Rabbit polyclonal antibody to eIF4EBP1 (phospho Thr37 + Thr46).
Applications
WB, IHC
Dilutions
WB: 1:500-1:1,000, IHC: 1:50-1:200
Reactivity
Human, Mouse, Rat
Immunogen
A synthetic phosphorylated peptide around T37 & T46 of human eIF4EBP1 (NP_004086.1).
Sequence
STTPGGTLFSTT
Host
Rabbit
Clonality
Polyclonal
Isotype
IgG
Conjugate
Unconjugated
Purification
Affinity purification.
Molecular Weight
15 kDa - 20 kDa
Product Form
Liquid
Formulation
Supplied in Phosphate Buffered Saline, pH 7.3, with 50% Glycerol and 0.02% Sodium Azide.
Storage
Shipped at 4°C. Upon delivery aliquot and store at -20°C. Avoid freeze / thaw cycles.
Synonyms
4E-BP1, eIF4E-binding protein 1, Eukaryotic translation initiation factor 4E-binding protein 1, PHAS-I, Phosphorylated heat- and acid-stable protein regulated by insulin 1
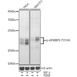
Western Blot - Anti-eIF4EBP1 (phospho Thr37 + Thr46) Antibody (A16402)
Western blot analysis of extracts of various cell lines, using Anti-eIF4EBP1 (phospho Thr37 + Thr46) Antibody (A16402) at 1:1,000 dilution. HeLa cells were treated by IGF-1 (50 ng/ml) at 37°C for 30 minutes after serum-starvation overnight. NIH/3T3 cells were treated by PDGF (100 ng/ml) at 37°C for 30 minutes after serum-starvation overnight. The secondary antibody was Goat Anti-Rabbit IgG H&L Antibody (HRP) at 1:10,000 dilution. Lysates/proteins were present at 25µg per lane. The blocking buffer used was 3% non-fat dry milk in TBST. Detection was with a ECL Enhanced Kit (RM00021). Exposure time: 30s.
Western Blot - Anti-eIF4EBP1 (phospho Thr37 + Thr46) Antibody (A16402)
Western blot analysis of extracts of C6 cells, using Anti-eIF4EBP1 (phospho Thr37 + Thr46) Antibody (A16402) at 1:1,000 dilution. C6 cells were treated by PDGF (100 ng/ml) at 37°C for 30 minutes after serum-starvation overnight. The secondary antibody was Goat Anti-Rabbit IgG H&L Antibody (HRP) at 1:10,000 dilution. Lysates/proteins were present at 25µg per lane. The blocking buffer used was 3% non-fat dry milk in TBST. Detection was with a ECL Enhanced Kit (RM00021). Exposure time: 180s.
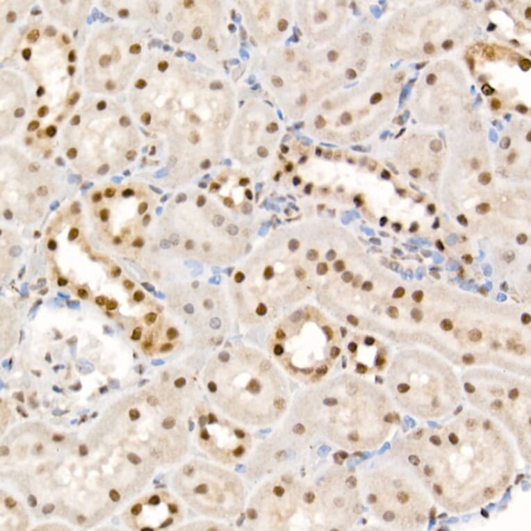
Immunohistochemistry analysis of paraffin-embedded rat kidney using Anti-eIF4EBP1 (phospho Thr37 + Thr46) Antibody (A16402) at a dilution of 1:100 (40x lens). Perform high pressure antigen retrieval with 10 mM citrate buffer pH 6.0 before commencing with IHC staining protocol.
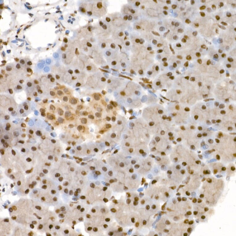
Immunohistochemistry analysis of paraffin-embedded rat pancreas using Anti-eIF4EBP1 (phospho Thr37 + Thr46) Antibody (A16402) at a dilution of 1:100 (40x lens). Perform high pressure antigen retrieval with 10 mM citrate buffer pH 6.0 before commencing with IHC staining protocol.
Alternative products to Anti-eIF4EBP1 (phospho Thr37 + Thr46) Antibody (A16402)