Primary Antibodies
Secondary Antibodies
Proteins & Peptides
ELISA Kits
About Us
Contact Us
Sign In/Register
0
ISO 9001:2015 Certified
Live Customer Support
4.5/5 on Trustpilot
100% Quality Guarantee
Home
Primary Antibodies
c-Myc Antibodies
Anti-Myc (phospho Ser373) Antibody (A94655)
Anti-Myc (phospho Ser373) Antibody (A94655)
Overview
Specifications
Images
Enlarge Image
$200
Product Datasheet
Rabbit polyclonal antibody to Myc (phospho Ser373) for IHC, IF, IP and ELISA.
100% Guarantee
Price Match Guarantee
Product Size:
10µg
100µg
Quantity:
1
2
3
4
5
6
7
8
9
10
Add To Cart
Request a Quotation
Custom or Bulk Request
Shipping Information
Freight/Packing Charges:
$40
Dispatched from St. Louis, MO.
Lead Time: 6-8 business days.
Tags:
Epitope Tag
Hematopoietic Stem Cell Marker
Specifications
Name
Anti-Myc (phospho Ser373) Antibody
Description
Rabbit polyclonal antibody to Myc (phospho Ser373).
Specificity
This antibody detects endogenous levels of Myc only when phosphorylated at Ser373.
Applications
IHC
,
IF
,
IP
,
ELISA
Dilutions
IHC: 1:50~1:100, ELISA: 1:20000
Reactivity
Human, Mouse, Rat
Cross Reactivity
No reported cross-reactivity.
Immunogen
Synthetic peptide derived from human Myc around the phosphorylation site of Ser373 (amino acids 340-389).
Host
Rabbit
Clonality
Polyclonal
Isotype
IgG
Conjugate
Unconjugated
Purification
Purified from rabbit serum by antigen affinity chromatography using the immunizing phospho peptide.
Molecular Weight
48kDa
Product Form
Liquid
Formulation
Supplied in Phosphate Buffered Saline (without Mg2+ and Ca2+), pH 7.4, with 150mM NaCl, 0.02% Sodium Azide, and 50% Glycerol.
Storage
Shipped at 4°C. Upon delivery aliquot and store at -20°C. Avoid freeze / thaw cycles.
Synonyms
BHLHE39, Class E basic helix-loop-helix protein 39, MYC, Myc proto-oncogene protein, Proto-oncogene c-Myc, Transcription factor p64
Isotype Controls
Rabbit IgG (A82272)
Rabbit IgG (A17360)
Suitable Secondaries
Goat Anti-Rabbit IgG H&L Antibody (AP) (A294874)
Goat Anti-Rabbit IgG H&L Antibody (Biotin) (A294795)
Goat Anti-Rabbit IgG H&L Antibody (FITC) (A294887)
Goat Anti-Rabbit IgG H&L Antibody (HRP) (A294888)
See all Anti-Rabbit IgG Secondaries →
Disclaimer
This product is for research use only. It is not intended for diagnostic or therapeutic use.
Scientific Validation Data
Validation Data
(1)
Enlarge Image
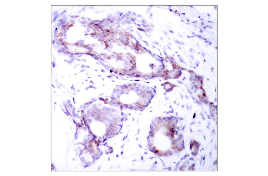
Immunohistochemistry - Anti-Myc (phospho Ser373) Antibody (A94655)
Immunohistochemical analysis of paraffin-embedded human breast carcinoma using Anti-Myc (phospho Ser373) Antibody.
Publishing research using Anti-Myc (phospho Ser373) Antibody (A94655)? Please
let us know
so that we can list the citation on this page.
Most popular Anti-c-Myc Antibodies
(5)
A93985
Anti-Myc (phospho Ser62) Antibody
Rabbit polyclonal antibody to Myc (phospho Ser62) for WB, IHC, IF and ELISA.
(5)
A93985
Anti-Myc (phospho Ser62) Antibody
Rabbit polyclonal antibody to Myc (phospho Ser62) for WB, IHC, IF and ELISA.
Alternative products to Anti-Myc (phospho Ser373) Antibody (A94655)
(4)
A93984
Anti-Myc (phospho Thr58) Antibody
Rabbit polyclonal antibody to Myc (phospho Thr58) for WB, IHC, IF, IP and ELISA.
(5)
A307622
Anti-c-Myc Antibody [ARC0412]
Rabbit monoclonal [ARC0412] antibody to c-Myc for WB, IP and ChIP.
(8)
A96444
Anti-MYC Antibody
Rabbit polyclonal antibody to MYC for WB, IHC, IF and ELISA.
A278887
Anti-c-Myc Antibody [9E10]
Mouse monoclonal [9E10] antibody to c-Myc for WB, IHC-P, IHC-Fr, ELISA and Flow Cytometry.
(5)
A34419
Anti-c-Myc Antibody
Rabbit polyclonal antibody to c-Myc for ELISA, WB, ICC/IF and IHC.
(4)
A95482
Anti-MYC Antibody
Rabbit polyclonal antibody to MYC for WB,IHC-p,IF/ICC and ELISA.
(3)
A26298
Anti-Myc (K422) Antibody
Rabbit polyclonal antibody to Myc (K422) for WB, IHC and IF.
(3)
A407
Anti-c-Myc (phospho Ser62) Antibody
Mouse monoclonal (33A12E10) antibody to c-Myc (phospho Ser62) for WB, IF, IHC-P, FC and ELISA.
(4)
A12454
Anti-c-Myc (phospho Thr58) Antibody
Rabbit polyclonal antibody to c-Myc (phospho Thr58) for WB and IHC.
(4)
A12455
Anti-c-Myc (phospho Ser62) Antibody
Rabbit polyclonal antibody to c-Myc (phospho Ser62) for WB and IHC.
A94654
Anti-Myc (phospho Thr358) Antibody
Rabbit polyclonal antibody to Myc (phospho Thr358) for IHC, IF, IP and ELISA.
(2)
A249451
Anti-c-Myc Antibody [9E10.3]
Mouse monoclonal [9E103] antibody to c-Myc for Flow Cytometry, IF and IHC-P.
(4)
A93984
Anti-Myc (phospho Thr58) Antibody
Rabbit polyclonal antibody to Myc (phospho Thr58) for WB, IHC, IF, IP and ELISA.
(5)
A307622
Anti-c-Myc Antibody [ARC0412]
Rabbit monoclonal [ARC0412] antibody to c-Myc for WB, IP and ChIP.
(8)
A96444
Anti-MYC Antibody
Rabbit polyclonal antibody to MYC for WB, IHC, IF and ELISA.
A278887
Anti-c-Myc Antibody [9E10]
Mouse monoclonal [9E10] antibody to c-Myc for WB, IHC-P, IHC-Fr, ELISA and Flow Cytometry.
(5)
A34419
Anti-c-Myc Antibody
Rabbit polyclonal antibody to c-Myc for ELISA, WB, ICC/IF and IHC.
(4)
A95482
Anti-MYC Antibody
Rabbit polyclonal antibody to MYC for WB,IHC-p,IF/ICC and ELISA.
(3)
A26298
Anti-Myc (K422) Antibody
Rabbit polyclonal antibody to Myc (K422) for WB, IHC and IF.
(3)
A407
Anti-c-Myc (phospho Ser62) Antibody
Mouse monoclonal (33A12E10) antibody to c-Myc (phospho Ser62) for WB, IF, IHC-P, FC and ELISA.
(4)
A12454
Anti-c-Myc (phospho Thr58) Antibody
Rabbit polyclonal antibody to c-Myc (phospho Thr58) for WB and IHC.
(4)
A12455
Anti-c-Myc (phospho Ser62) Antibody
Rabbit polyclonal antibody to c-Myc (phospho Ser62) for WB and IHC.
A94654
Anti-Myc (phospho Thr358) Antibody
Rabbit polyclonal antibody to Myc (phospho Thr358) for IHC, IF, IP and ELISA.
(2)
A249451
Anti-c-Myc Antibody [9E10.3]
Mouse monoclonal [9E103] antibody to c-Myc for Flow Cytometry, IF and IHC-P.
See all c-Myc Antibodies
Proteins predicted to interact with c-Myc
Predicted protein interactions based upon String database. Revelancy score correlates with probability of interaction.
p300 Antibodies
99.9% Relevancy Score
FBXW7 Antibodies
99.9% Relevancy Score
TRRAP Antibodies
99.9% Relevancy Score
BRCA1 Antibodies
99.9% Relevancy Score
BIN1 Antibodies
99.9% Relevancy Score
MAX Antibodies
99.9% Relevancy Score
p14 ARF Antibodies
99.8% Relevancy Score
p16 INK4a Antibodies
99.8% Relevancy Score
p53 Antibodies
99.7% Relevancy Score
Top