ISO 9001:2015 Certified
Live Customer Support
4.5/5 on Trustpilot
100% Quality Guarantee

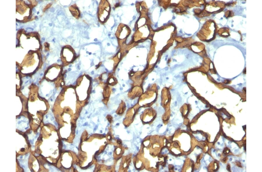
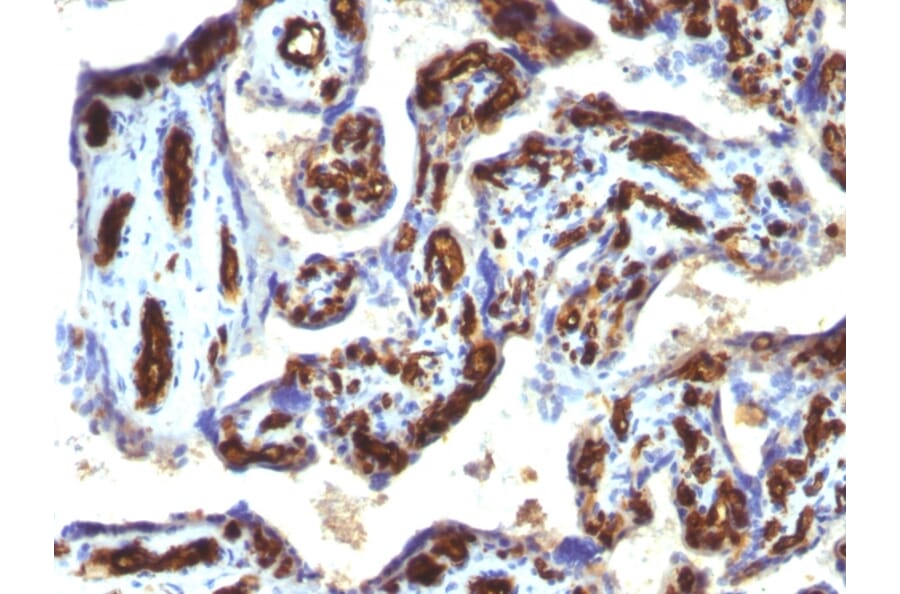
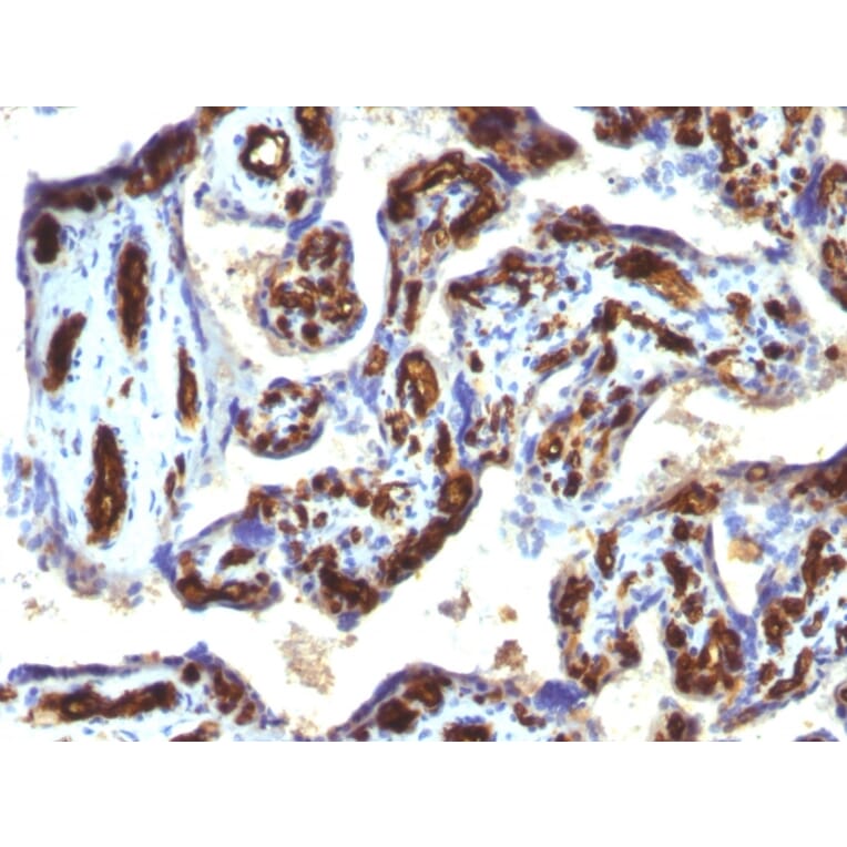
Anti-CD34 Antibody [HPCA1/763] - BSA and Azide free (A253859)

Mouse monoclonal [HPCA1/763] antibody to CD34 for IHC-P.

Alternative Formats and ConjugatesAlternative Formats

Shipping Information

$40
Dispatched from St. Louis, MO.
Lead Time: 5-8 business days.
Name
Anti-CD34 Antibody [HPCA1/763] - BSA and Azide free
Description
Mouse monoclonal [HPCA1/763] antibody to CD34.
Specificity
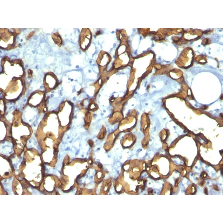
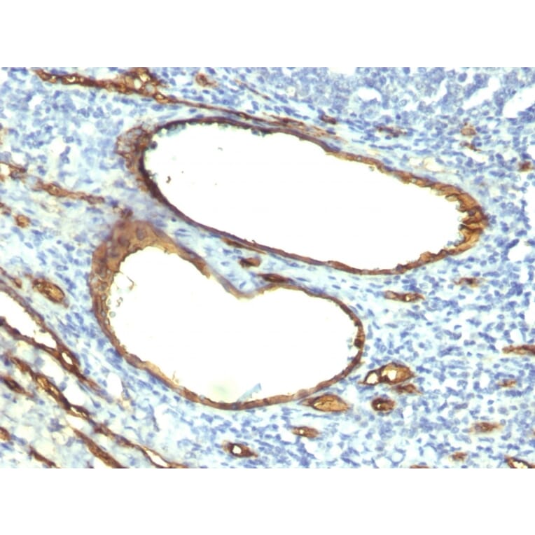
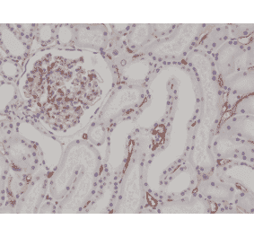
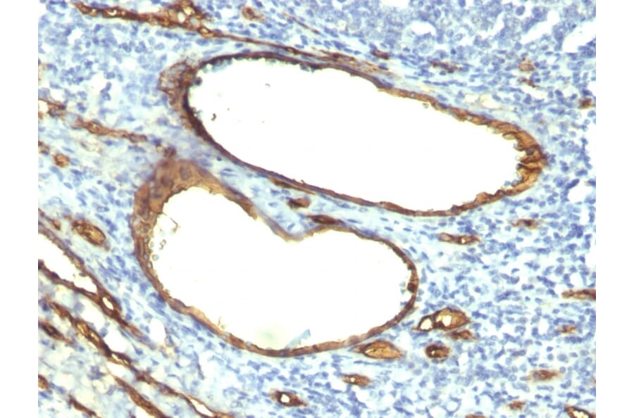
This antibody recognizes a single chain, transmembrane, heavily glycosylated protein of 90-120kDa, which is identified as CD34. Its expression is a hallmark for identifying pluripotent hematopoietic stem or progenitor cells. Its expression is gradually lost as lineage committed progenitors differentiate. CD34 is a marker of choice for staining blasts in acute myeloid leukemia. In addition, CD34 is expressed by soft tissue tumors, such as solitary fibrous tumor and gastrointestinal stromal tumor. Its expression is also found in vascular endothelium. Additionally, it appears that proliferating endothelial cells express this molecule more than the non-proliferating endothelial cells. Anti-CD34 labels 85% of angiosarcoma and Kaposis sarcoma, but with a lower specificity.
Applications
IHC-P
Dilutions
IHC-P: 0.25-0.5 µg/ml
Reactivity
Human
Immunogen
Recombinant full-length human HPCA1 protein.
Host
Mouse
Clonality
Monoclonal
Clone ID
HPCA1/763
Isotype
IgG1
Light Chains
lambda
Conjugate

Unconjugated

Purification
Protein A/G chromatography.
Concentration
1 mg/ml
Molecular Weight
90-110 kDa
Product Form
Liquid
Formulation
Supplied in 10mM Phosphate Buffered Saline; without Sodium Azide and carrier free.
Storage
Shipped at 4°C. Upon delivery aliquot and store at -20°C. Avoid freeze / thaw cycles.
General Notes
This monoclonal antibody is also available in a different formulation with BSA and Sodium Azide - Anti-CD34 Antibody [HPCA1/763] (A250679).
Synonyms
Hematopoietic progenitor cell antigen CD34
Disclaimer
This product is for research use only. It is not intended for diagnostic or therapeutic use.
Publishing research using Anti-CD34 Antibody [HPCA1/763] - BSA and Azide free (A253859)? Please let us know so that we can list the citation on this page.

Most popular Anti-CD34 Antibodies

Alternative products to Anti-CD34 Antibody [HPCA1/763] - BSA and Azide free (A253859)

Proteins predicted to interact with CD34

Predicted protein interactions based upon String database. Revelancy score correlates with probability of interaction.
99.9% Relevancy Score
96.4% Relevancy Score
96% Relevancy Score
95.6% Relevancy Score
95.3% Relevancy Score
95.1% Relevancy Score
94.5% Relevancy Score
94% Relevancy Score
94% Relevancy Score