Primary Antibodies
Secondary Antibodies
Proteins & Peptides
ELISA Kits
About Us
Contact Us
Sign In/Register
0
ISO 9001:2015 Certified
Live Customer Support
4.5/5 on Trustpilot
100% Quality Guarantee
Home
Primary Antibodies
MIF Antibodies
Anti-MIF Antibody (A39061)
Anti-MIF Antibody (A39061)
Overview
Specifications
Images
Enlarge Image
Enlarge Image
$415
Product Datasheet
Rabbit polyclonal antibody to MIF for WB and IHC.
100% Guarantee
Price Match Guarantee
Product Size:
50µl
100µl
Quantity:
1
2
3
4
5
6
7
8
9
10
Add To Cart
Request a Quotation
Custom or Bulk Request
Shipping Information
Freight/Packing Charges:
$40
Dispatched from St. Louis, MO.
Lead Time: 6-9 business days.
Specifications
Name
Anti-MIF Antibody
Description
Rabbit polyclonal antibody to MIF
Specificity
The antibody detects endogenous level of total MIF protein.
Applications
WB
,
IHC
Reactivity
Human, Mouse, Rat
Immunogen
Recombinant protein of human MIF.
Host
Rabbit
Clonality
Polyclonal
Conjugate
Unconjugated
Purification
Antibodies were purified by affinity purification using immunogen.
Concentration
1.0 mg/mL
Formulation
Supplied in phosphate-buffered saline (without Mg²? and Ca²?), pH 7.4, containing 150 mM NaCl, 0.02% sodium azide, and 50% glycerol.
Storage
Shipped at 4°C. Upon delivery aliquot and store at -20°C. Avoid freeze/thaw cycles.
Synonyms
EC:5.3.3.12, GIF, GLIF, Glycosylation-inhibiting factor, L-dopachrome isomerase, L-dopachrome tautomerase, Macrophage migration inhibitory factor, MMIF, Phenylpyruvate tautomerase
Suitable Secondaries
Goat Anti-Rabbit IgG H&L Antibody (AP) (A294874)
Goat Anti-Rabbit IgG H&L Antibody (Biotin) (A294795)
Goat Anti-Rabbit IgG H&L Antibody (FITC) (A294887)
Goat Anti-Rabbit IgG H&L Antibody (HRP) (A294888)
See all Anti-Rabbit IgG Secondaries →
Disclaimer
This product is for research use only. It is not intended for diagnostic or therapeutic use.
Scientific Validation Data
Validation Data
(2)
Enlarge Image
Anti-MIF Antibody (A39061)
Western blot analysis of extracts of Jurkat cell lines, using MIF antibody.
Enlarge Image
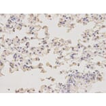
Immunohistochemistry - Anti-MIF Antibody (A39061)
Immunohistochemical analysis of paraffin-embedded mouse lung using MIF antibody at dilution of 1: 100 (400x lens).
Publishing research using Anti-MIF Antibody (A39061)? Please
let us know
so that we can list the citation on this page.
Alternative products to Anti-MIF Antibody (A39061)
(3)
A84089
Anti-MIF Antibody
Goat polyclonal antibody to MIF for ELISA, WB and IHC.
(6)
A98475
Anti-MIF Antibody
Rabbit polyclonal antibody to MIF for WB and ELISA.
(2)
A323501
Imalumab Biosimilar - Anti-MIF Antibody - Low endotoxin, Azide free
Recombinant human monoclonal antibody to MIF for ELISA, FACS, Functional Assay and In Vivo.
(2)
A29918
Anti-MIF Antibody
Rabbit polyclonal antibody to MIF for WB and IHC.
(4)
A277706
Anti-MIF Antibody [MIF/3488]
Mouse monoclonal [MIF/3488] antibody to MIF for WB and IHC-P.
(4)
A278294
Anti-MIF Antibody [MIF/3488] - BSA and Azide free
Mouse monoclonal [MIF/3488] antibody to MIF for WB and IHC-P.
(3)
A308197
Anti-MIF Antibody
Rabbit polyclonal antibody to MIF for WB.
(2)
A338823
Imalumab Biosimilar - Anti-MIF Antibody - BSA and Azide free
Human monoclonal antibody to MIF Research grade Imalumab biosimilar for ELISA, Flow Cytometry, Functional Studies and in vivo Research.
A58119
Anti-MIF Antibody [P4E4AT]
Mouse monoclonal [P4E4AT] antibody to MIF for ELISA and WB.
(3)
A277708
Anti-MIF Antibody [MIF/3490]
Mouse monoclonal [MIF/3490] antibody to MIF for WB and IHC-P.
(3)
A277707
Anti-MIF Antibody [MIF/3489]
Mouse monoclonal [MIF/3489] antibody to MIF for WB and IHC-P.
(3)
A278296
Anti-MIF Antibody [MIF/3490] - BSA and Azide free
Mouse monoclonal [MIF/3490] antibody to MIF for WB and IHC-P.
(3)
A84089
Anti-MIF Antibody
Goat polyclonal antibody to MIF for ELISA, WB and IHC.
(6)
A98475
Anti-MIF Antibody
Rabbit polyclonal antibody to MIF for WB and ELISA.
(2)
A323501
Imalumab Biosimilar - Anti-MIF Antibody - Low endotoxin, Azide free
Recombinant human monoclonal antibody to MIF for ELISA, FACS, Functional Assay and In Vivo.
(2)
A29918
Anti-MIF Antibody
Rabbit polyclonal antibody to MIF for WB and IHC.
(4)
A277706
Anti-MIF Antibody [MIF/3488]
Mouse monoclonal [MIF/3488] antibody to MIF for WB and IHC-P.
(4)
A278294
Anti-MIF Antibody [MIF/3488] - BSA and Azide free
Mouse monoclonal [MIF/3488] antibody to MIF for WB and IHC-P.
(3)
A308197
Anti-MIF Antibody
Rabbit polyclonal antibody to MIF for WB.
(2)
A338823
Imalumab Biosimilar - Anti-MIF Antibody - BSA and Azide free
Human monoclonal antibody to MIF Research grade Imalumab biosimilar for ELISA, Flow Cytometry, Functional Studies and in vivo Research.
A58119
Anti-MIF Antibody [P4E4AT]
Mouse monoclonal [P4E4AT] antibody to MIF for ELISA and WB.
(3)
A277708
Anti-MIF Antibody [MIF/3490]
Mouse monoclonal [MIF/3490] antibody to MIF for WB and IHC-P.
(3)
A277707
Anti-MIF Antibody [MIF/3489]
Mouse monoclonal [MIF/3489] antibody to MIF for WB and IHC-P.
(3)
A278296
Anti-MIF Antibody [MIF/3490] - BSA and Azide free
Mouse monoclonal [MIF/3490] antibody to MIF for WB and IHC-P.
See all MIF Antibodies
Proteins predicted to interact with MIF
Predicted protein interactions based upon String database. Revelancy score correlates with probability of interaction.
CD74 Antibodies
99.9% Relevancy Score
CXCR2 Antibodies
99.3% Relevancy Score
CXCR4 Antibodies
99.1% Relevancy Score
JAB1 Antibodies
97.6% Relevancy Score
GOT2 Antibodies
92.9% Relevancy Score
GOT1 Antibodies
91.5% Relevancy Score
ATTY Antibodies
91% Relevancy Score
HPD Antibodies
90.9% Relevancy Score
CD44 Antibodies
86.3% Relevancy Score
Top