This antibody binds to the MAP2A and MAP2B isoforms but does not bind to the MAP2C and MAP2D isoforms which lack projection domain sequences.
Applications
WB, ICC/IF
Dilutions
WB: 1:50,000, ICC/IF: 1:10,000
Reactivity
Human, Rat, Mouse, Bovine
Immunogen
Mixture of recombinant fragments corresponding to amino acids 377-1,505 of human MAP2 Projection P1, human MAP2 Projection P2, and human MAP2 Projection P3.
Host
Rabbit
Clonality
Polyclonal
Isotype
IgG
Conjugate
Unconjugated
Molecular Weight
280 kDa (by SDS-PAGE)
Purity
Whole antiserum.
Product Form
Liquid
Formulation
Supplied as an aliquot of serum with 5mM Sodium Azide.
Storage
Shipped at 4°C. Upon delivery aliquot and store at -20°C. Avoid freeze/thaw cycles.
Immunofluorescent analysis of rat brain striatum stained with Anti-MAP2 Antibody (A270598) at a dilution of 1:10,000 (red) and costained with Anti-Myelin Basic Protein Antibody (A85321) at a dilution of 1:5,000 (green). Nuclei were stained with Hoechst (blue). This antibody stains dendrites and perikarya of neurons, while the Myelin Basic Protein antibody labels oligodendrocytes and myelin sheathes around axons.
Immunofluorescent analysis of rat cerebellum stained withAnti-MAP2 Antibody (A270598) at a dilution of 1:10,000 (red) and costained with Anti-Myelin Basic Protein Antibody (A85321) at a dilution of 1:5,000 (green). Nuclei were stained with Hoechst (blue). This antibody stains dendrites and perikarya of neurons, while MBP antibody labels oligodendrocytes and myelin sheathes around axons.
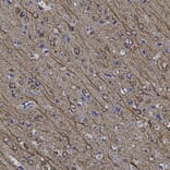
Immunohistochemistry analysis of a NBF fixed paraffin embedded human brain cortex section with Anti-MAP2 Antibody (A270598) at a dilution of 1:5,000 detected with DAB (brown) using the Vector Labs ImmPRESS method and reagents with citra buffer retrieval. Counterstained with Hematoxylin (blue). The Anti-MAP2 Antibody (A270598) specifically labels the perikarya and dendrites of neurons and does not label axons. Note: this antibody performs well in testing with 4% PFA and standard NBF fixed mouse, rat and human tissue.
Western blot analysis of different tissue lysates using Anti-MAP2 Antibody (A270598) at a dilution of 1:50,000 (green). The lanes contain: [Lane 1] protein standard (red), [Lane 2] rat brain, [Lane 3] mouse brain, and [Lane 4] caw cortex. Strong band at about 280kDa mark corresponds to the two major high molecular weight MAP2 isoforms referred to as MAP2A and MAP2B. Smaller fragments of these isoforms are also detected on the blot, but the MAP2C and MAP2D isoforms are not.
Publishing research using Anti-MAP2 Antibody (A270598)? Please let us know so that we can list the citation on this page.