ISO 9001:2015 Certified
Live Customer Support
4.5/5 on Trustpilot
100% Quality Guarantee

Anti-CDK1 Antibody [POH-1] - BSA and Azide free (A253986)

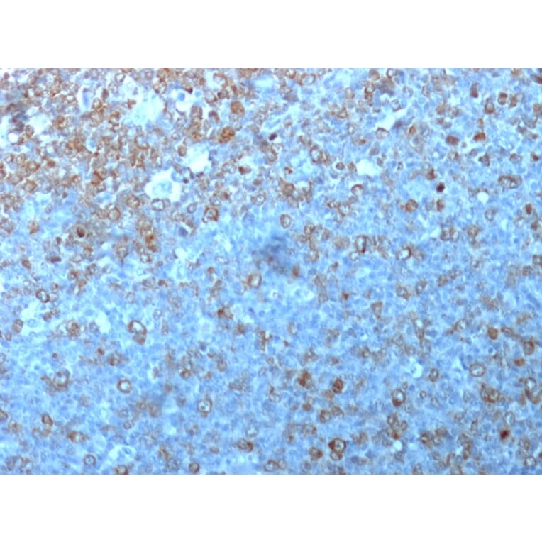
Mouse monoclonal [POH-1] antibody to CDK1 for WB and IHC-P.

Alternative Formats and ConjugatesAlternative Formats

Shipping Information

$40
Dispatched from St. Louis, MO.
Lead Time: 5-8 business days.
Name
Anti-CDK1 Antibody [POH-1] - BSA and Azide free
Description
Mouse monoclonal [POH-1] antibody to CDK1.
Applications
WB, IHC-P
Dilutions
WB: 1-2 µg/ml, IHC-P: 2-4 µg/ml
Reactivity
Human, Monkey, Bovine, Mink
Cross Reactivity
This antibody does not cross react with Mouse, Rat, Xenopus, Drosophila, S. pombe, or S. cerevisiae.
Immunogen
Recombinant full-length human p34cdc2 protein.
Host
Mouse
Clonality
Monoclonal
Clone ID
POH-1
Isotype
IgG2a
Light Chains
kappa
Conjugate

Unconjugated

Purification
Protein A/G chromatography.
Concentration
1 mg/ml
Molecular Weight
34 kDa
Product Form
Liquid
Formulation
Supplied in 10mM Phosphate Buffered Saline; without Sodium Azide and carrier free.
Storage
Shipped at 4°C. Upon delivery aliquot and store at -20°C. Avoid freeze / thaw cycles.
General Notes

This antibody is also known as Clone cdc2.1.

This monoclonal antibody is also available in a different formulation with BSA and Sodium Azide - Anti-CDK1 Antibody [POH-1] (A250806).

Synonyms
CDC2, CDC28A, CDKN1, Cell division control protein 2 homolog, Cell division protein kinase 1, Cyclin-dependent kinase 1, p34 protein kinase, P34CDC2
Disclaimer
This product is for research use only. It is not intended for diagnostic or therapeutic use.
Publishing research using Anti-CDK1 Antibody [POH-1] - BSA and Azide free (A253986)? Please let us know so that we can list the citation on this page.

Most popular Anti-CDK1 Antibodies

Alternative products to Anti-CDK1 Antibody [POH-1] - BSA and Azide free (A253986)

Proteins predicted to interact with CDK1

Predicted protein interactions based upon String database. Revelancy score correlates with probability of interaction.
99.9% Relevancy Score
99.9% Relevancy Score
99.9% Relevancy Score
99.9% Relevancy Score
99.9% Relevancy Score
99.9% Relevancy Score
99.9% Relevancy Score
99.9% Relevancy Score
99.9% Relevancy Score