The epitope for the antibody is located within the sequence TLEPYERDHAVVVGVYRPPP, amino acids 298-317 of human Fibrillarin, at the C-terminal of the globular domain.
Immunofluorescent analysis of (A) C6 rat glioma cells and (B) HEK293 human embryonic kidney cells stained with Anti-Fibrillarin Antibody [4A4] (A104318), at a dilution of 1:1,000, in red, in both cases, and co-stained with Anti-Vimentin Antibody (A85421), at a dilution of 1:10,000, in green. The blue is DAPI staining of nuclear DNA. Anti-Fibrillarin Antibody [4A4] (A104318) detects Fibrillarin protein localized in nucleoli while Anti-Vimentin Antibody (A85421) produces strong staining of cytoplasmic intermediate filaments.
Western Blot - Anti-Fibrillarin Antibody [4A4] (A104318)
Western blot analysis of different tissue and cell line lysates using Anti-Fibrillarin Antibody [4A4] (A104318), at a dilution of 1:2,000, in green. The lanes contain: [Lane 1] protein standard (red), [Lane 2] rat whole brain, [Lane 3] mouse whole brain, [Lane 4] NIH-3T3 cells, [Lane 5] HEK293, [Lane 6] HeLa, and [Lane 7] SH-SY5Y cells. Strong band at ~35kDa corresponds to Fibrillarin protein seen in all cell line lysates. A much weaker band is seen in tissue lysates since Fibrillarin is more heavily expressed in rapidly dividing cells. The blot simultaneously was probed with Anti-UCHL1 Antibody (A85348), at a dilution of 1:3,000, in red, revealing the ~25kDa UCHL1 protein in lysates of tissues containing neurons or cells with neuronal properties.
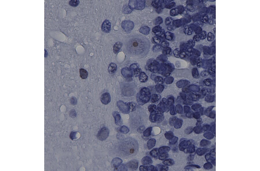
Immunohistochemistry analysis of a 4% PFA fixed paraffin embedded rat cerebellum section with Anti-Fibrillarin Antibody [4A4] (A104318) at a dilution of 1:1,000 detected with DAB (brown) using the Vector Labs ImmPRESS method and reagents with citra buffer retrieval. Counterstained with Hematoxylin (blue). The Anti-Fibrillarin Antibody [4A4] (A104318) labels nucleoli most easily observed in cells with a large cytoplasmic to nuclear ratio such as the Purkinje cells in this image. Note: this antibody performs well in testing with both 4% PFA and standard NBF fixed tissues.
Publishing research using Anti-Fibrillarin Antibody [4A4] (A104318)? Please let us know so that we can list the citation on this page.
Alternative products to Anti-Fibrillarin Antibody [4A4] (A104318)