ISO 9001:2015 Certified
Live Customer Support
4.5/5 on Trustpilot
100% Quality Guarantee

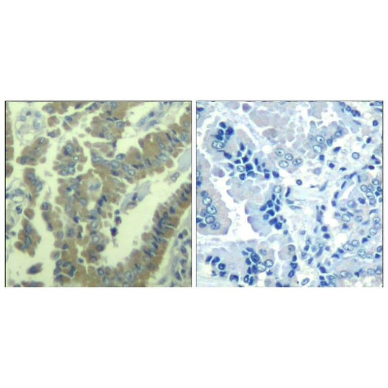
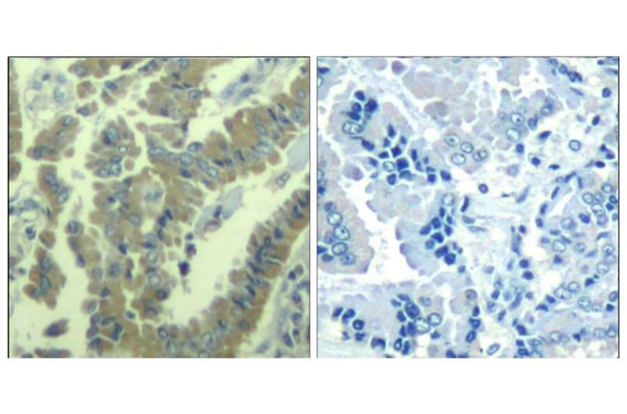
Anti-MARCKS (phospho-Ser170) Antibody (A50400)

$290

Rabbit polyclonal antibody to MARCKS (phospho-Ser170) for WB and IHC.

Shipping Information

$40
Dispatched from St. Louis, MO.
Lead Time: 6-9 business days.
Name
Anti-MARCKS (phospho-Ser170) Antibody
Description
Rabbit polyclonal antibody to MARCKS (phospho-Ser170)
Specificity
The antibody detects endogenous level of MARCKS only when phosphorylated at threonine 170.
Applications
WB, IHC
Dilutions
Western blotting: 1:500~1:1000 Immunohistochemistry: 1:50~1:100
Reactivity
Human
Immunogen
Peptide sequence around phosphorylation site of Serine 170 (G-F-S(p)-F-K) derived from Human MARCKS.
Host
Rabbit
Clonality
Polyclonal
Conjugate

Unconjugated

Purification
Antibodies were produced by immunizing rabbits with synthetic phosphopeptide and KLH conjugates. Antibodies were purified by affinity-chromatography using epitope-specific phosphopeptide. Non-phospho specific antibodies were removed by chromatogramphy using non-phosphopeptide.
Concentration
1 mg/ml
Predicted MW
80kd
Formulation
Supplied at 1.0mg / mL in phosphate buffered saline (without Mg2+ and Ca2+), pH 7.4, 150mM NaCl, 0.02% sodium azide and 50% glycerol.
Storage
Store at -20°C for long term preservation (recommended). Store at 4°C for short term use.
Synonyms
80K-L protein, MACS, Myristoylated alanine-rich C-kinase substrate, PKCSL, PRKCSL, Protein kinase C substrate, 80 kDa protein, light chain
Disclaimer
This product is for research use only. It is not intended for diagnostic or therapeutic use.
Publishing research using Anti-MARCKS (phospho-Ser170) Antibody (A50400)? Please let us know so that we can list the citation on this page.

Alternative products to Anti-MARCKS (phospho-Ser170) Antibody (A50400)

Proteins predicted to interact with MARCKS

Predicted protein interactions based upon String database. Revelancy score correlates with probability of interaction.
99.5% Relevancy Score
99.5% Relevancy Score
95.2% Relevancy Score
94.6% Relevancy Score
94.1% Relevancy Score
93.5% Relevancy Score
91.7% Relevancy Score
90.8% Relevancy Score
84.5% Relevancy Score