Recombinant construct including amino acids 1-300 (N-terminal region) and 1,111-1,490 (internal region) of the human Ki67 sequence, a region corresponding to 2nd, 3rd, and 4th Ki67 type repeats.
Host
Chicken
Clonality
Polyclonal
Isotype
IgY
Conjugate
Unconjugated
Molecular Weight
345 kDa, 395 kDa
Purity
IgY preparation.
Product Form
Liquid
Formulation
Supplied as an aliquot of IgY preparation with 0.02% Sodium Azide.
Storage
Shipped at 4°C. Store at +4°C. Do not freeze!
General Notes
Please note, Ki67 proteins are very unstable and only expressed in large amounts in situations where many cells are dividing. As a result of the very short half life of Ki67 there are usually numerous fragments visible on western blots running below the major 395 kDa and 345 kDa bands.
Synonyms
Antigen identified by monoclonal antibody Ki-67, Antigen KI-67, Antigen Ki67, MKI67, Proliferation marker protein Ki-67
Immunofluorescent analysis of HeLa cells stained with Anti-Ki67 Antibody (A104340), at a dilution of 1:2,000, in red, and Anti-beta Tubulin Antibody [1B12] (A85428), at a dilution of 1:5,000, in green. The blue is DAPI staining of nuclear DNA. Anti-Ki67 Antibody (A104340) detects Ki67 protein predominantly expressed in nucleoli of cells in interphase and in mitotic cells Ki67 forms a coat around condensed chromosomes. Ki67 is not detected in cells in the quiescent G0 state. Anti-beta Tubulin Antibody [1B12] (A85428) produces strong staining of cytoplasmic microtubules
Western blot analysis of equal amounts of cell lysates probed with Anti-Ki67 Antibody (A104340), at a dilution of 1:5,000, in green. The lanes contain: [Lane 1] protein standard (red), [Lane 2] rapidly dividing HeLa cell cultures, and [Lane 3] rapidly dividing HEK293 cell cultures. Strong double bands above 250kDa correspond to the two major Ki67 isoforms of molecular weight 345kDa and 395kDa. Since Ki67 is a rather unstable short half life protein multiple proteolytic fragments of the two isoforms are also detected on the blot.
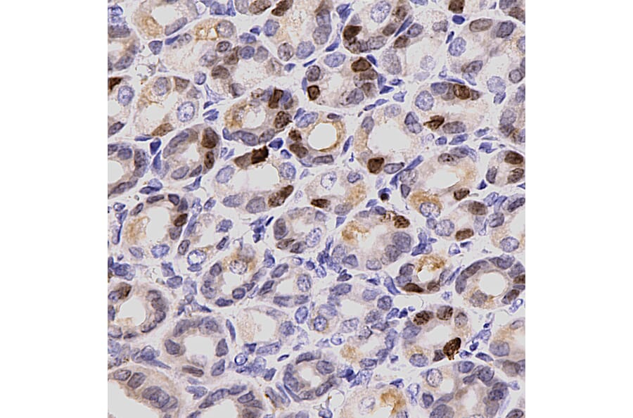
Immunohistochemistry analysis of a formalin fixed paraffin embedded murine small intestine cross section with Anti-Ki67 Antibody (A104340) at a dilution of 1:10,000 detected in DAB (brown) following the ABC method. Counterstained with Hematoxylin (blue). Anti-Ki67 Antibody (A104340) specifically detects the nuclei of proliferating intestinal cells. Mouse select image at left for larger view.
Publishing research using Anti-Ki67 Antibody (A104340)? Please let us know so that we can list the citation on this page.