This antibody is not recommended for use on human tissues.
Immunogen
Recombinant fragment corresponding to amino acids 956-1,322 of mouse Ki67, a region corresponding to 2nd, 3rd, and 4th Ki67 type repeats, expressed in and purified from E. coli.
Host
Mouse
Clonality
Monoclonal
Clone ID
5F86
Isotype
IgG1
Conjugate
Unconjugated
Purification
Immunogen affinity purification.
Concentration
1 mg/ml
Molecular Weight
345 kDa, 395 kDa
Product Form
Liquid
Formulation
Supplied in Phosphate Buffered Saline with 50% Glycerol and 5mM Sodium Azide.
Storage
Shipped at 4°C. Upon delivery aliquot and store at -20°C. Avoid freeze/thaw cycles.
General Notes
Please note, Ki67 proteins are very unstable and only expressed in large amounts in situations where many cells are dividing. As a result of the very short half life of Ki67 there are usually numerous fragments visible on western blots running below the major 395 kDa and 345 kDa bands.
Synonyms
Antigen identified by monoclonal antibody Ki-67, Antigen KI-67, Antigen Ki67, MKI67, Proliferation marker protein Ki-67
Immunofluorescent analysis of HeLa cells stained with rabbit pAb to Anti-Ki67 Antibody [5F86] (A270555) at a dilution of 1:5,000 (red) and Anti-Fibrillarin Antibody [38F3] (A85370) at a dilution of 1:2,000, (green). Nuclei were stained with DAPI (blue). The Ki67 protein accumulates in and around the nucleoli of interphase cells such as those on the right, and the nucleoli are revealed by the fibrillarin antibody. In contrast, cells in the quiescent G0 state such as those on the left are Ki67 negative but fibrillarin positive.
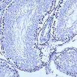
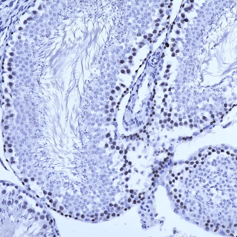
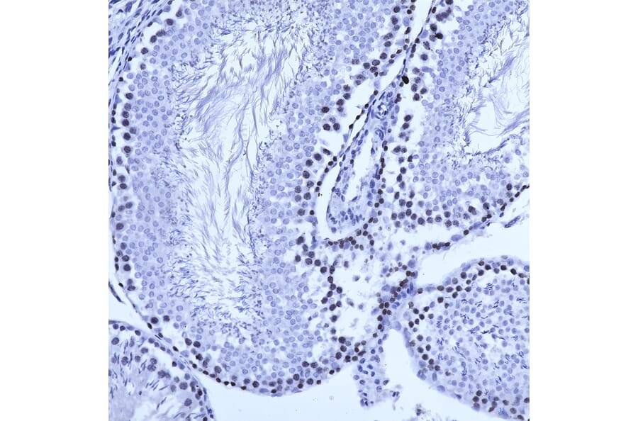
Immunohistochemistry analysis of a 4%.PFA fixed paraffin embedded rat testes section with Anti-Ki67 Antibody [5F86] (A270555) at a dilution of 1:2,000 detected with DAB (brown) using the Vector Labs ImmPRESS method and reagents with citra buffer retrieval. Counterstained with Hematoxylin (blue). In testes, the Anti-Ki67 Antibody [5F86] (A270555) antibody strongly labels the nuclei of spermatogenic cells. This antibody was not tested for staining NBF fixed tissues. Both rat and mouse tissues stain effectively with Anti-Ki67 Antibody [5F86] (A270555).
Western Blot - Anti-Ki67 Antibody [5F86] (A270555)
Western blot analysis of cell lysates from various cell lines using Anti-Ki67 Antibody [5F86] (A270555) at a dilution of 1:1,000, (green). The lanes contain: [Lane 1] protein standard (red), [Lane 2] extracts of mouse NIH/3T3, [Lane 3] rat glioma C6 cells. Strong bands above 250kDa correspond to two major isoforms of Ki67 protein expressed in the rodent cell lines and smaller fragments of these isoforms are also detected on the blot. We also tested extracts of [Lane 4] human cell lines, [Lane 5] HEK293, [Lane 6] HeLa, [Lane 6] SH-SY5Y cells, [Lane 7]. This antibody binds an epitope not conserved in human cells and so fails to stain these extracts.
Publishing research using Anti-Ki67 Antibody [5F86] (A270555)? Please let us know so that we can list the citation on this page.