ISO 9001:2015 Certified
Live Customer Support
4.5/5 on Trustpilot
100% Quality Guarantee

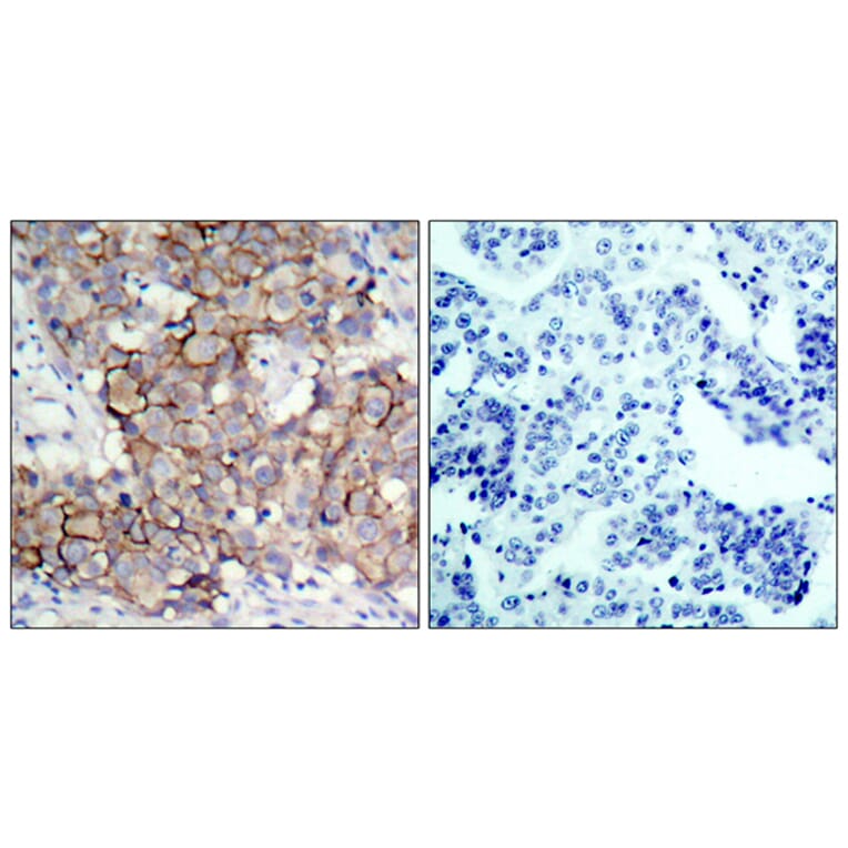
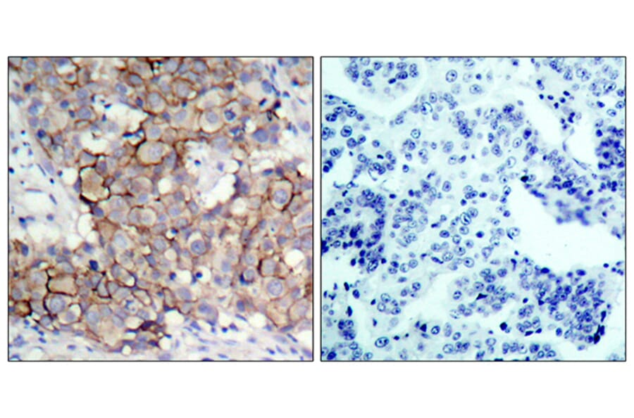
Anti-HER2 (phospho Tyr877) Antibody (A93639)

Rabbit polyclonal antibody to HER2 (phospho Tyr877) for WB, IHC, IP and ELISA.

Shipping Information

$40
Dispatched from St. Louis, MO.
Lead Time: 6-8 business days.
Name
Anti-HER2 (phospho Tyr877) Antibody
Description
Rabbit polyclonal antibody to HER2 (phospho Tyr877).
Specificity
This antibody detects endogenous levels of HER2 only when phosphorylated at Tyr877.
Applications
WB, IHC, IP, ELISA
Dilutions
WB: 1:500-1:1000, IHC: 1:50-1:100, ELISA: 1:10000
Reactivity
Human, Mouse, Rat
Immunogen
Synthetic peptide derived from human HER2 around the phosphorylation site of Tyr877 (amino acids 851-900).
Host
Rabbit
Clonality
Polyclonal
Isotype
IgG
Conjugate

Unconjugated

Purification
Purified from rabbit serum by antigen affinity chromatography using the immunizing phospho peptide.
Molecular Weight
137kDa
Product Form
Liquid
Formulation
Supplied in Phosphate Buffered Saline (without Mg2+ and Ca2+), pH 7.4, with 150mM NaCl, 0.02% Sodium Azide, and 50% Glycerol.
Storage
Shipped at 4°C. Upon delivery aliquot and store at -20°C. Avoid freeze / thaw cycles.
Synonyms
Verb b2 erythroblastic leukemia viral oncogene homolog 2, neuro/glioblastoma derived oncogene homolog, C erb B2/neu protein, CD340, CD340 antigen, Cerb B2/neu protein, CerbB2, Erb b2 receptor tyrosine kinase 2, ERBB2, ERBB2_HUMAN, HER 2, HER 2/NEU, HER2, Herstatin, Human epidermal growth factor receptor 2, Metastatic lymph node gene 19 protein, MLN 19, MLN19, NEU, NEU proto oncogene, Neuro/glioblastoma derived oncogene homolog, Neuroblastoma/glioblastoma derived oncogene homolog, NGL, p185erbB2, Proto-oncogene c-ErbB-2, Proto-oncogene Neu, Receptor tyrosine-protein kinase erbB-2, TKR1, Tyrosine kinase type cell surface receptor HER2, Tyrosine kinase-type cell surface receptor HER2, V erb b2 avian erythroblastic leukemia viral oncogene homolog 2, V erb b2 avian erythroblastic leukemia viral oncogene homolog 2 (neuro/glioblastoma derived oncogene homolog), V erb b2 avian erythroblastic leukemia viral oncoprotein 2, V erb b2 erythroblastic leukemia viral oncogene homolog 2, neuro/glioblastoma derived oncogene homolog, V erb b2 erythroblastic leukemia viral oncogene homolog 2, neuro/glioblastoma derived oncogene homolog (avian), Verb b2 erythroblastic leukemia viral oncogene homolog 2, neuro/glioblastoma derived oncogene homolog (avian)
Disclaimer
This product is for research use only. It is not intended for diagnostic or therapeutic use.
Publishing research using Anti-HER2 (phospho Tyr877) Antibody (A93639)? Please let us know so that we can list the citation on this page.

Alternative products to Anti-HER2 (phospho Tyr877) Antibody (A93639)