Immunofluorescent analysis of HeLa cells stained with Anti-Fibrillarin Antibody (A104320), at a dilution of 1:5,000, in red, and Anti-Vimentin Antibody (A85421), at a dilution of 1:10,000, in green. The blue is DAPI staining of nuclear DNA. Anti-Fibrillarin Antibody (A104320) detects protein expressed in nucleoli of cells, while Anti-Vimentin Antibody (A85421) produces strong staining of cytoplasmic intermediate filaments.
Confocal immunofluorescent analysis of HeLa cells stained with Anti-Fibrillarin Antibody (A104320) at a dilution of 1:5,000 (red) and Anti-Vimentin Antibody (A85421) at a dilution of 1:10,000 (green). Nuclei were stained with DAPI (blue). The antibody detects protein expressed in the nucleoli of cells, while the vimentin antibody produces strong staining of cytoplasmic intermediate filaments.
Western Blot - Anti-Fibrillarin Antibody (A104320)
Western blot analysis of cell lysates using Anti-Fibrillarin Antibody (A104320), at a dilution of 1:5,000, in green. The lanes contain: [Lane 1] protein standard (red), [Lane 2] NIH-3T3, [Lane 3] HEK293, [Lane 4] HeLa, [Lane 5] SH-SY5Y, [Lane 6] C6, and [Lane 7] COS1 cells. The strong band at ~35kDa corresponds to Fibrillarin protein.
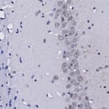
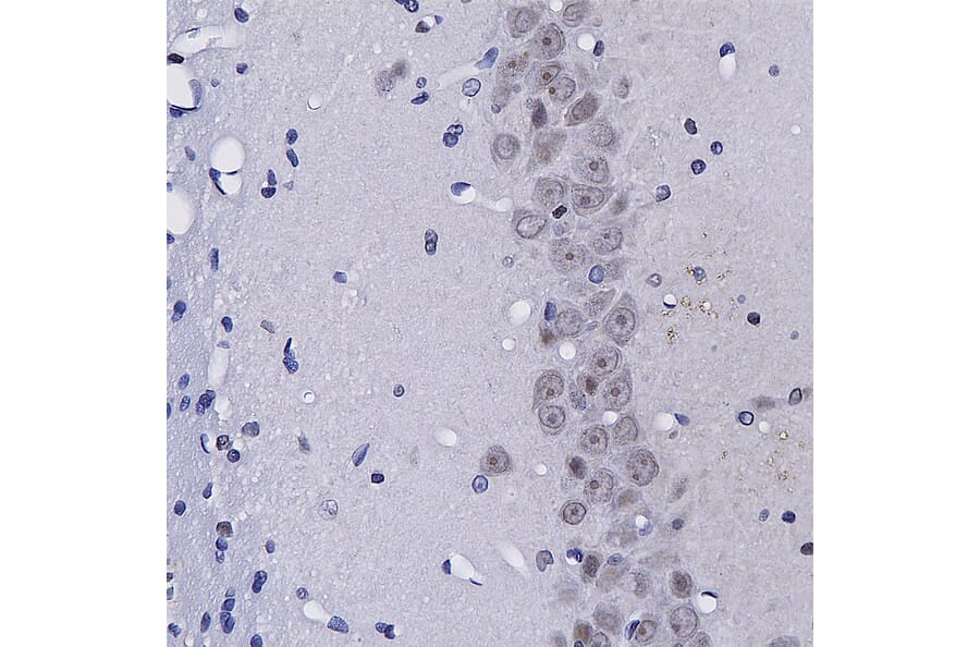
Immunohistochemistry analysis of a 4% PFA fixed paraffin embedded rat hippocampus section with Anti-Fibrillarin Antibody (A104320) at a dilution of 1:2,000 detected with DAB (brown) using the Vector Elite ABC-HRP detection and reagents with citra buffer retrieval. Counterstained with Hematoxylin (blue). The Anti-Fibrillarin Antibody (A104320) labels nucleoli and is most easily observed in actively dividing cells or cells with a large cytoplasmic to nuclear ratio. Note: this antibody performs well in testing with both 4% PFA and standard NBF fixed mouse, human, and rat tissues.
Publishing research using Anti-Fibrillarin Antibody (A104320)? Please let us know so that we can list the citation on this page.
Alternative products to Anti-Fibrillarin Antibody (A104320)