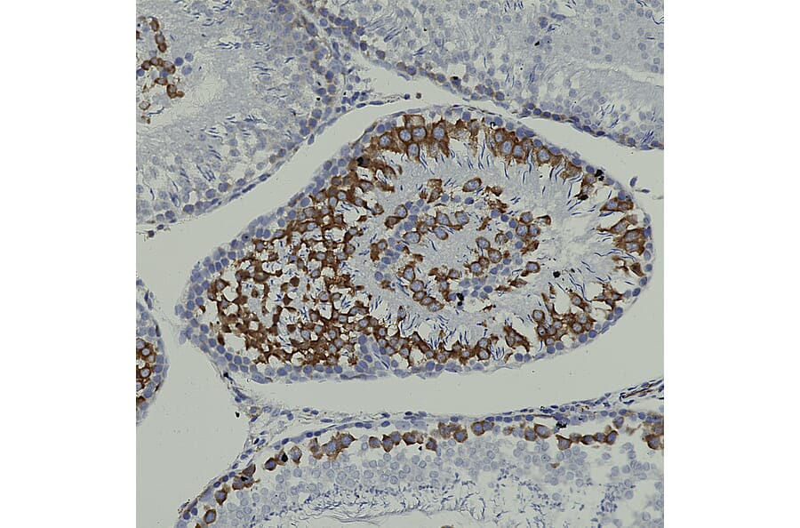
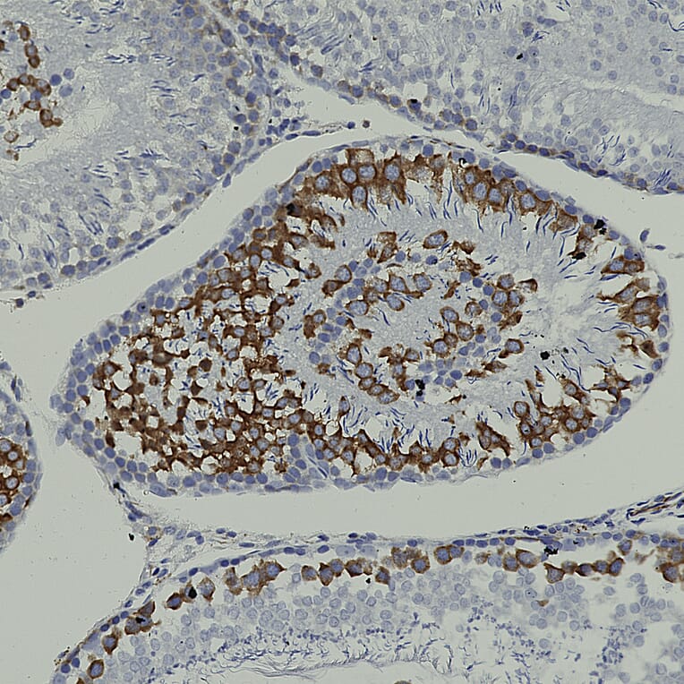
Immunohistochemistry analysis of a 4% PFA fixed paraffin embedded rat testes section with Anti-Nestin Antibody [4D11] (A85293) at a dilution of 1:1,000 detected with DAB (brown) using the Vector Labs ImmPRESS method and reagents with citra buffer retrieval. Counterstained with Hematoxylin (blue). In the testes, the Anti-Nestin Antibody [4D11] (A85293) strongly labels the cytoplasm of Sertoli cells and spermatocytes. Note: this antibody performs well in testing with both 4% PFA and standard NBF fixed tissues.
Mixed cultures of neonatal rat neurons and glia stained with Anti-Nestin Antibody (red), Anti-Vimentin Antibody (A85421 | green) and DNA (DAPI stain | blue). Astrocytes and neuronal stem cells stain strongly and specifically in a clearly filamentous fashion with the Anti-Nestin Antibody. The filamentous staining pattern is as expected as both Nestin and Vimentin are components of 10nm filaments. Note that some cells contain Nestin, but do not stain strongly for vimentin and so appear red. Others contain Vimentin and not Nestin and so appear green - these are likely to be fibroblastic or endothelial cells. Some cells express both proteins and so appear yellowish. The presence of Nestin indicates that the cells are developing astrocytes, neuroblasts or undifferentiated neural stem cells.
Immunofluorescent analysis of cortical neuron-glial cell culture from E20 rat stained with Anti-Nestin Antibody [4D11] (A85293), at a dilution of 1:500, in red, and co-stained with Anti-MAP2 Antibody (A85363), at a dilution of 1:5,000, in green. The nuclear DNA is visualised in blue using Hoechst staining. The Anti-Nestin Antibody [4D11] (A85293) labels developing astrocytes and neuronal stem cells in a clearly filamentous fashion, while the Anti-MAP2 Antibody (A85363) stains dendrites and perikarya of mature neurons.
Western Blot - Anti-Nestin Antibody [4D11] (A85293)
Western blot analysis of tissue and cell lysates using Anti-Nestin Antibody [4D11] (A85293), at a dilution of 1:500, in green. The lanes contain samples of: [Lane 1] Protein standards, in red, [Lane 2] embryonic E18 rat brain, [Lane 3] C6 rat glioma cells, and [Lane 4] SH-SY5Y human neuroblastoma cells.