Primary Antibodies
Secondary Antibodies
Proteins & Peptides
ELISA Kits
About Us
Contact Us
Sign In/Register
0
ISO 9001:2015 Certified
Live Customer Support
4.5/5 on Trustpilot
100% Quality Guarantee
Home
Primary Antibodies
Nestin Antibodies
Anti-Nestin Antibody (A44756)
Anti-Nestin Antibody (A44756)
Overview
Specifications
Images
Enlarge Image
Enlarge Image
Enlarge Image
Enlarge Image
$430
Product Datasheet
Mouse monoclonal antibody to Nestin for ELISA, WB, IHC, ICC/IF and Flow Cytometry.
100% Guarantee
Price Match Guarantee
Product Size:
100µl
Quantity:
1
2
3
4
5
6
7
8
9
10
Add To Cart
Request a Quotation
Custom or Bulk Request
Shipping Information
Freight/Packing Charges:
$40
Dispatched from St. Louis, MO.
Lead Time: 6-9 business days.
Tags:
Neuroepithelial Marker
Neuronal Marker
Radial Glia Marker
Specifications
Name
Anti-Nestin Antibody
Description
Mouse monoclonal antibody to Nestin
Specificity
This antibody is specific for Human Nestin denatured and native forms,
Applications
ELISA
,
WB
,
IHC
,
ICC/IF
,
Flow Cytometry
Reactivity
Human
Immunogen
Recombinant nestin Protein
Host
Mouse
Clonality
Monoclonal
Conjugate
Unconjugated
Purification
protein G purifed
Concentration
1.0 mg/mL
Formulation
Preservative: 0.03% Proclin 300 Constituents: 50% Glycerol, 0.01M PBS, PH 7.4
Storage
Shipped at 4°C. Upon delivery aliquot and store at -20°C. Avoid freeze/thaw cycles.
Synonyms
NES
Suitable Secondaries
Goat Anti-Mouse IgG H&L Antibody (AP) (A301438)
Goat Anti-Mouse IgG H&L Antibody (Biotin) (A301439)
Goat Anti-Mouse IgG H&L Antibody (FITC) (A301669)
Goat Anti-Mouse IgG H&L Antibody (HRP) (A301445)
See all Anti-Mouse IgG Secondaries →
Disclaimer
This product is for research use only. It is not intended for diagnostic or therapeutic use.
Scientific Validation Data
Validation Data
(4)
Enlarge Image
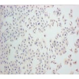
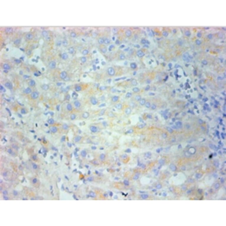
Immunohistochemistry - Anti-Nestin Antibody (A44756)
Immunohistochemical analysis of paraffin-embedded Human liver tissue using #42024 at dilution of 1: 200.
Enlarge Image
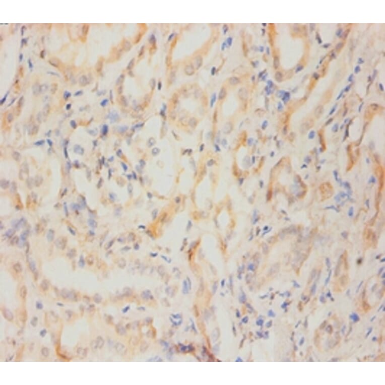
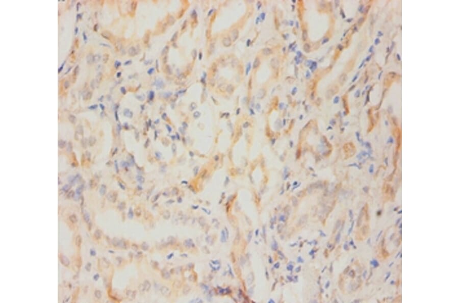
Immunohistochemistry - Anti-Nestin Antibody (A44756)
Immunohistochemical analysis of paraffin-embedded Human kidney tissue using #42024 at dilution of 1: 200.
Enlarge Image
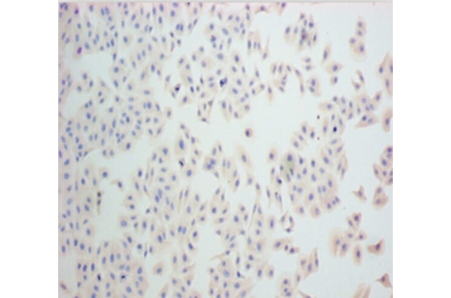
Immunohistochemistry - Anti-Nestin Antibody (A44756)
Immunohistochemical analysis of HepG-2 using #42024 at dilution of 1: 1000.
Enlarge Image
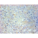
Immunohistochemistry - Anti-Nestin Antibody (A44756)
Immunohistochemical analysis of U251 using #42024 at dilution of 1: 1000.
Publishing research using Anti-Nestin Antibody (A44756)? Please
let us know
so that we can list the citation on this page.
Most popular Anti-Nestin Antibodies
(4)
A104326
Anti-Nestin Antibody
Chicken polyclonal antibody to Nestin for WB, ICC/IF and IHC.
(5)
A85294
Anti-Nestin Antibody
Rabbit polyclonal antibody to Nestin for WB and ICC/IF.
(4)
A440
Anti-Nestin Antibody
Rabbit polyclonal antibody to Nestin for WB, ICC and IHC.
(4)
A104326
Anti-Nestin Antibody
Chicken polyclonal antibody to Nestin for WB, ICC/IF and IHC.
(5)
A85294
Anti-Nestin Antibody
Rabbit polyclonal antibody to Nestin for WB and ICC/IF.
(4)
A440
Anti-Nestin Antibody
Rabbit polyclonal antibody to Nestin for WB, ICC and IHC.
Alternative products to Anti-Nestin Antibody (A44756)
(5)
A85293
Anti-Nestin Antibody [4D11]
Mouse monoclonal [4D11] antibody to Nestin for WB, ICC/IF and IHC.
(4)
A81194
Anti-Nestin Antibody
Rabbit polyclonal antibody to Nestin for WB, IHC and ICC/IF.
A283196
Anti-Nestin Antibody
Rabbit polyclonal antibody to Nestin for WB, IHC-P and ELISA.
(5)
A248153
Anti-Nestin Antibody [NES/2911]
Mouse monoclonal [NES/2911] antibody to Nestin for IHC-P.
(5)
A251336
Anti-Nestin Antibody [NES/2911] - BSA and Azide free
Mouse monoclonal [NES/2911] antibody to Nestin for IHC-P.
A281649
Anti-Nestin Antibody [Rat-401 (4D4)]
Mouse monoclonal [Rat-401 (4D4)] antibody to Nestin for WB, IHC-P, IF and IHC-Fr.
A115620
Anti-Nestin Antibody [10C2]
Mouse monoclonal [10C2] antbody to Nestin for ICC, IHC-Fr, IHC-P and WB.
A278945
Anti-Nestin Antibody [10C2]
Mouse monoclonal [10C2] antibody to Nestin for IHC-Fr, WB and IHC-P.
(2)
A439
Anti-Nestin Antibody
Rat monoclonal (7A3) antibody to Nestin for ICC/IF and IHC.
(2)
A47231
Anti-NES Antibody
Rabbit polyclonal antibody to NES for IHC.
A324601
Anti-Nestin Antibody [IHC105]
Rabbit monoclonal [IHC105] antibody to Nestin for IHC-P.
A322508
Anti-Nestin Antibody [UMAB267] - BSA and Azide free
Mouse monoclonal [UMAB267] antibody to Nestin for IHC.
(5)
A85293
Anti-Nestin Antibody [4D11]
Mouse monoclonal [4D11] antibody to Nestin for WB, ICC/IF and IHC.
(4)
A81194
Anti-Nestin Antibody
Rabbit polyclonal antibody to Nestin for WB, IHC and ICC/IF.
A283196
Anti-Nestin Antibody
Rabbit polyclonal antibody to Nestin for WB, IHC-P and ELISA.
(5)
A248153
Anti-Nestin Antibody [NES/2911]
Mouse monoclonal [NES/2911] antibody to Nestin for IHC-P.
(5)
A251336
Anti-Nestin Antibody [NES/2911] - BSA and Azide free
Mouse monoclonal [NES/2911] antibody to Nestin for IHC-P.
A281649
Anti-Nestin Antibody [Rat-401 (4D4)]
Mouse monoclonal [Rat-401 (4D4)] antibody to Nestin for WB, IHC-P, IF and IHC-Fr.
A115620
Anti-Nestin Antibody [10C2]
Mouse monoclonal [10C2] antbody to Nestin for ICC, IHC-Fr, IHC-P and WB.
A278945
Anti-Nestin Antibody [10C2]
Mouse monoclonal [10C2] antibody to Nestin for IHC-Fr, WB and IHC-P.
(2)
A439
Anti-Nestin Antibody
Rat monoclonal (7A3) antibody to Nestin for ICC/IF and IHC.
(2)
A47231
Anti-NES Antibody
Rabbit polyclonal antibody to NES for IHC.
A324601
Anti-Nestin Antibody [IHC105]
Rabbit monoclonal [IHC105] antibody to Nestin for IHC-P.
A322508
Anti-Nestin Antibody [UMAB267] - BSA and Azide free
Mouse monoclonal [UMAB267] antibody to Nestin for IHC.
See all Nestin Antibodies
Proteins predicted to interact with Nestin
Predicted protein interactions based upon String database. Revelancy score correlates with probability of interaction.
NeuN Antibodies
93.2% Relevancy Score
CDK5 Antibodies
89.6% Relevancy Score
SOX2 Antibodies
89.1% Relevancy Score
CD44 Antibodies
88.8% Relevancy Score
GFAP Antibodies
88.6% Relevancy Score
Doublecortin Antibodies
87.6% Relevancy Score
Vimentin Antibodies
86.7% Relevancy Score
PAX6 Antibodies
85.9% Relevancy Score
NF-M Antibodies
85.3% Relevancy Score
Top