Western Blot - Anti-CDK1 (phospho Tyr15) Antibody (A16400)
Western blot analysis of extracts of NIH/3T3 cells, using Anti-CDK1 (phospho Tyr15) Antibody (A16400) at 1:1,000 dilution or CDK1 antibody (A0220). HeLa cellls were treated by nocodazole (50 ng/ml) at 37°C for 20 hours or Hydroxyurea (4 mM) at 37°C for 20 hours. The secondary antibody was Goat Anti-Rabbit IgG H&L Antibody (HRP) at 1:10,000 dilution. Lysates/proteins were present at 25µg per lane. The blocking buffer used was 3% BSA. Detection was with a ECL Basic Kit. Exposure time: 1s.
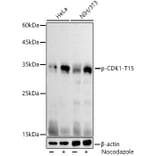
Western Blot - Anti-CDK1 (phospho Tyr15) Antibody (A16400)
Western blot analysis of extracts of various cell lines, using Anti-CDK1 (phospho Tyr15) Antibody (A16400) at 1:1,000 dilution. HeLa and NIH/3T3 cells were treated by nocodazole (50 ng/ml) at 37°C for 20 hours. The secondary antibody was Goat Anti-Rabbit IgG H&L Antibody (HRP) at 1:10,000 dilution. Lysates/proteins were present at 25µg per lane. The blocking buffer used was 3% non-fat dry milk in TBST. Detection was with a ECL Basic Kit. Exposure time: 10s.
Western Blot - Anti-CDK1 (phospho Tyr15) Antibody (A16400)
Western blot analysis of extracts of C6 cells, using Anti-CDK1 (phospho Tyr15) Antibody (A16400) at 1:1,000 dilution. C6 cells were treated by Nocodazole (50 ng/ml) at 37°C for 20 hours. The secondary antibody was Goat Anti-Rabbit IgG H&L Antibody (HRP) at 1:10,000 dilution. Lysates/proteins were present at 25µg per lane. The blocking buffer used was 3% non-fat dry milk in TBST. Detection was with a ECL Basic Kit. Exposure time: 90s.
Immunohistochemistry analysis of paraffin-embedded rat liver using Anti-CDK1 (phospho Tyr15) Antibody (A16400) at a dilution of 1:100 (40x lens). Perform microwave antigen retrieval with 10 mM Tris/EDTA buffer pH 9.0 before commencing with IHC staining protocol.
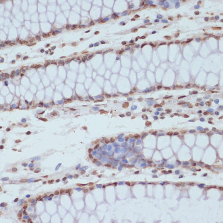
Immunohistochemistry analysis of paraffin-embedded human colon tissue using Anti-CDK1 (phospho Tyr15) Antibody (A16400) at a dilution of 1:100 (40x lens). Perform microwave antigen retrieval with 10 mM Tris/EDTA buffer pH 9.0 before commencing with IHC staining protocol.
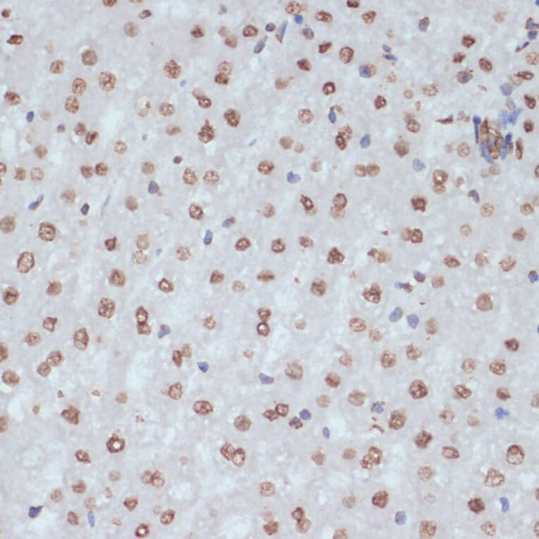
Immunohistochemistry analysis of paraffin-embedded mouse brain using Anti-CDK1 (phospho Tyr15) Antibody (A16400) at a dilution of 1:100 (40x lens). Perform microwave antigen retrieval with 10 mM Tris/EDTA buffer pH 9.0 before commencing with IHC staining protocol.
Immunofluorescence analysis of human breast cancer using Anti-CDK1 (phospho Tyr15) Antibody (A16400) at a dilution of 1:100 (40x lens). DAPI was used to stain the cell nuclei (blue).
Western Blot - Anti-CDK1 (phospho Tyr15) Antibody (A16400)
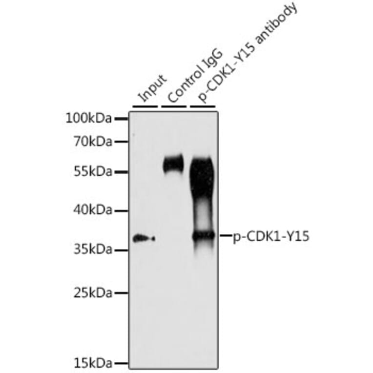
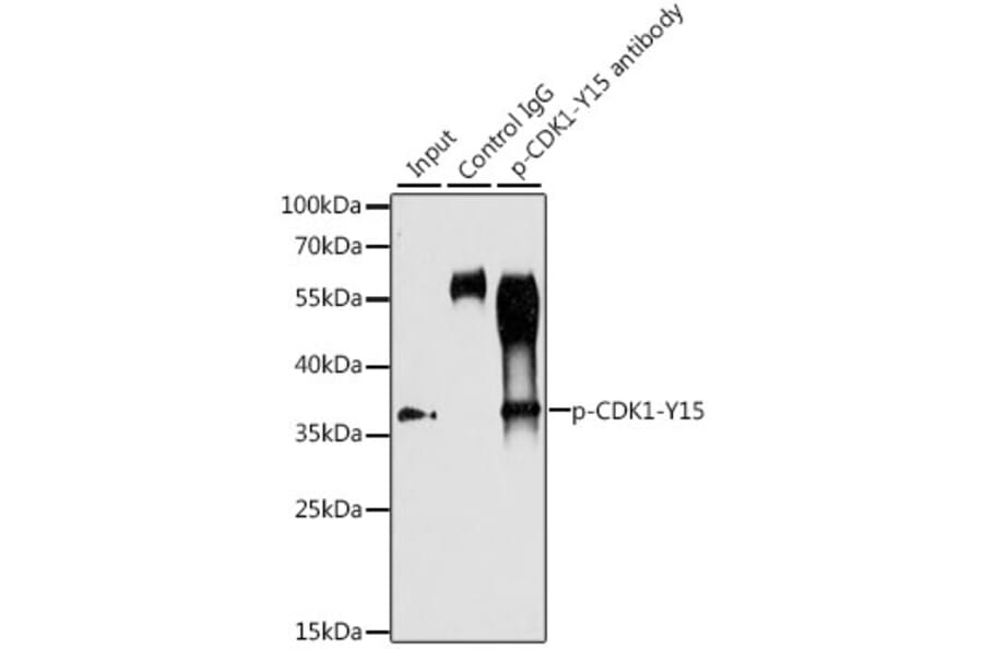
Immunoprecipitation analysis of 200µg extracts of HT-29 cells using 3µg of Anti-CDK1 (phospho Tyr15) Antibody (A16400). This Western blot was performed on the immunoprecipitate using Anti-CDK1 (phospho Tyr15) Antibody (A16400) at a dilution of 1:1000. HT-29 cells were treated by Serum-starvation overnight at 37°C.