% Relevancy Score
82% Relevancy Score
80.6% Relevancy Score
80.5% Relevancy Score
80.2% Relevancy Score