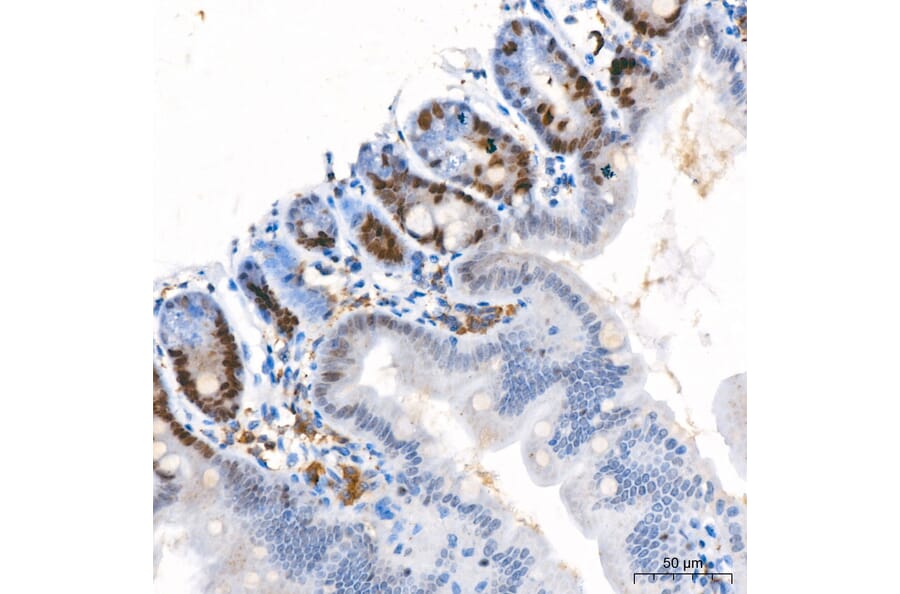
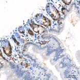
Ki67 expression in human appendix tissue analyzed by immunohistochemistry. Tissue was paraffin-embedded, and antigen retrieval was achieved with 5 mM Tris/EDTA Buffer, pH 8.0, under high pressure. Staining was performed with Anti-Ki67 Antibody [ARC5050-01] (A329549) at a dilution of 1:100.
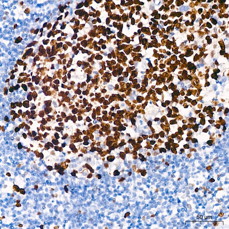
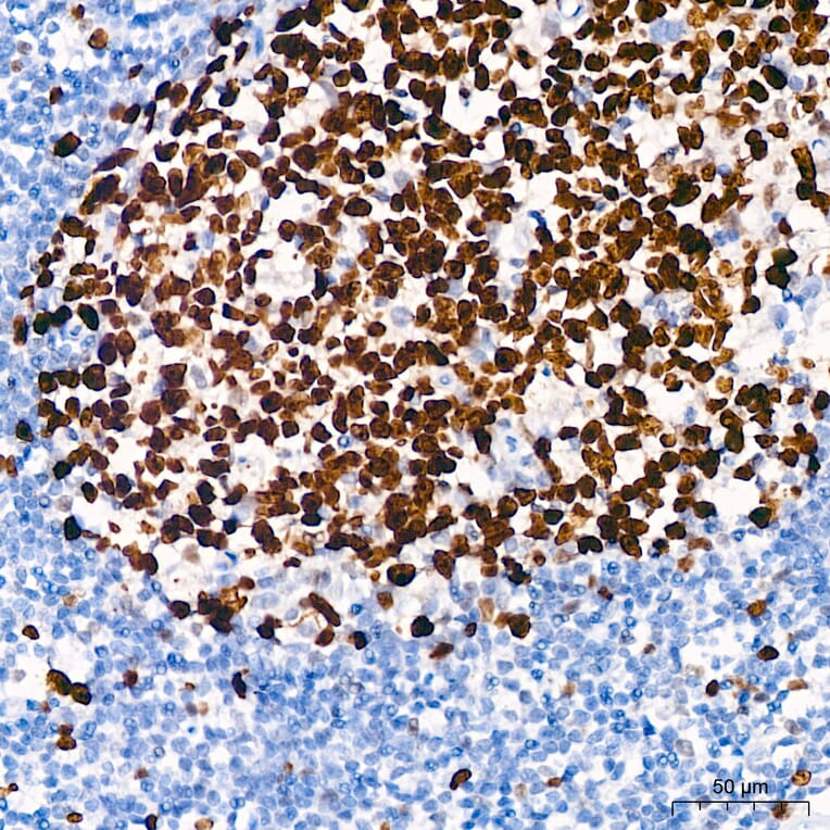
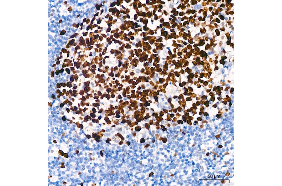
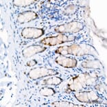
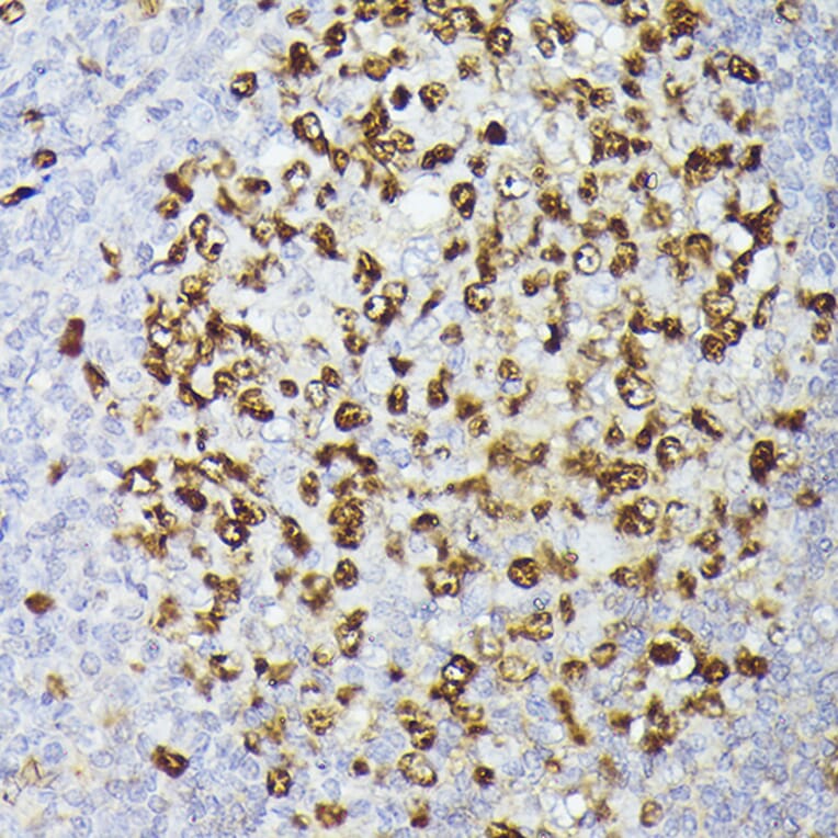
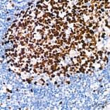
Ki67 expression in human tonsil tissue analyzed by immunohistochemistry. Tissue was paraffin-embedded, and antigen retrieval was achieved with 5 mM Tris/EDTA Buffer, pH 8.0, under high pressure. Staining was performed with Anti-Ki67 Antibody [ARC5050-01] (A329549) at a dilution of 1:100.
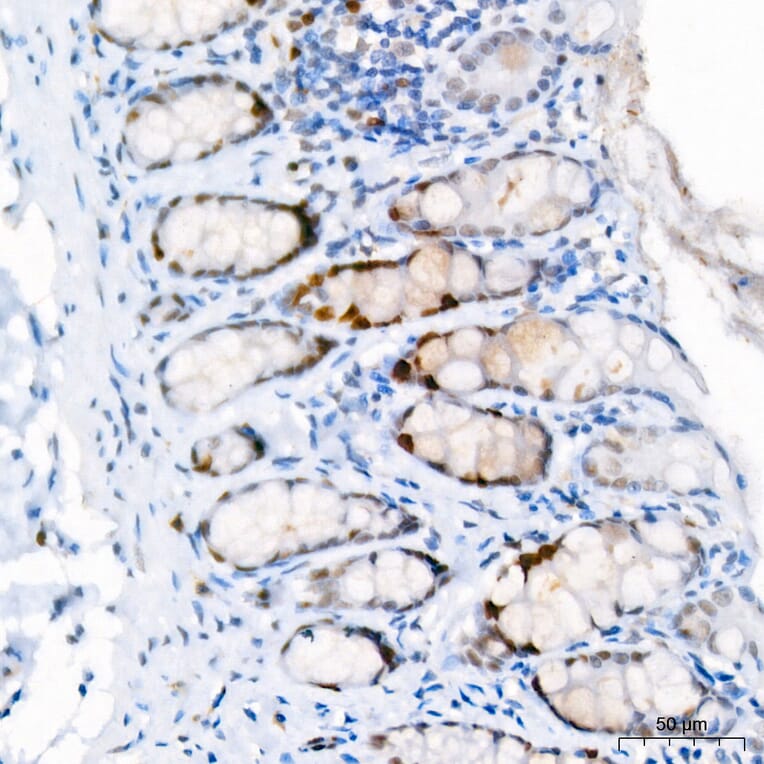
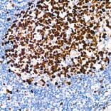
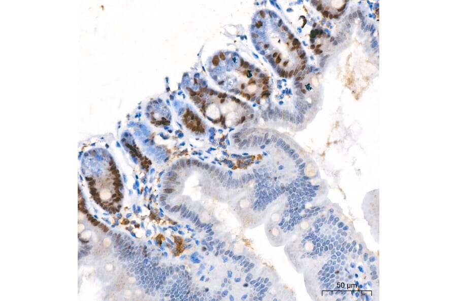
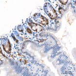
Ki67 expression in mouse intestin tissue analyzed by immunohistochemistry. Tissue was paraffin-embedded, and antigen retrieval was achieved with 10 mM citrate buffer, pH 6.0, under high pressure. Staining was performed with Anti-Ki67 Antibody [ARC5050-01] (A329549) at a dilution of 1:200.
Ki67 expression in human tonsil tissue analyzed by immunohistochemistry. Tissue was paraffin-embedded, and antigen retrieval was achieved with 10 mM citrate buffer, pH 6.0, under high pressure. Staining was performed with Anti-Ki67 Antibody [ARC5050-01] (A329549) at a dilution of 1:200.
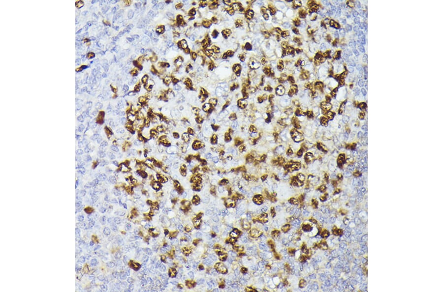
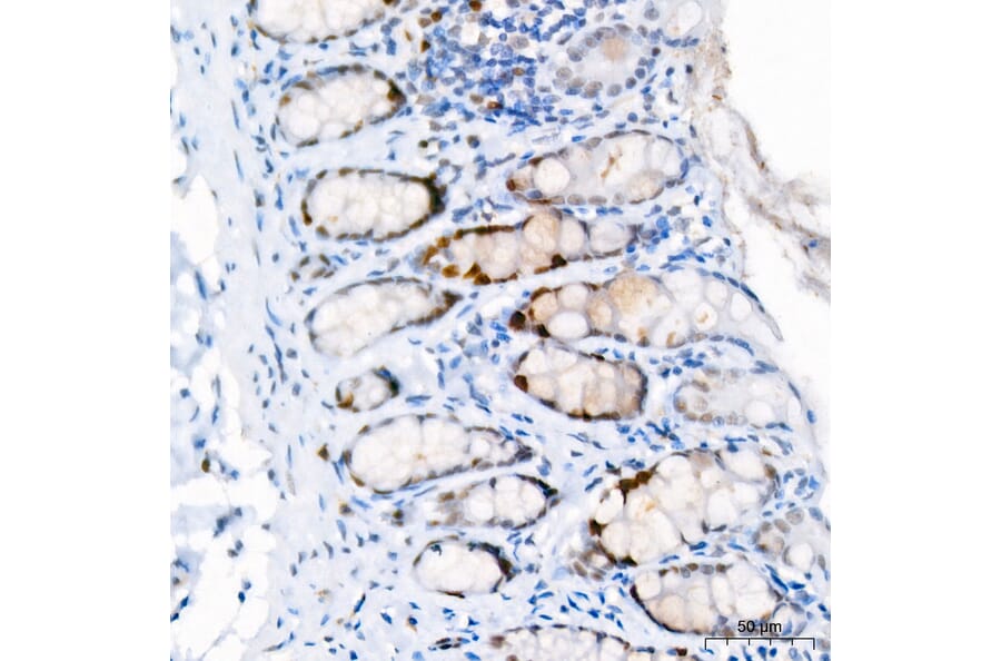
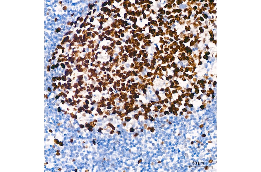
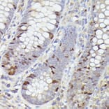
Ki67 expression in rat colon tissue analyzed by immunohistochemistry. Tissue was paraffin-embedded, and antigen retrieval was achieved with 10 mM citrate buffer, pH 6.0, under high pressure. Staining was performed with Anti-Ki67 Antibody [ARC5050-01] (A329549) at a dilution of 1:200.
Ki67 expression in human tonsil tissue analyzed by immunohistochemistry. Tissue was paraffin-embedded, and antigen retrieval was achieved with 10 mM citrate buffer, pH 6.0, under high pressure. Staining was performed with Anti-Ki67 Antibody [ARC5050-01] (A329549) at a dilution of 1:200.
Ki67 expression in mouse intestin tissue analyzed by immunohistochemistry. Tissue was paraffin-embedded, and antigen retrieval was achieved with 10 mM citrate buffer, pH 6.0, under high pressure. Staining was performed with Anti-Ki67 Antibody [ARC5050-01] (A329549) at a dilution of 1:200.
Ki67 expression in rat colon tissue analyzed by immunohistochemistry. Tissue was paraffin-embedded, and antigen retrieval was achieved with 10 mM citrate buffer, pH 6.0, under high pressure. Staining was performed with Anti-Ki67 Antibody [ARC5050-01] (A329549) at a dilution of 1:200.
Ki67 expression in A549 cells analyzed by immunofluorescence. Staining was performed with Anti-Ki67 Antibody [ARC5050-01] (A329549) at a dilution of 1:100 followed by Cy3-conjugated Goat anti-Rabbit IgG (H+L) secondary antibody at a dilution of 1:500. Nuclei were stained with DAPI (blue).
Ki67 expression in Hela cells analyzed by immunofluorescence. Staining was performed with Anti-Ki67 Antibody [ARC5050-01] (A329549) at a dilution of 1:100 followed by Cy3-conjugated Goat anti-Rabbit IgG (H+L) secondary antibody at a dilution of 1:500. Nuclei were stained with DAPI (blue).
Ki67 expression in paraffin-embedded Mouse spleen tissue analyzed by immunofluorescence. Staining was performed with Anti-Ki67 Antibody [ARC5050-01] (A329549) at a dilution of 1:100 followed by Cy3-conjugated Goat anti-Rabbit IgG (H+L) secondary antibody at a dilution of 1:500. Nuclei were stained with DAPI (blue).
Ki67 expression in paraffin-embedded Rat spleen tissue analyzed by immunofluorescence. Staining was performed with Anti-Ki67 Antibody [ARC5050-01] (A329549) at a dilution of 1:100 followed by Cy3-conjugated Goat anti-Rabbit IgG (H+L) secondary antibody at a dilution of 1:500. Nuclei were stained with DAPI (blue).