ISO 9001:2015 Certified
Live Customer Support
4.5/5 on Trustpilot
100% Quality Guarantee

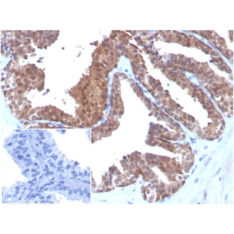
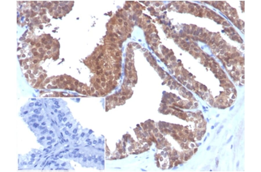
Anti-MIF Antibody [MIF/3488] - BSA and Azide free (A278294)

Mouse monoclonal [MIF/3488] antibody to MIF for WB and IHC-P.

Alternative Formats and ConjugatesAlternative Formats

Shipping Information

$40
Dispatched from St. Louis, MO.
Lead Time: 5-8 business days.
Name
Anti-MIF Antibody [MIF/3488] - BSA and Azide free
Description
Mouse monoclonal [MIF/3488] antibody to MIF.
Specificity
Macrophage migration inhibitory factor, known as MIF or glycosylationinhibiting factor, is a secreted, homotrimeric, pro-inflammatory cytokine that modulates macrophage and T cell function and is an important regulator of host response to infection. MIF is expressed at sites of inflammation, which suggests that it plays a role in regulating macrophage function in host defense. MIF is produced by the pituitary gland and is found in monocytes, macrophages, differentiating immunological cells in the eye lens and brain, and fibroblasts. Elevated levels of MIF protein are detected in the plasma of patients with severe sepsis or septic shock, a condition where MIF influences endotoxic shock by enhancing the production of other inflammatory cytokines including tumor necrosis factor α (TNFα), interleukin-1 (IL-1) and interferon-γ (IFN-γ). MIF promotes the systemic inflammatory response by counter-regulating glucocorticoid-mediated inhibition of immune-cell activation and proinflammatory cytokine production. MIF may mediate tissue destruction through the induction of proteinases.
Applications
WB, IHC-P
Dilutions
WB: 1-2 µg/ml, IHC-P: 1-2 µg/ml
Reactivity
Human
Immunogen
Recombinant fragment corresponding to human MIF protein. The exact sequence is proprietary.
Host
Mouse
Clonality
Monoclonal
Clone ID
MIF/3488
Isotype
IgG2a
Light Chains
kappa
Conjugate

Unconjugated

Purification
Protein A/G chromatography.
Concentration
1 mg/ml
Molecular Weight
13 kDa
Product Form
Liquid
Formulation
Supplied in 10mM Phosphate Buffered Saline; without Sodium Azide and carrier free.
Storage
Shipped at 4°C. Upon delivery aliquot and store at -20°C. Avoid freeze / thaw cycles.
General Notes
This monoclonal antibody is also available in a different formulation with BSA and Sodium Azide - Anti-MIF Antibody [MIF/3488] (A277706).
Synonyms
EC:5.3.3.12, GIF, GLIF, Glycosylation-inhibiting factor, L-dopachrome isomerase, L-dopachrome tautomerase, Macrophage migration inhibitory factor, MMIF, Phenylpyruvate tautomerase
Disclaimer
This product is for research use only. It is not intended for diagnostic or therapeutic use.
Publishing research using Anti-MIF Antibody [MIF/3488] - BSA and Azide free (A278294)? Please let us know so that we can list the citation on this page.

Alternative products to Anti-MIF Antibody [MIF/3488] - BSA and Azide free (A278294)

Proteins predicted to interact with MIF

Predicted protein interactions based upon String database. Revelancy score correlates with probability of interaction.
99.9% Relevancy Score
99.3% Relevancy Score
99.1% Relevancy Score
97.6% Relevancy Score
92.9% Relevancy Score
91.5% Relevancy Score
91% Relevancy Score
90.9% Relevancy Score
86.3% Relevancy Score