Primary Antibodies
Secondary Antibodies
Proteins & Peptides
ELISA Kits
About Us
Contact Us
Sign In/Register
0
ISO 9001:2015 Certified
Live Customer Support
4.5/5 on Trustpilot
100% Quality Guarantee
Home
Primary Antibodies
CD146 Antibodies
Anti-MCAM Antibody (A38801)
Anti-MCAM Antibody (A38801)
Overview
Specifications
Images
Enlarge Image
Enlarge Image
$430
Rabbit polyclonal antibody to MCAM for WB and IHC.
100% Guarantee
Price Match Guarantee
Product Size:
100µl
Quantity:
1
2
3
4
5
6
7
8
9
10
Add To Cart
Request a Quotation
Custom or Bulk Request
Shipping Information
Freight/Packing Charges:
$40
Dispatched from St. Louis, MO.
Lead Time: 6-9 business days.
Tags:
Endothelial Cell Marker
Endothelial Stem Cell Marker
Neural Stem Cell Marker
Pericyte Marker
Specifications
Name
Anti-MCAM Antibody
Description
Rabbit polyclonal antibody to MCAM
Specificity
The antibody detects endogenous levels of total MCAM protein.
Applications
WB
,
IHC
Reactivity
Human
Immunogen
Synthetic peptide corresponding to a region derived from internal residues of human melanoma cell adhesion molecule
Host
Rabbit
Clonality
Polyclonal
Conjugate
Unconjugated
Purification
Antigen affinity purification.
Concentration
1.7mg / ml
Formulation
Rabbit IgG in pH7.3 PBS, 0.05% NaN3, 50% Glycerol.
Storage
Store at -20˚C
Synonyms
Cell surface glycoprotein MUC18, Cell surface glycoprotein P1H12, Melanoma cell adhesion molecule, Melanoma-associated antigen A32, Melanoma-associated antigen MUC18, MUC18, S-endo 1 endothelial-associated antigen
Suitable Secondaries
Goat Anti-Rabbit IgG H&L Antibody (AP) (A294874)
Goat Anti-Rabbit IgG H&L Antibody (Biotin) (A294795)
Goat Anti-Rabbit IgG H&L Antibody (FITC) (A294887)
Goat Anti-Rabbit IgG H&L Antibody (HRP) (A294888)
See all Anti-Rabbit IgG Secondaries →
Disclaimer
This product is for research use only. It is not intended for diagnostic or therapeutic use.
Scientific Validation Data
Validation Data
(2)
Enlarge Image
Anti-MCAM Antibody (A38801)
Gel: 8% SDS-PAGE Lysates (from left to right): Human leiomyosarcoma tissue Amount of lysate: 40ug per lane Primary antibody: 1/850 dilution Secondary antibody dilution: 1/8000 Exposure time: 10 seconds
Enlarge Image
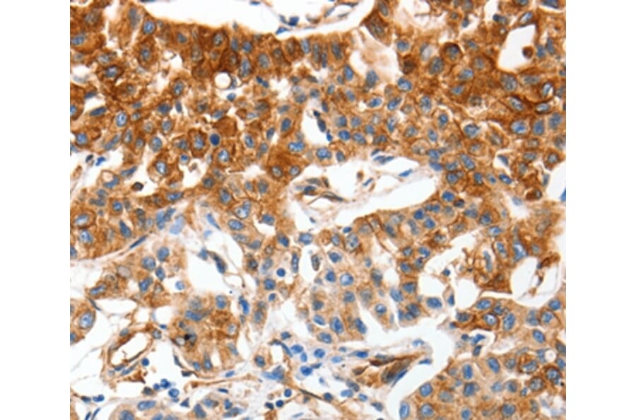
Immunohistochemistry - Anti-MCAM Antibody (A38801)
Immunohistochemical analysis of paraffin-embedded Human lung cancer tissue using #37174 at dilution 1/50.
Publishing research using Anti-MCAM Antibody (A38801)? Please
let us know
so that we can list the citation on this page.
Alternative products to Anti-MCAM Antibody (A38801)
A85909
Anti-CD146 Antibody [P1H12]
Mouse monoclonal [P1H12] antibody to CD146 for Flow Cytometry, IP, WB, IHC-P, IHC-Fr and ICC.
A281356
Anti-CD146 Antibody [OJ79c]
Mouse monoclonal [OJ79c] antibody to CD146 for Flow Cytometry, IHC-Fr, ELISA and IF.
(2)
A323502
Imaprelimab Biosimilar - Anti-CD146 Antibody - Low endotoxin, Azide free
Recombinant human monoclonal antibody to CD146 for ELISA, FACS, Kinetics (BLI), Kinetics (SPR) and Functional Assay.
(3)
A338952
Anti-CD146 Antibody [Abx-Ma1] Biosimilar - BSA and Azide free
Human monoclonal antibody to CD146 Research grade Abx-Ma1 biosimilar for ELISA, Flow Cytometry, Functional Studies and in vivo Research.
(3)
A252473
Anti-CD146 Antibody [MUC18/1130] - BSA and Azide free
Mouse monoclonal [MUC18/1130] antibody to CD146 for Flow Cytometry, IF and IHC-P.
(3)
A249290
Anti-CD146 Antibody [MCAM/1101]
Mouse monoclonal [MCAM/1101] antibody to CD146 for Flow Cytometry, IF and IHC-P.
(3)
A252470
Anti-CD146 Antibody [MCAM/1101] - BSA and Azide free
Mouse monoclonal [MCAM/1101] antibody to CD146 for Flow Cytometry, IF and IHC-P.
(3)
A249293
Anti-CD146 Antibody [MUC18/1130]
Mouse monoclonal [MUC18/1130] antibody to CD146 for Flow Cytometry, IF and IHC-P.
(4)
A249295
Anti-CD146 Antibody [MCAM/3046]
Mouse monoclonal [MCAM/3046] antibody to CD146 for IHC-P.
(4)
A252475
Anti-CD146 Antibody [MCAM/3046] - BSA and Azide free
Mouse monoclonal [MCAM/3046] antibody to CD146 for IHC-P.
(2)
A249292
Anti-CD146 Antibody [C146/634]
Mouse monoclonal [C146/634] antibody to CD146 for Flow Cytometry, IF and IHC-P.
A338599
Imaprelimab Biosimilar - Anti-CD146 Antibody - BSA and Azide free
Humanized monoclonal antibody to CD146 Research grade Imaprelimab biosimilar for ELISA, Flow Cytometry, Functional Studies and in vivo Research.
A85909
Anti-CD146 Antibody [P1H12]
Mouse monoclonal [P1H12] antibody to CD146 for Flow Cytometry, IP, WB, IHC-P, IHC-Fr and ICC.
A281356
Anti-CD146 Antibody [OJ79c]
Mouse monoclonal [OJ79c] antibody to CD146 for Flow Cytometry, IHC-Fr, ELISA and IF.
(2)
A323502
Imaprelimab Biosimilar - Anti-CD146 Antibody - Low endotoxin, Azide free
Recombinant human monoclonal antibody to CD146 for ELISA, FACS, Kinetics (BLI), Kinetics (SPR) and Functional Assay.
(3)
A338952
Anti-CD146 Antibody [Abx-Ma1] Biosimilar - BSA and Azide free
Human monoclonal antibody to CD146 Research grade Abx-Ma1 biosimilar for ELISA, Flow Cytometry, Functional Studies and in vivo Research.
(3)
A252473
Anti-CD146 Antibody [MUC18/1130] - BSA and Azide free
Mouse monoclonal [MUC18/1130] antibody to CD146 for Flow Cytometry, IF and IHC-P.
(3)
A249290
Anti-CD146 Antibody [MCAM/1101]
Mouse monoclonal [MCAM/1101] antibody to CD146 for Flow Cytometry, IF and IHC-P.
(3)
A252470
Anti-CD146 Antibody [MCAM/1101] - BSA and Azide free
Mouse monoclonal [MCAM/1101] antibody to CD146 for Flow Cytometry, IF and IHC-P.
(3)
A249293
Anti-CD146 Antibody [MUC18/1130]
Mouse monoclonal [MUC18/1130] antibody to CD146 for Flow Cytometry, IF and IHC-P.
(4)
A249295
Anti-CD146 Antibody [MCAM/3046]
Mouse monoclonal [MCAM/3046] antibody to CD146 for IHC-P.
(4)
A252475
Anti-CD146 Antibody [MCAM/3046] - BSA and Azide free
Mouse monoclonal [MCAM/3046] antibody to CD146 for IHC-P.
(2)
A249292
Anti-CD146 Antibody [C146/634]
Mouse monoclonal [C146/634] antibody to CD146 for Flow Cytometry, IF and IHC-P.
A338599
Imaprelimab Biosimilar - Anti-CD146 Antibody - BSA and Azide free
Humanized monoclonal antibody to CD146 Research grade Imaprelimab biosimilar for ELISA, Flow Cytometry, Functional Studies and in vivo Research.
See all MCAM Antibodies
Proteins predicted to interact with CD146
Predicted protein interactions based upon String database. Revelancy score correlates with probability of interaction.
Laminin alpha 4 Antibodies
96.1% Relevancy Score
VEGF Receptor 2 Antibodies
94.1% Relevancy Score
RhoB Antibodies
88.9% Relevancy Score
CD31 Antibodies
85.2% Relevancy Score
CD105 Antibodies
83.4% Relevancy Score
Integrin beta 1 Antibodies
82% Relevancy Score
FZD3 Antibodies
80.6% Relevancy Score
CD90 Antibodies
80.5% Relevancy Score
CD73 Antibodies
80.2% Relevancy Score
Top